Morphological development of the ovary in the Alectoris chukar at embryonic and pre-pubertal stages.

IF 1.1 4区 农林科学 Q3 ZOOLOGY
Veterinary Research Forum Pub Date : 2025-01-01 Epub Date: 2025-06-15 DOI:10.30466/vrf.2024.2035219.4357
Morvarid Teymouri, Masoumeh Kheirabadi, Abolghasem Nabipour
{"title":"Morphological development of the ovary in the <i>Alectoris chukar</i> at embryonic and pre-pubertal stages.","authors":"Morvarid Teymouri, Masoumeh Kheirabadi, Abolghasem Nabipour","doi":"10.30466/vrf.2024.2035219.4357","DOIUrl":null,"url":null,"abstract":"<p><p><i>Alectoris chukar</i> (AC) is a common model organism in biological research. To understand oogenesis and folliculogenesis mechanisms in bird reproduction, we analyzed the ovarian tissue structure of AC at embryonic and pre-pubertal stages. Fertilized eggs, newborn chicks and juvenile AC were used to study the tissue structure of female gonads. Sections of ovaries were prepared and examined using various histological techniques including Hematoxylin and Eosin, Periodic acid-Schiff and Masson's trichrome. Semi-thin and ultra-thin sections of ovary in newly-hatched chicks were prepared for study by electron microscope. The study revealed asymmetry between the left and right ovaries, with a larger left ovary. The functional left ovary exhibited a cortex and medulla, containing somatic and germ cells, with an increase in germ cell number, size and volume leading to cortex thickening. Meiosis division of germ cells and oocyte formation were observed with pre-follicular cells surrounding them. Electron microscopy revealed mitochondria and desmosome cell junctions in germ cells. Our study provided insights into tissue changes in ovaries and germ cells at different developmental stages of AC embryos, newly-hatched chicks and juvenile AC. The results suggested that cortex thickening and germ cell mitochondria density could be used as hallmarks of healthy AC maturity under normal physiological conditions. Further research should explore the impact of growth factors, hormones and environmental factors to unravel avian ovarian development complexities and improve AC reproductive biology knowledge.</p>","PeriodicalId":23989,"journal":{"name":"Veterinary Research Forum","volume":"16 6","pages":"39-344"},"PeriodicalIF":1.1000,"publicationDate":"2025-01-01","publicationTypes":"Journal Article","fieldsOfStudy":null,"isOpenAccess":false,"openAccessPdf":"https://www.ncbi.nlm.nih.gov/pmc/articles/PMC12295533/pdf/","citationCount":"0","resultStr":null,"platform":"Semanticscholar","paperid":null,"PeriodicalName":"Veterinary Research Forum","FirstCategoryId":"97","ListUrlMain":"https://doi.org/10.30466/vrf.2024.2035219.4357","RegionNum":4,"RegionCategory":"农林科学","ArticlePicture":[],"TitleCN":null,"AbstractTextCN":null,"PMCID":null,"EPubDate":"2025/6/15 0:00:00","PubModel":"Epub","JCR":"Q3","JCRName":"ZOOLOGY","Score":null,"Total":0}
引用次数: 0

Abstract

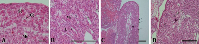
Alectoris chukar (AC) is a common model organism in biological research. To understand oogenesis and folliculogenesis mechanisms in bird reproduction, we analyzed the ovarian tissue structure of AC at embryonic and pre-pubertal stages. Fertilized eggs, newborn chicks and juvenile AC were used to study the tissue structure of female gonads. Sections of ovaries were prepared and examined using various histological techniques including Hematoxylin and Eosin, Periodic acid-Schiff and Masson's trichrome. Semi-thin and ultra-thin sections of ovary in newly-hatched chicks were prepared for study by electron microscope. The study revealed asymmetry between the left and right ovaries, with a larger left ovary. The functional left ovary exhibited a cortex and medulla, containing somatic and germ cells, with an increase in germ cell number, size and volume leading to cortex thickening. Meiosis division of germ cells and oocyte formation were observed with pre-follicular cells surrounding them. Electron microscopy revealed mitochondria and desmosome cell junctions in germ cells. Our study provided insights into tissue changes in ovaries and germ cells at different developmental stages of AC embryos, newly-hatched chicks and juvenile AC. The results suggested that cortex thickening and germ cell mitochondria density could be used as hallmarks of healthy AC maturity under normal physiological conditions. Further research should explore the impact of growth factors, hormones and environmental factors to unravel avian ovarian development complexities and improve AC reproductive biology knowledge.

Abstract Image

Abstract Image

Abstract Image

楚卡角翅虫胚胎期和青春期前卵巢的形态发育。
楚卡阿莱克托里斯(AC)是生物学研究中常见的模式生物。为了了解鸟类生殖过程中的卵子和卵泡发生机制,我们分析了AC在胚胎期和青春期前的卵巢组织结构。用受精卵、初生雏鸡和AC幼鸡对雌性性腺的组织结构进行了研究。卵巢切片制备和检查使用各种组织学技术,包括苏木精和伊红,周期性酸席夫和马松三色。制备了雏鸡卵巢的半薄切片和超薄切片,用电镜观察。研究显示左右卵巢不对称,左卵巢较大。功能正常的左卵巢有皮层和髓质,含有体细胞和生殖细胞,生殖细胞数量、大小和体积的增加导致皮层增厚。生殖细胞减数分裂,卵母细胞形成,卵泡前细胞环绕。电镜显示生殖细胞中线粒体和桥粒体细胞连接。本研究揭示了AC胚胎、新孵化雏鸡和幼年AC不同发育阶段卵巢和生殖细胞的组织变化。结果表明,在正常生理条件下,皮质增厚和生殖细胞线粒体密度可作为AC健康成熟的标志。进一步的研究应探讨生长因子、激素和环境因素对禽卵巢发育的影响,以揭示禽卵巢发育的复杂性,提高对AC生殖生物学的认识。
本文章由计算机程序翻译,如有差异,请以英文原文为准。
求助全文
约1分钟内获得全文 求助全文
来源期刊
Veterinary Research Forum
Veterinary Research Forum Veterinary-General Veterinary
CiteScore
1.50
自引率
0.00%
发文量
0
审稿时长
8 weeks
期刊介绍: Veterinary Research Forum (VRF) is a quarterly international journal committed to publish worldwide contributions on all aspects of veterinary science and medicine, including anatomy and histology, physiology and pharmacology, anatomic and clinical pathology, parasitology, microbiology, immunology and epidemiology, food hygiene, poultry science, fish and aquaculture, anesthesia and surgery, large and small animal internal medicine, large and small animal reproduction, biotechnology and diagnostic imaging of domestic, companion and farm animals.
×
引用
GB/T 7714-2015
复制
MLA
复制
APA
复制
导出至
BibTeX EndNote RefMan NoteFirst NoteExpress
×
提示
您的信息不完整,为了账户安全,请先补充。
现在去补充
×
提示
您因"违规操作"
具体请查看互助需知
我知道了
×
提示
确定
请完成安全验证×
copy
已复制链接
快去分享给好友吧!
我知道了
右上角分享
点击右上角分享
0
联系我们:info@booksci.cn Book学术提供免费学术资源搜索服务,方便国内外学者检索中英文文献。致力于提供最便捷和优质的服务体验。 Copyright © 2023 布克学术 All rights reserved.
京ICP备2023020795号-1
ghs 京公网安备 11010802042870号
Book学术文献互助
Book学术文献互助群
群 号:604180095
Book学术官方微信