Incarceration of the Gravid Uterus in Women with Previous Cesarean Section: Case Series and Literature Review.

IF 2.6 4区 医学 Q2 OBSTETRICS & GYNECOLOGY
International Journal of Women's Health Pub Date : 2025-07-23 eCollection Date: 2025-01-01 DOI:10.2147/IJWH.S524618
Feng Yun, Leyi Fu, Jie Wen, Danqing Chen, Fangfang Wang
{"title":"Incarceration of the Gravid Uterus in Women with Previous Cesarean Section: Case Series and Literature Review.","authors":"Feng Yun, Leyi Fu, Jie Wen, Danqing Chen, Fangfang Wang","doi":"10.2147/IJWH.S524618","DOIUrl":null,"url":null,"abstract":"<p><p>Incarceration of the gravid uterus (IGU) is a rare and serious condition associated with significant maternal and fetal morbidities. Its occurrence in women with a history of cesarean section (CS) poses a great challenge to obstetricians. We report two cases: Case 1 presented with acute urinary retention at 11 weeks of gestation, with IGU diagnosis ultimately established at 15 weeks following persistent symptoms. Initial manual reduction attempts failed, but resolution occurred later. Case 2 developed severe urinary retention at 16 weeks, and the uterus was repositioned after Foley catheter placement. Both patients underwent uncomplicated cesarean deliveries at term. To delineate the clinical characteristics and optimal management of this condition, we conducted a comprehensive literature review and identified 29 additional cases reported over the past 40 years. Analysis revealed a median gestational age of 17 weeks at presentation and 37 weeks at delivery or pregnancy termination. Among them, 16 had one or more risk factors in addition to previous CS. Clinical presentation and treatment methods paralleled those described in non-CS patients. Successful resolution with favorable outcomes was achieved in 19 cases, with interventions initiated before 20 weeks demonstrating a higher resolution rate. Severe maternal complications occurred in 30% of cases, predominantly in unresolved ones, including two uterine ruptures. Early diagnosis and active management are crucial for optimizing obstetric outcomes and reducing maternal complications in these patients.</p>","PeriodicalId":14356,"journal":{"name":"International Journal of Women's Health","volume":"17 ","pages":"2255-2263"},"PeriodicalIF":2.6000,"publicationDate":"2025-07-23","publicationTypes":"Journal Article","fieldsOfStudy":null,"isOpenAccess":false,"openAccessPdf":"https://www.ncbi.nlm.nih.gov/pmc/articles/PMC12296648/pdf/","citationCount":"0","resultStr":null,"platform":"Semanticscholar","paperid":null,"PeriodicalName":"International Journal of Women's Health","FirstCategoryId":"3","ListUrlMain":"https://doi.org/10.2147/IJWH.S524618","RegionNum":4,"RegionCategory":"医学","ArticlePicture":[],"TitleCN":null,"AbstractTextCN":null,"PMCID":null,"EPubDate":"2025/1/1 0:00:00","PubModel":"eCollection","JCR":"Q2","JCRName":"OBSTETRICS & GYNECOLOGY","Score":null,"Total":0}
引用次数: 0

Abstract

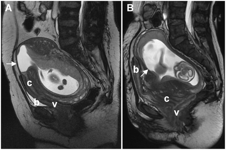
Incarceration of the gravid uterus (IGU) is a rare and serious condition associated with significant maternal and fetal morbidities. Its occurrence in women with a history of cesarean section (CS) poses a great challenge to obstetricians. We report two cases: Case 1 presented with acute urinary retention at 11 weeks of gestation, with IGU diagnosis ultimately established at 15 weeks following persistent symptoms. Initial manual reduction attempts failed, but resolution occurred later. Case 2 developed severe urinary retention at 16 weeks, and the uterus was repositioned after Foley catheter placement. Both patients underwent uncomplicated cesarean deliveries at term. To delineate the clinical characteristics and optimal management of this condition, we conducted a comprehensive literature review and identified 29 additional cases reported over the past 40 years. Analysis revealed a median gestational age of 17 weeks at presentation and 37 weeks at delivery or pregnancy termination. Among them, 16 had one or more risk factors in addition to previous CS. Clinical presentation and treatment methods paralleled those described in non-CS patients. Successful resolution with favorable outcomes was achieved in 19 cases, with interventions initiated before 20 weeks demonstrating a higher resolution rate. Severe maternal complications occurred in 30% of cases, predominantly in unresolved ones, including two uterine ruptures. Early diagnosis and active management are crucial for optimizing obstetric outcomes and reducing maternal complications in these patients.

Abstract Image

既往剖宫产妇女妊娠子宫嵌顿:病例系列和文献回顾。
妊娠子宫嵌顿(IGU)是一种罕见而严重的疾病,与显著的母体和胎儿发病率相关。它发生在有剖宫产史的妇女(CS)对产科医生提出了巨大的挑战。我们报告了两个病例:病例1在妊娠11周出现急性尿潴留,在持续症状后15周最终确定了IGU诊断。最初的手动减少尝试失败,但稍后会出现解决方案。病例2在16周时出现严重尿潴留,放置Foley导尿管后重新定位子宫。两例患者均在足月行剖宫产。为了描述这种疾病的临床特征和最佳治疗方法,我们进行了全面的文献回顾,并确定了过去40年中报告的29例其他病例。分析显示,中位孕周为17周,分娩或终止妊娠时为37周。其中16例除既往CS外,还存在一种或多种危险因素。临床表现和治疗方法与非cs患者相似。在19例患者中,在20周之前开始的干预显示出更高的解决率,并取得了良好的结果。严重的产妇并发症发生在30%的病例中,主要是未解决的,包括两次子宫破裂。早期诊断和积极管理对于优化这些患者的产科结果和减少产妇并发症至关重要。
本文章由计算机程序翻译,如有差异,请以英文原文为准。
求助全文
约1分钟内获得全文 求助全文
来源期刊
International Journal of Women's Health
International Journal of Women's Health OBSTETRICS & GYNECOLOGY-
CiteScore
3.70
自引率
0.00%
发文量
194
审稿时长
16 weeks
期刊介绍: International Journal of Women''s Health is an international, peer-reviewed, open access, online journal. Publishing original research, reports, editorials, reviews and commentaries on all aspects of women''s healthcare including gynecology, obstetrics, and breast cancer. Subject areas include: Chronic conditions including cancers of various organs specific and not specific to women Migraine, headaches, arthritis, osteoporosis Endocrine and autoimmune syndromes - asthma, multiple sclerosis, lupus, diabetes Sexual and reproductive health including fertility patterns and emerging technologies to address infertility Infectious disease with chronic sequelae including HIV/AIDS, HPV, PID, and other STDs Psychological and psychosocial conditions - depression across the life span, substance abuse, domestic violence Health maintenance among aging females - factors affecting the quality of life including physical, social and mental issues Avenues for health promotion and disease prevention across the life span Male vs female incidence comparisons for conditions that affect both genders.
×
引用
GB/T 7714-2015
复制
MLA
复制
APA
复制
导出至
BibTeX EndNote RefMan NoteFirst NoteExpress
×
提示
您的信息不完整,为了账户安全,请先补充。
现在去补充
×
提示
您因"违规操作"
具体请查看互助需知
我知道了
×
提示
确定
请完成安全验证×
copy
已复制链接
快去分享给好友吧!
我知道了
右上角分享
点击右上角分享
0
联系我们:info@booksci.cn Book学术提供免费学术资源搜索服务,方便国内外学者检索中英文文献。致力于提供最便捷和优质的服务体验。 Copyright © 2023 布克学术 All rights reserved.
京ICP备2023020795号-1
ghs 京公网安备 11010802042870号
Book学术文献互助
Book学术文献互助群
群 号:604180095
Book学术官方微信