Inversion time optimization in postmortem 1.5 tesla FLAIR brain imaging: a pilot study.

IF 2.3 3区 医学 Q1 MEDICINE, LEGAL
International Journal of Legal Medicine Pub Date : 2025-11-01 Epub Date: 2025-07-29 DOI:10.1007/s00414-025-03571-6
Christine Bruguier, V Magnin, J-F Knebel, S Grabherr, V Dunet, P Genet
{"title":"Inversion time optimization in postmortem 1.5 tesla FLAIR brain imaging: a pilot study.","authors":"Christine Bruguier, V Magnin, J-F Knebel, S Grabherr, V Dunet, P Genet","doi":"10.1007/s00414-025-03571-6","DOIUrl":null,"url":null,"abstract":"<p><strong>Introduction: </strong>Postmortem magnetic resonance imaging (PMMR) has gained importance during the last decade in forensic pathology. While many clinical radiology sequences are applicable for the evaluation of the brain, the 3D FLAIR sequence shows different contrast in postmortem cases compared to living patients. Two factors-the temperature and the interval between official declaration of the death and PMMR (DC-PMMR interval) are suspected to influence the optimal inversion time (TI) needed to achieve living patient-like image contrast. This study aimed to investigate if our empirical approach had the same results as previous study.</p><p><strong>Materials and methods: </strong>3D FLAIR sequences with varying TI values (from 1660 ms to 900 ms, every 110 ms) were acquired. Two radiologists independently assessed the images, selecting the TI that produced the most patient-like contrast. Rectal temperature and the DC-PMMR interval were recorded, and Pearson correlation tests were conducted to evaluate interrelations between TI, temperature, and DC-PMMR interval. Interobserver reliability was assessed using PABAK.</p><p><strong>Result: </strong>Overall, 23 cases were analyzed. Rectal temperature ranged from 5.7 °C to 29.0 °C, and the DC-PMMR interval from 13.05 to 768 h. A moderate interobserver reliability (PABAK = 0.56) was observed. Significant correlations were observed between TI and both temperature (r = 0.70, p = 0.0014) and DC-PMMR interval (r = - 0.68, p < 0.0003).</p><p><strong>Conclusion: </strong>Our empirical approach trends the results of previous studies: Postmortem 3D FLAIR contrast is significantly affected by the temperature and the DC-PMMR interval, suggesting that TI should be adapted accordingly.</p>","PeriodicalId":14071,"journal":{"name":"International Journal of Legal Medicine","volume":" ","pages":"2847-2855"},"PeriodicalIF":2.3000,"publicationDate":"2025-11-01","publicationTypes":"Journal Article","fieldsOfStudy":null,"isOpenAccess":false,"openAccessPdf":"https://www.ncbi.nlm.nih.gov/pmc/articles/PMC12532620/pdf/","citationCount":"0","resultStr":null,"platform":"Semanticscholar","paperid":null,"PeriodicalName":"International Journal of Legal Medicine","FirstCategoryId":"3","ListUrlMain":"https://doi.org/10.1007/s00414-025-03571-6","RegionNum":3,"RegionCategory":"医学","ArticlePicture":[],"TitleCN":null,"AbstractTextCN":null,"PMCID":null,"EPubDate":"2025/7/29 0:00:00","PubModel":"Epub","JCR":"Q1","JCRName":"MEDICINE, LEGAL","Score":null,"Total":0}
引用次数: 0

Abstract

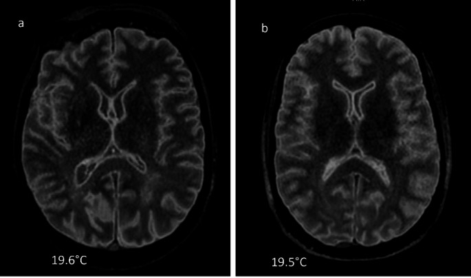
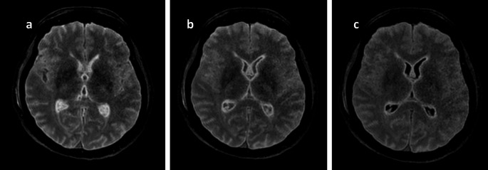
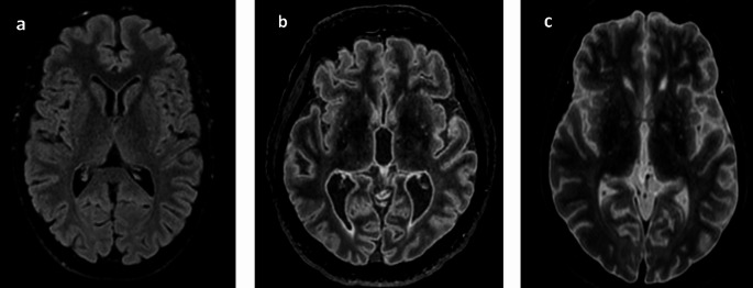
Introduction: Postmortem magnetic resonance imaging (PMMR) has gained importance during the last decade in forensic pathology. While many clinical radiology sequences are applicable for the evaluation of the brain, the 3D FLAIR sequence shows different contrast in postmortem cases compared to living patients. Two factors-the temperature and the interval between official declaration of the death and PMMR (DC-PMMR interval) are suspected to influence the optimal inversion time (TI) needed to achieve living patient-like image contrast. This study aimed to investigate if our empirical approach had the same results as previous study.

Materials and methods: 3D FLAIR sequences with varying TI values (from 1660 ms to 900 ms, every 110 ms) were acquired. Two radiologists independently assessed the images, selecting the TI that produced the most patient-like contrast. Rectal temperature and the DC-PMMR interval were recorded, and Pearson correlation tests were conducted to evaluate interrelations between TI, temperature, and DC-PMMR interval. Interobserver reliability was assessed using PABAK.

Result: Overall, 23 cases were analyzed. Rectal temperature ranged from 5.7 °C to 29.0 °C, and the DC-PMMR interval from 13.05 to 768 h. A moderate interobserver reliability (PABAK = 0.56) was observed. Significant correlations were observed between TI and both temperature (r = 0.70, p = 0.0014) and DC-PMMR interval (r = - 0.68, p < 0.0003).

Conclusion: Our empirical approach trends the results of previous studies: Postmortem 3D FLAIR contrast is significantly affected by the temperature and the DC-PMMR interval, suggesting that TI should be adapted accordingly.

Abstract Image

Abstract Image

Abstract Image

死后1.5特斯拉FLAIR脑成像的反演时间优化:一项初步研究。
尸检磁共振成像(PMMR)在过去十年法医病理学中变得越来越重要。虽然许多临床放射学序列都适用于对大脑的评估,但3D FLAIR序列在死后病例中显示的对比与活着的患者不同。温度和官方宣布死亡和PMMR之间的间隔(DC-PMMR间隔)这两个因素被怀疑会影响实现活体图像对比度所需的最佳反转时间(TI)。本研究旨在探讨我们的实证方法是否与以往的研究结果相同。材料和方法:获得TI值(从1660 ms到900 ms,每110 ms)变化的3D FLAIR序列。两名放射科医生独立评估了图像,选择了产生最像患者对比的TI。记录直肠温度和DC-PMMR间期,采用Pearson相关检验评价TI、温度和DC-PMMR间期之间的相互关系。采用PABAK评估观察者间信度。结果:共分析23例。直肠温度范围为5.7°C至29.0°C, DC-PMMR间隔为13.05至768小时。观察到适度的观察者间信度(PABAK = 0.56)。TI与温度(r = 0.70, p = 0.0014)和DC-PMMR间隔(r = - 0.68, p)之间存在显著相关性。结论:我们的经验方法与先前的研究结果一致:死后3D FLAIR对比度受温度和DC-PMMR间隔的显著影响,表明TI应相应地进行调整。
本文章由计算机程序翻译,如有差异,请以英文原文为准。
求助全文
约1分钟内获得全文 求助全文
来源期刊
CiteScore
5.80
自引率
9.50%
发文量
165
审稿时长
1 months
期刊介绍: The International Journal of Legal Medicine aims to improve the scientific resources used in the elucidation of crime and related forensic applications at a high level of evidential proof. The journal offers review articles tracing development in specific areas, with up-to-date analysis; original articles discussing significant recent research results; case reports describing interesting and exceptional examples; population data; letters to the editors; and technical notes, which appear in a section originally created for rapid publication of data in the dynamic field of DNA analysis.
×
引用
GB/T 7714-2015
复制
MLA
复制
APA
复制
导出至
BibTeX EndNote RefMan NoteFirst NoteExpress
×
提示
您的信息不完整,为了账户安全,请先补充。
现在去补充
×
提示
您因"违规操作"
具体请查看互助需知
我知道了
×
提示
确定
请完成安全验证×
copy
已复制链接
快去分享给好友吧!
我知道了
右上角分享
点击右上角分享
0
联系我们:info@booksci.cn Book学术提供免费学术资源搜索服务,方便国内外学者检索中英文文献。致力于提供最便捷和优质的服务体验。 Copyright © 2023 布克学术 All rights reserved.
京ICP备2023020795号-1
ghs 京公网安备 11010802042870号
Book学术文献互助
Book学术文献互助群
群 号:604180095
Book学术官方微信