Toxic epidermal necrolysis following lamotrigine replacement therapy in a woman planning pregnancy: a case report and literature review.

IF 2.7 3区 医学 Q2 OBSTETRICS & GYNECOLOGY
Lili Zhang, Pingping Yang, Ying Zhu, Kexin Liu, Zhanxue Sun
{"title":"Toxic epidermal necrolysis following lamotrigine replacement therapy in a woman planning pregnancy: a case report and literature review.","authors":"Lili Zhang, Pingping Yang, Ying Zhu, Kexin Liu, Zhanxue Sun","doi":"10.1186/s12905-025-03796-y","DOIUrl":null,"url":null,"abstract":"<p><strong>Background: </strong>Lamotrigine is a preferred antiepileptic drug for women with epilepsy planning or undergoing pregnancy, owing to its relatively low teratogenic risk. However, serious adverse reactions, including life-threatening conditions such as Stevens-Johnson Syndrome (SJS) and Toxic Epidermal Necrolysis (TEN), can occur.</p><p><strong>Case presentation: </strong>We report the case of a 33-year-old woman of childbearing age with epilepsy who developed TEN following the initiation of lamotrigine as part of a preconception antiepileptic regimen. The patient presented with high fever, a rapidly spreading erythematous rash, bullae formation, and extensive epidermal detachment. Prompt and comprehensive multidisciplinary treatment led to significant clinical improvement and eventual full recovery. The therapeutic approach included intravenous dexamethasone sodium phosphate, fluid resuscitation, intravenous immunoglobulin (IVIG), oral antihistamines, traditional Chinese medicine (TCM), and meticulous care of the skin and mucosal surfaces.</p><p><strong>Conclusion: </strong>While antiepileptic drugs (AEDs) such as lamotrigine are crucial for managing epilepsy, they may induce severe skin toxicity, potentially leading to fatal outcomes. Healthcare providers must remain vigilant for early symptoms and intervene promptly to mitigate adverse effects. This case report, alongside a literature review, aims to underscore the importance of comprehensive care throughout the preconception, pregnancy, and postpartum phases for women with epilepsy.</p>","PeriodicalId":9204,"journal":{"name":"BMC Women's Health","volume":"25 1","pages":"371"},"PeriodicalIF":2.7000,"publicationDate":"2025-07-28","publicationTypes":"Journal Article","fieldsOfStudy":null,"isOpenAccess":false,"openAccessPdf":"https://www.ncbi.nlm.nih.gov/pmc/articles/PMC12302893/pdf/","citationCount":"0","resultStr":null,"platform":"Semanticscholar","paperid":null,"PeriodicalName":"BMC Women's Health","FirstCategoryId":"3","ListUrlMain":"https://doi.org/10.1186/s12905-025-03796-y","RegionNum":3,"RegionCategory":"医学","ArticlePicture":[],"TitleCN":null,"AbstractTextCN":null,"PMCID":null,"EPubDate":"","PubModel":"","JCR":"Q2","JCRName":"OBSTETRICS & GYNECOLOGY","Score":null,"Total":0}
引用次数: 0

Abstract

Background: Lamotrigine is a preferred antiepileptic drug for women with epilepsy planning or undergoing pregnancy, owing to its relatively low teratogenic risk. However, serious adverse reactions, including life-threatening conditions such as Stevens-Johnson Syndrome (SJS) and Toxic Epidermal Necrolysis (TEN), can occur.

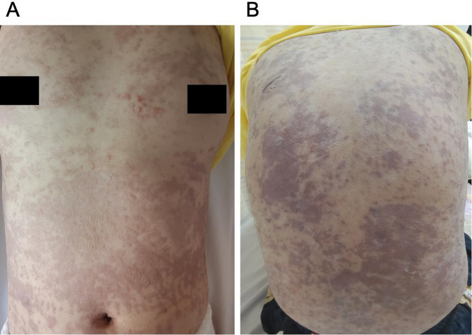
Case presentation: We report the case of a 33-year-old woman of childbearing age with epilepsy who developed TEN following the initiation of lamotrigine as part of a preconception antiepileptic regimen. The patient presented with high fever, a rapidly spreading erythematous rash, bullae formation, and extensive epidermal detachment. Prompt and comprehensive multidisciplinary treatment led to significant clinical improvement and eventual full recovery. The therapeutic approach included intravenous dexamethasone sodium phosphate, fluid resuscitation, intravenous immunoglobulin (IVIG), oral antihistamines, traditional Chinese medicine (TCM), and meticulous care of the skin and mucosal surfaces.

Conclusion: While antiepileptic drugs (AEDs) such as lamotrigine are crucial for managing epilepsy, they may induce severe skin toxicity, potentially leading to fatal outcomes. Healthcare providers must remain vigilant for early symptoms and intervene promptly to mitigate adverse effects. This case report, alongside a literature review, aims to underscore the importance of comprehensive care throughout the preconception, pregnancy, and postpartum phases for women with epilepsy.

Abstract Image

Abstract Image

Abstract Image

计划妊娠妇女拉莫三嗪替代治疗后毒性表皮坏死松解一例报告及文献复习。
背景:拉莫三嗪因其致畸风险相对较低,是计划或正在妊娠的癫痫妇女首选的抗癫痫药物。然而,严重的不良反应,包括危及生命的情况,如史蒂文斯-约翰逊综合征(SJS)和中毒性表皮坏死松解(TEN),可能发生。病例介绍:我们报告的情况下,33岁的育龄妇女与癫痫谁开始拉莫三嗪作为孕前抗癫痫治疗方案的一部分发展为十个。患者表现为高热、迅速扩散的红斑、大疱形成和广泛的表皮脱离。及时和全面的多学科治疗导致显著的临床改善和最终完全恢复。治疗方法包括静脉注射地塞米松磷酸钠、液体复苏、静脉注射免疫球蛋白(IVIG)、口服抗组胺药、中药(TCM)以及皮肤和粘膜表面的精心护理。结论:虽然抗癫痫药物(aed)如拉莫三嗪对治疗癫痫至关重要,但它们可能引起严重的皮肤毒性,可能导致致命的结果。医疗保健提供者必须对早期症状保持警惕,并及时干预以减轻不良反应。本病例报告和文献综述旨在强调在孕前、妊娠和产后阶段对癫痫妇女进行全面护理的重要性。
本文章由计算机程序翻译,如有差异,请以英文原文为准。
求助全文
约1分钟内获得全文 求助全文
来源期刊
BMC Women's Health
BMC Women's Health OBSTETRICS & GYNECOLOGY-
CiteScore
3.40
自引率
4.00%
发文量
444
审稿时长
>12 weeks
期刊介绍: BMC Women''s Health is an open access, peer-reviewed journal that considers articles on all aspects of the health and wellbeing of adolescent girls and women, with a particular focus on the physical, mental, and emotional health of women in developed and developing nations. The journal welcomes submissions on women''s public health issues, health behaviours, breast cancer, gynecological diseases, mental health and health promotion.
×
引用
GB/T 7714-2015
复制
MLA
复制
APA
复制
导出至
BibTeX EndNote RefMan NoteFirst NoteExpress
×
提示
您的信息不完整,为了账户安全,请先补充。
现在去补充
×
提示
您因"违规操作"
具体请查看互助需知
我知道了
×
提示
确定
请完成安全验证×
copy
已复制链接
快去分享给好友吧!
我知道了
右上角分享
点击右上角分享
0
联系我们:info@booksci.cn Book学术提供免费学术资源搜索服务,方便国内外学者检索中英文文献。致力于提供最便捷和优质的服务体验。 Copyright © 2023 布克学术 All rights reserved.
京ICP备2023020795号-1
ghs 京公网安备 11010802042870号
Book学术文献互助
Book学术文献互助群
群 号:604180095
Book学术官方微信