Diaphragmatic ultrasound-derived MV×DE: a novel predictor of postextubation adverse respiratory events in general anesthesia patients (observational study).

IF 2.8 3区 医学 Q2 RESPIRATORY SYSTEM
Jing Huang, Yanzi Yi, Xiaotian Zhang, XiaoXiao Li, Zhouquan Wu
{"title":"Diaphragmatic ultrasound-derived MV×DE: a novel predictor of postextubation adverse respiratory events in general anesthesia patients (observational study).","authors":"Jing Huang, Yanzi Yi, Xiaotian Zhang, XiaoXiao Li, Zhouquan Wu","doi":"10.1186/s12890-025-03831-6","DOIUrl":null,"url":null,"abstract":"<p><strong>Objective: </strong>This study explored the potential of diaphragmatic ultrasonography in the postanaesthesia care unit (PACU) for predicting postextubation adverse respiratory events (PAREs) in patients recovering from general anaesthesia.--.</p><p><strong>Methods: </strong>This cohort study included 110 patients who underwent elective surgeries under general anaesthesia. During recovery before extubation, diaphragmatic function was monitored via ultrasound with pressure support ventilation on continuous positive airway pressure (PS/CPAP). Concurrent respiratory parameters (tidal volume, respiratory rate, and PEEP) were also recorded. Patients were categorized into PARE and nonadverse respiratory event groups based on postextubation outcomes. A composite metric, MV×DE, was calculated by multiplying minute ventilation (MV) by diaphragmatic excursion (DE). Independent predictors of PAREs were identified using multivariate logistic regression, and the diagnostic accuracy of each indicator for PAREs was assessed using ROC curve analysis.</p><p><strong>Results: </strong>The final cohort consisted of 106 participants under general anesthesia, divided into two subgroups based on postextubation outcomes. Analysis showed significant demographic differences between those with postextubation respiratory events (n = 33) and those without (n = 73). The PARE group was older (66.7 ± 16.6 vs. 56.1 ± 15.2 years, p < 0.001) and had a higher prevalence of ASA class III status (48.5% vs. 16.0%, p < 0.001). Diaphragm function indices also differed significantly; the PARE group had reduced diaphragmatic excursion (DE), lower diaphragmatic thickness fraction (DTF), and lower combined parameters (RR×DE and RR×DTF) (all p < 0.001). Multivariate logistic regression identified MV×DE during extubation as the strongest predictor of adverse respiratory outcomes in the PACU (p < 0.001). MV×DE demonstrated strong diagnostic performance with optimal discrimination at ≤ 0.65, showing superior predictive ability (AUROC = 0.874, 95% CI 0.801-0.947), with 78.8% sensitivity and 86.3% specificity for high-risk patients (p < 0.001).</p><p><strong>Conclusion: </strong>MV × DE represents a promising tool for predicting postextubation adverse respiratory events (PEREs) in patients under general anaesthesia in the postanaesthesia care unit (PACU). Additionally, in terms of predicting PAREs, MV × DE offers greater reliability than traditional diaphragm parameters alone do.</p>","PeriodicalId":9148,"journal":{"name":"BMC Pulmonary Medicine","volume":"25 1","pages":"354"},"PeriodicalIF":2.8000,"publicationDate":"2025-07-28","publicationTypes":"Journal Article","fieldsOfStudy":null,"isOpenAccess":false,"openAccessPdf":"https://www.ncbi.nlm.nih.gov/pmc/articles/PMC12302765/pdf/","citationCount":"0","resultStr":null,"platform":"Semanticscholar","paperid":null,"PeriodicalName":"BMC Pulmonary Medicine","FirstCategoryId":"3","ListUrlMain":"https://doi.org/10.1186/s12890-025-03831-6","RegionNum":3,"RegionCategory":"医学","ArticlePicture":[],"TitleCN":null,"AbstractTextCN":null,"PMCID":null,"EPubDate":"","PubModel":"","JCR":"Q2","JCRName":"RESPIRATORY SYSTEM","Score":null,"Total":0}
引用次数: 0

Abstract

Objective: This study explored the potential of diaphragmatic ultrasonography in the postanaesthesia care unit (PACU) for predicting postextubation adverse respiratory events (PAREs) in patients recovering from general anaesthesia.--.

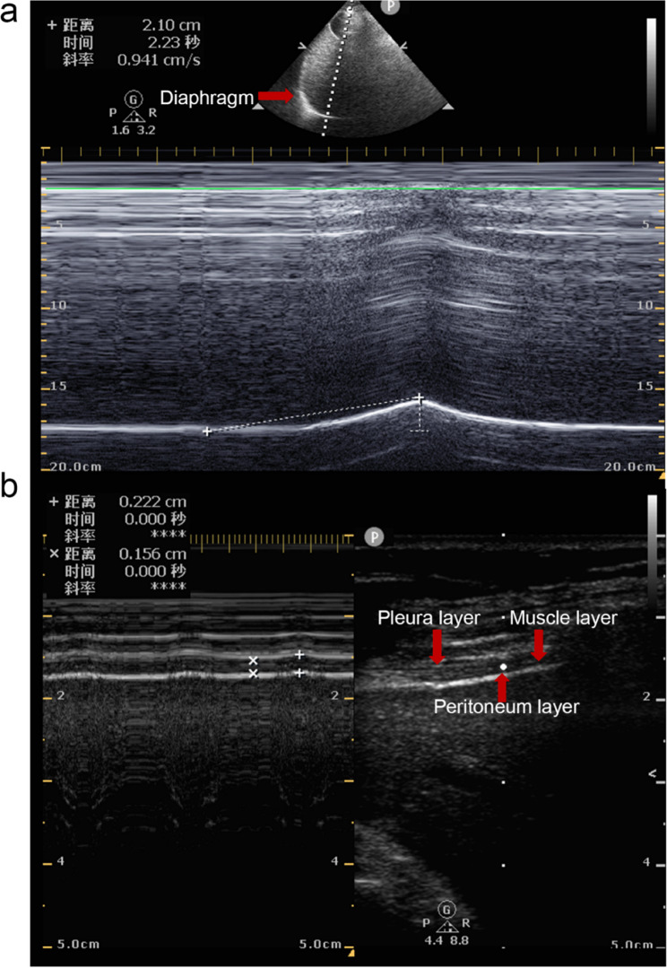
Methods: This cohort study included 110 patients who underwent elective surgeries under general anaesthesia. During recovery before extubation, diaphragmatic function was monitored via ultrasound with pressure support ventilation on continuous positive airway pressure (PS/CPAP). Concurrent respiratory parameters (tidal volume, respiratory rate, and PEEP) were also recorded. Patients were categorized into PARE and nonadverse respiratory event groups based on postextubation outcomes. A composite metric, MV×DE, was calculated by multiplying minute ventilation (MV) by diaphragmatic excursion (DE). Independent predictors of PAREs were identified using multivariate logistic regression, and the diagnostic accuracy of each indicator for PAREs was assessed using ROC curve analysis.

Results: The final cohort consisted of 106 participants under general anesthesia, divided into two subgroups based on postextubation outcomes. Analysis showed significant demographic differences between those with postextubation respiratory events (n = 33) and those without (n = 73). The PARE group was older (66.7 ± 16.6 vs. 56.1 ± 15.2 years, p < 0.001) and had a higher prevalence of ASA class III status (48.5% vs. 16.0%, p < 0.001). Diaphragm function indices also differed significantly; the PARE group had reduced diaphragmatic excursion (DE), lower diaphragmatic thickness fraction (DTF), and lower combined parameters (RR×DE and RR×DTF) (all p < 0.001). Multivariate logistic regression identified MV×DE during extubation as the strongest predictor of adverse respiratory outcomes in the PACU (p < 0.001). MV×DE demonstrated strong diagnostic performance with optimal discrimination at ≤ 0.65, showing superior predictive ability (AUROC = 0.874, 95% CI 0.801-0.947), with 78.8% sensitivity and 86.3% specificity for high-risk patients (p < 0.001).

Conclusion: MV × DE represents a promising tool for predicting postextubation adverse respiratory events (PEREs) in patients under general anaesthesia in the postanaesthesia care unit (PACU). Additionally, in terms of predicting PAREs, MV × DE offers greater reliability than traditional diaphragm parameters alone do.

Abstract Image

Abstract Image

Abstract Image

横膈膜超声衍生MV×DE:全麻患者拔管后不良呼吸事件的新预测因子(观察性研究)。
目的:本研究探讨了在麻醉后护理病房(PACU)应用膈超声检查预测全麻恢复患者拔管后不良呼吸事件(PAREs)的潜力。方法:本队列研究纳入110例全麻下择期手术患者。拔管前恢复期间,超声监测膈功能,持续气道正压通气(PS/CPAP)。同时记录同步呼吸参数(潮气量、呼吸频率和PEEP)。根据拔管后的结果将患者分为PARE组和非不良呼吸事件组。通过将分钟通气量(MV)乘以膈肌偏移(DE),计算出复合指标MV×DE。采用多变量logistic回归确定PAREs的独立预测因子,采用ROC曲线分析评估各指标对PAREs的诊断准确性。结果:最终的队列包括106名全身麻醉下的参与者,根据拔管后的结果分为两个亚组。分析显示拔管后出现呼吸事件的患者(n = 33)和没有出现呼吸事件的患者(n = 73)之间存在显著的人口统计学差异。PARE组年龄较大(66.7±16.6岁vs. 56.1±15.2岁)。结论:MV × DE是预测麻醉后护理病房(PACU)全麻患者拔管后不良呼吸事件(PEREs)的一个很有前景的工具。此外,在预测PAREs方面,MV × DE比单独使用传统隔膜参数提供了更高的可靠性。
本文章由计算机程序翻译,如有差异,请以英文原文为准。
求助全文
约1分钟内获得全文 求助全文
来源期刊
BMC Pulmonary Medicine
BMC Pulmonary Medicine RESPIRATORY SYSTEM-
CiteScore
4.40
自引率
3.20%
发文量
423
审稿时长
6-12 weeks
期刊介绍: BMC Pulmonary Medicine is an open access, peer-reviewed journal that considers articles on all aspects of the prevention, diagnosis and management of pulmonary and associated disorders, as well as related molecular genetics, pathophysiology, and epidemiology.
×
引用
GB/T 7714-2015
复制
MLA
复制
APA
复制
导出至
BibTeX EndNote RefMan NoteFirst NoteExpress
×
提示
您的信息不完整,为了账户安全,请先补充。
现在去补充
×
提示
您因"违规操作"
具体请查看互助需知
我知道了
×
提示
确定
请完成安全验证×
copy
已复制链接
快去分享给好友吧!
我知道了
右上角分享
点击右上角分享
0
联系我们:info@booksci.cn Book学术提供免费学术资源搜索服务,方便国内外学者检索中英文文献。致力于提供最便捷和优质的服务体验。 Copyright © 2023 布克学术 All rights reserved.
京ICP备2023020795号-1
ghs 京公网安备 11010802042870号
Book学术文献互助
Book学术文献互助群
群 号:604180095
Book学术官方微信