Enhancing cognition and well-being by treating the malocclusion unilateral posterior crossbite: preliminary evidence by a single case study.

IF 2.7 Q2 NEUROSCIENCES
AIMS Neuroscience Pub Date : 2025-04-25 eCollection Date: 2025-01-01 DOI:10.3934/Neuroscience.2025007
Laura Mandolesi, Noemi Passarello, Eillyn Leiva Ramirez, Deny Menghini, Patrizia Turriziani, Teresa Vallelonga, Francesco Aristei, Angela Galeotti, Stefano Vicari, Vito Crincoli, Maria Grazia Piancino
{"title":"Enhancing cognition and well-being by treating the malocclusion unilateral posterior crossbite: preliminary evidence by a single case study.","authors":"Laura Mandolesi, Noemi Passarello, Eillyn Leiva Ramirez, Deny Menghini, Patrizia Turriziani, Teresa Vallelonga, Francesco Aristei, Angela Galeotti, Stefano Vicari, Vito Crincoli, Maria Grazia Piancino","doi":"10.3934/Neuroscience.2025007","DOIUrl":null,"url":null,"abstract":"<p><p>Scientific investigations have increasingly revealed the intricate connection between masticatory function and cognitive functioning, as well as psychological well-being. Addressing malocclusions, such as the common unilateral posterior crossbite, during early developmental stages, emerges as an effective strategy for gaining health. This study aims to evaluate the efficacy of treating unilateral posterior crossbite by utilizing a function generating bite (FGB) appliance in a 12-year-old child, focusing on its impact on specific cognitive domains. Through meticulous pre- and post-treatment assessments, encompassing global cognitive activity (Colored Progressive Matrices), verbal and spatial working memory (Digit Span and Corsi Block-Tapping Test), and graphic fluency (modified Five Points Test), this research aims to elucidate the cognitive benefits associated with FGB treatment. Results unveil that a mere seven-month application of FGB effectively rectified the malocclusion while concurrently yielding notable improvements in the cognitive abilities under scrutiny. Additionally, post-treatment observations revealed enhanced well-being and sleep quality, further emphasizing the multifaceted benefits of such interventions. Although this study presents findings from a singular case, it serves as a catalyst for further exploration into the intricate interplay between masticatory function and cognitive performance. Such endeavors are vital for advancing holistic healthcare practices that integrate dental care with cognitive and psychological considerations, thereby fostering comprehensive well-being and optimal development.</p>","PeriodicalId":7732,"journal":{"name":"AIMS Neuroscience","volume":"12 2","pages":"95-112"},"PeriodicalIF":2.7000,"publicationDate":"2025-04-25","publicationTypes":"Journal Article","fieldsOfStudy":null,"isOpenAccess":false,"openAccessPdf":"https://www.ncbi.nlm.nih.gov/pmc/articles/PMC12287644/pdf/","citationCount":"0","resultStr":null,"platform":"Semanticscholar","paperid":null,"PeriodicalName":"AIMS Neuroscience","FirstCategoryId":"1085","ListUrlMain":"https://doi.org/10.3934/Neuroscience.2025007","RegionNum":0,"RegionCategory":null,"ArticlePicture":[],"TitleCN":null,"AbstractTextCN":null,"PMCID":null,"EPubDate":"2025/1/1 0:00:00","PubModel":"eCollection","JCR":"Q2","JCRName":"NEUROSCIENCES","Score":null,"Total":0}
引用次数: 0

Abstract

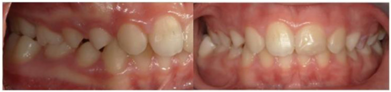
Scientific investigations have increasingly revealed the intricate connection between masticatory function and cognitive functioning, as well as psychological well-being. Addressing malocclusions, such as the common unilateral posterior crossbite, during early developmental stages, emerges as an effective strategy for gaining health. This study aims to evaluate the efficacy of treating unilateral posterior crossbite by utilizing a function generating bite (FGB) appliance in a 12-year-old child, focusing on its impact on specific cognitive domains. Through meticulous pre- and post-treatment assessments, encompassing global cognitive activity (Colored Progressive Matrices), verbal and spatial working memory (Digit Span and Corsi Block-Tapping Test), and graphic fluency (modified Five Points Test), this research aims to elucidate the cognitive benefits associated with FGB treatment. Results unveil that a mere seven-month application of FGB effectively rectified the malocclusion while concurrently yielding notable improvements in the cognitive abilities under scrutiny. Additionally, post-treatment observations revealed enhanced well-being and sleep quality, further emphasizing the multifaceted benefits of such interventions. Although this study presents findings from a singular case, it serves as a catalyst for further exploration into the intricate interplay between masticatory function and cognitive performance. Such endeavors are vital for advancing holistic healthcare practices that integrate dental care with cognitive and psychological considerations, thereby fostering comprehensive well-being and optimal development.

Abstract Image

Abstract Image

Abstract Image

通过治疗单侧后牙合错提高认知和幸福感:单病例研究的初步证据。
科学研究越来越多地揭示了咀嚼功能与认知功能以及心理健康之间的复杂联系。在早期发育阶段处理错颌,如常见的单侧后牙合,是获得健康的有效策略。本研究旨在评估使用功能生成咬合(FGB)矫治器治疗12岁儿童单侧后牙合的疗效,重点关注其对特定认知领域的影响。通过细致的治疗前和治疗后评估,包括全球认知活动(彩色递进矩阵),语言和空间工作记忆(数字广度和Corsi积木测试),以及图形流畅性(改进五点测试),本研究旨在阐明FGB治疗相关的认知益处。结果表明,仅仅七个月的FGB应用有效地纠正了错颌,同时在审查下产生显著的认知能力改善。此外,治疗后观察显示,幸福感和睡眠质量有所提高,进一步强调了此类干预措施的多方面益处。虽然本研究的发现来自一个单一的案例,但它为进一步探索咀嚼功能和认知表现之间复杂的相互作用提供了催化剂。这样的努力对于推进整体医疗保健实践至关重要,这些实践将牙科保健与认知和心理考虑相结合,从而促进全面的健康和最佳的发展。
本文章由计算机程序翻译,如有差异,请以英文原文为准。
求助全文
约1分钟内获得全文 求助全文
来源期刊
AIMS Neuroscience
AIMS Neuroscience NEUROSCIENCES-
CiteScore
4.20
自引率
0.00%
发文量
26
审稿时长
8 weeks
期刊介绍: AIMS Neuroscience is an international Open Access journal devoted to publishing peer-reviewed, high quality, original papers from all areas in the field of neuroscience. The primary focus is to provide a forum in which to expedite the speed with which theoretical neuroscience progresses toward generating testable hypotheses. In the presence of current and developing technology that offers unprecedented access to functions of the nervous system at all levels, the journal is designed to serve the role of providing the widest variety of the best theoretical views leading to suggested studies. Single blind peer review is provided for all articles and commentaries.
×
引用
GB/T 7714-2015
复制
MLA
复制
APA
复制
导出至
BibTeX EndNote RefMan NoteFirst NoteExpress
×
提示
您的信息不完整,为了账户安全,请先补充。
现在去补充
×
提示
您因"违规操作"
具体请查看互助需知
我知道了
×
提示
确定
请完成安全验证×
copy
已复制链接
快去分享给好友吧!
我知道了
右上角分享
点击右上角分享
0
联系我们:info@booksci.cn Book学术提供免费学术资源搜索服务,方便国内外学者检索中英文文献。致力于提供最便捷和优质的服务体验。 Copyright © 2023 布克学术 All rights reserved.
京ICP备2023020795号-1
ghs 京公网安备 11010802042870号
Book学术文献互助
Book学术文献互助群
群 号:604180095
Book学术官方微信