Modeling mammalian hibernation to improve organ cold preservation: Using the intestine as an example

IF 25.9 1区 生物学 Q1 CELL BIOLOGY
Weiya He, Ziqing He, Wenjun Deng, Chuman Wu, Wenjie Huang, Changhui Li, Yan Liang, Yifu Chen, Renjie Luo, Yifei Zhao, Jiayu Liao, Xin Zhou, Guokai Chen, Ren-He Xu, Meiling Liu, Ji Dong
{"title":"Modeling mammalian hibernation to improve organ cold preservation: Using the intestine as an example","authors":"Weiya He, Ziqing He, Wenjun Deng, Chuman Wu, Wenjie Huang, Changhui Li, Yan Liang, Yifu Chen, Renjie Luo, Yifei Zhao, Jiayu Liao, Xin Zhou, Guokai Chen, Ren-He Xu, Meiling Liu, Ji Dong","doi":"10.1038/s41422-025-01149-w","DOIUrl":null,"url":null,"abstract":"","PeriodicalId":9926,"journal":{"name":"Cell Research","volume":"35 9","pages":"691-694"},"PeriodicalIF":25.9000,"publicationDate":"2025-07-28","publicationTypes":"Journal Article","fieldsOfStudy":null,"isOpenAccess":false,"openAccessPdf":"","citationCount":"0","resultStr":null,"platform":"Semanticscholar","paperid":null,"PeriodicalName":"Cell Research","FirstCategoryId":"99","ListUrlMain":"https://www.nature.com/articles/s41422-025-01149-w","RegionNum":1,"RegionCategory":"生物学","ArticlePicture":[],"TitleCN":null,"AbstractTextCN":null,"PMCID":null,"EPubDate":"","PubModel":"","JCR":"Q1","JCRName":"CELL BIOLOGY","Score":null,"Total":0}
引用次数: 0

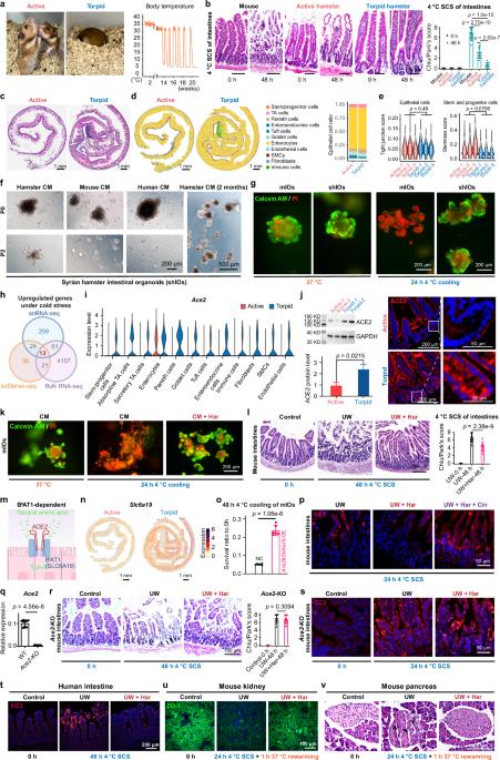
Abstract Image

Abstract Image

模拟哺乳动物冬眠以改善器官低温保存:以肠道为例
亲爱的编辑,器官移植是晚期器官衰竭患者的理想治疗方法作为器官移植的第一步,器官的低温保存对移植结果至关重要。然而,供体器官容易受到静态冷库(SCS)的影响,这是临床标准的冷保存方法,导致安全冷缺血时间为<;心脏和肺6小时;肠10小时;肝脏12小时,肾脏~24小时
本文章由计算机程序翻译,如有差异,请以英文原文为准。
求助全文
约1分钟内获得全文 求助全文
来源期刊
Cell Research
Cell Research 生物-细胞生物学
CiteScore
53.90
自引率
0.70%
发文量
2420
审稿时长
2.3 months
期刊介绍: Cell Research (CR) is an international journal published by Springer Nature in partnership with the Center for Excellence in Molecular Cell Science, Chinese Academy of Sciences (CAS). It focuses on publishing original research articles and reviews in various areas of life sciences, particularly those related to molecular and cell biology. The journal covers a broad range of topics including cell growth, differentiation, and apoptosis; signal transduction; stem cell biology and development; chromatin, epigenetics, and transcription; RNA biology; structural and molecular biology; cancer biology and metabolism; immunity and molecular pathogenesis; molecular and cellular neuroscience; plant molecular and cell biology; and omics, system biology, and synthetic biology. CR is recognized as China's best international journal in life sciences and is part of Springer Nature's prestigious family of Molecular Cell Biology journals.
×
引用
GB/T 7714-2015
复制
MLA
复制
APA
复制
导出至
BibTeX EndNote RefMan NoteFirst NoteExpress
×
提示
您的信息不完整,为了账户安全,请先补充。
现在去补充
×
提示
您因"违规操作"
具体请查看互助需知
我知道了
×
提示
确定
请完成安全验证×
copy
已复制链接
快去分享给好友吧!
我知道了
右上角分享
点击右上角分享
0
联系我们:info@booksci.cn Book学术提供免费学术资源搜索服务,方便国内外学者检索中英文文献。致力于提供最便捷和优质的服务体验。 Copyright © 2023 布克学术 All rights reserved.
京ICP备2023020795号-1
ghs 京公网安备 11010802042870号
Book学术文献互助
Book学术文献互助群
群 号:604180095
Book学术官方微信