Unraveling Mitral Annular Disjunction: A Case Report of Ventricular Arrhythmia Detected via Smartwatch.

IF 0.8 Q3 MEDICINE, GENERAL & INTERNAL
Samantha Lo, Sanjay Sivalokanathan, Nina Kukar
{"title":"Unraveling Mitral Annular Disjunction: A Case Report of Ventricular Arrhythmia Detected via Smartwatch.","authors":"Samantha Lo, Sanjay Sivalokanathan, Nina Kukar","doi":"10.3390/reports8020094","DOIUrl":null,"url":null,"abstract":"<p><p><b>Background and Clinical Significance:</b> Mitral valve prolapse (MVP) is commonly benign, but may result in life-threatening arrhythmias and sudden cardiac death (SCD). Mitral annular disjunction (MAD) often coexists with mitral valve prolapse (MVP) and has been implicated in the development of ventricular arrhythmias through myocardial stretch and fibrosis. <b>Case Presentation:</b> Here, we present a case that highlights the diagnostic value of multimodal imaging in evaluating ventricular ectopy in the context of MVP and MAD. A 72-year-old male presented to the cardiology clinic with palpitations and fatigue, compounded by an arrhythmia identified by his Apple Watch. Holter monitoring revealed premature ventricular contractions (PVCs), with cardiac magnetic resonance imaging (CMR) demonstrating MAD and basal inferolateral scarring. Despite minimal symptoms and normal echocardiographic imaging, CMR findings highlight the utility of advanced cardiovascular imaging in patients with newly detected ventricular arrhythmias. <b>Conclusion:</b> This case highlights the importance of integrating consumer wearables and advanced imaging in evaluating ventricular ectopy and its evolving role in risk stratification for patients with MVP, even in the absence of overt symptoms.</p>","PeriodicalId":74664,"journal":{"name":"Reports (MDPI)","volume":"8 2","pages":""},"PeriodicalIF":0.8000,"publicationDate":"2025-06-14","publicationTypes":"Journal Article","fieldsOfStudy":null,"isOpenAccess":false,"openAccessPdf":"https://www.ncbi.nlm.nih.gov/pmc/articles/PMC12197234/pdf/","citationCount":"0","resultStr":null,"platform":"Semanticscholar","paperid":null,"PeriodicalName":"Reports (MDPI)","FirstCategoryId":"1085","ListUrlMain":"https://doi.org/10.3390/reports8020094","RegionNum":0,"RegionCategory":null,"ArticlePicture":[],"TitleCN":null,"AbstractTextCN":null,"PMCID":null,"EPubDate":"","PubModel":"","JCR":"Q3","JCRName":"MEDICINE, GENERAL & INTERNAL","Score":null,"Total":0}
引用次数: 0

Abstract

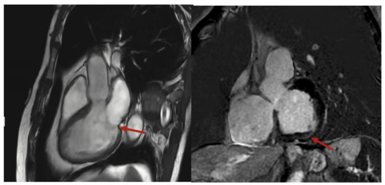
Background and Clinical Significance: Mitral valve prolapse (MVP) is commonly benign, but may result in life-threatening arrhythmias and sudden cardiac death (SCD). Mitral annular disjunction (MAD) often coexists with mitral valve prolapse (MVP) and has been implicated in the development of ventricular arrhythmias through myocardial stretch and fibrosis. Case Presentation: Here, we present a case that highlights the diagnostic value of multimodal imaging in evaluating ventricular ectopy in the context of MVP and MAD. A 72-year-old male presented to the cardiology clinic with palpitations and fatigue, compounded by an arrhythmia identified by his Apple Watch. Holter monitoring revealed premature ventricular contractions (PVCs), with cardiac magnetic resonance imaging (CMR) demonstrating MAD and basal inferolateral scarring. Despite minimal symptoms and normal echocardiographic imaging, CMR findings highlight the utility of advanced cardiovascular imaging in patients with newly detected ventricular arrhythmias. Conclusion: This case highlights the importance of integrating consumer wearables and advanced imaging in evaluating ventricular ectopy and its evolving role in risk stratification for patients with MVP, even in the absence of overt symptoms.

Abstract Image

Abstract Image

通过智能手表检测室性心律失常1例。
背景和临床意义:二尖瓣脱垂(MVP)通常是良性的,但可能导致危及生命的心律失常和心脏性猝死(SCD)。二尖瓣环分离(MAD)通常与二尖瓣脱垂(MVP)共存,并通过心肌拉伸和纤维化参与室性心律失常的发展。病例介绍:在这里,我们提出了一个病例,强调了多模态成像在评估MVP和MAD背景下心室异位的诊断价值。一名72岁男性因心悸和疲劳就诊于心脏病诊所,并伴有苹果手表检测出的心律失常。动态心电图显示室性早搏(PVCs),心脏磁共振成像(CMR)显示MAD和基底外侧瘢痕。尽管症状轻微,超声心动图成像正常,但CMR结果强调了先进心血管成像在新发现的室性心律失常患者中的应用。结论:该病例强调了将消费者可穿戴设备和先进成像技术结合起来评估心室异位的重要性,以及它在MVP患者风险分层中的作用,即使在没有明显症状的情况下。
本文章由计算机程序翻译,如有差异,请以英文原文为准。
求助全文
约1分钟内获得全文 求助全文
来源期刊
自引率
0.00%
发文量
0
审稿时长
11 weeks
×
引用
GB/T 7714-2015
复制
MLA
复制
APA
复制
导出至
BibTeX EndNote RefMan NoteFirst NoteExpress
×
提示
您的信息不完整,为了账户安全,请先补充。
现在去补充
×
提示
您因"违规操作"
具体请查看互助需知
我知道了
×
提示
确定
请完成安全验证×
copy
已复制链接
快去分享给好友吧!
我知道了
右上角分享
点击右上角分享
0
联系我们:info@booksci.cn Book学术提供免费学术资源搜索服务,方便国内外学者检索中英文文献。致力于提供最便捷和优质的服务体验。 Copyright © 2023 布克学术 All rights reserved.
京ICP备2023020795号-1
ghs 京公网安备 11010802042870号
Book学术文献互助
Book学术文献互助群
群 号:604180095
Book学术官方微信