Case Report: Spontaneous Pneumomediastinum and Pneumothorax Complicating Severe Ketoacidosis-An Unexpected Presentation.

IF 0.8 Q3 MEDICINE, GENERAL & INTERNAL
Alexandru Cristian Cindrea, Adina Maria Marza, Alexandra Maria Borita, Antonia Armega-Anghelescu, Ovidiu Alexandru Mederle
{"title":"Case Report: Spontaneous Pneumomediastinum and Pneumothorax Complicating Severe Ketoacidosis-An Unexpected Presentation.","authors":"Alexandru Cristian Cindrea, Adina Maria Marza, Alexandra Maria Borita, Antonia Armega-Anghelescu, Ovidiu Alexandru Mederle","doi":"10.3390/reports8020095","DOIUrl":null,"url":null,"abstract":"<p><p><b>Background and Clinical Significance:</b> Diabetic ketoacidosis (DKA) is a serious and potentially life-threatening condition, often triggered by infections or undiagnosed diabetes. Spontaneous pneumomediastinum (SPM) and pneumothorax are rare but recognized complications of DKA, possibly due to alveolar rupture from increased respiratory effort or vomiting. Sometimes, acute pancreatitis (AP) may further complicate DKA, but the co-occurrence of these three conditions remains exceptionally rare. <b>Case Presentation:</b> We describe the case of a 60-year-old woman without a known history of diabetes who arrived at the emergency department with abdominal pain, fatigue, vomiting, and altered mental status. Initial laboratory findings showed metabolic acidosis, hyperglycemia, and elevated anion gap, consistent with DKA. Imaging revealed spontaneous pneumomediastinum and subsequently a left-sided pneumothorax, without evidence of trauma or esophageal rupture. Epigastric pain, along with elevated serum lipase and CT findings, also confirmed acute pancreatitis. Despite the complexity of her condition, the patient responded well to supportive treatment, including oxygen therapy, fluid resuscitation, insulin infusion, and antibiotics. She was discharged in good condition after 28 days, with a confirmed diagnosis of type 2 diabetes, without further complications. <b>Conclusions:</b> This case highlights an unusual combination of DKA complicated by spontaneous pneumomediastinum, pneumothorax and acute pancreatitis in a previously undiagnosed diabetic patient. Because prompt intervention can lead to favorable outcomes even in complex, multisystem cases, early recognition of atypical DKA complications is critical in order to avoid misdiagnosis.</p>","PeriodicalId":74664,"journal":{"name":"Reports (MDPI)","volume":"8 2","pages":""},"PeriodicalIF":0.8000,"publicationDate":"2025-06-18","publicationTypes":"Journal Article","fieldsOfStudy":null,"isOpenAccess":false,"openAccessPdf":"https://www.ncbi.nlm.nih.gov/pmc/articles/PMC12197081/pdf/","citationCount":"0","resultStr":null,"platform":"Semanticscholar","paperid":null,"PeriodicalName":"Reports (MDPI)","FirstCategoryId":"1085","ListUrlMain":"https://doi.org/10.3390/reports8020095","RegionNum":0,"RegionCategory":null,"ArticlePicture":[],"TitleCN":null,"AbstractTextCN":null,"PMCID":null,"EPubDate":"","PubModel":"","JCR":"Q3","JCRName":"MEDICINE, GENERAL & INTERNAL","Score":null,"Total":0}
引用次数: 0

Abstract

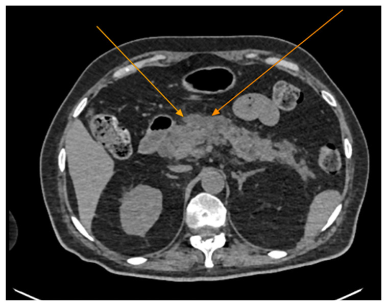
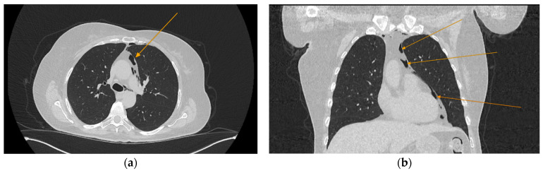
Background and Clinical Significance: Diabetic ketoacidosis (DKA) is a serious and potentially life-threatening condition, often triggered by infections or undiagnosed diabetes. Spontaneous pneumomediastinum (SPM) and pneumothorax are rare but recognized complications of DKA, possibly due to alveolar rupture from increased respiratory effort or vomiting. Sometimes, acute pancreatitis (AP) may further complicate DKA, but the co-occurrence of these three conditions remains exceptionally rare. Case Presentation: We describe the case of a 60-year-old woman without a known history of diabetes who arrived at the emergency department with abdominal pain, fatigue, vomiting, and altered mental status. Initial laboratory findings showed metabolic acidosis, hyperglycemia, and elevated anion gap, consistent with DKA. Imaging revealed spontaneous pneumomediastinum and subsequently a left-sided pneumothorax, without evidence of trauma or esophageal rupture. Epigastric pain, along with elevated serum lipase and CT findings, also confirmed acute pancreatitis. Despite the complexity of her condition, the patient responded well to supportive treatment, including oxygen therapy, fluid resuscitation, insulin infusion, and antibiotics. She was discharged in good condition after 28 days, with a confirmed diagnosis of type 2 diabetes, without further complications. Conclusions: This case highlights an unusual combination of DKA complicated by spontaneous pneumomediastinum, pneumothorax and acute pancreatitis in a previously undiagnosed diabetic patient. Because prompt intervention can lead to favorable outcomes even in complex, multisystem cases, early recognition of atypical DKA complications is critical in order to avoid misdiagnosis.

Abstract Image

Abstract Image

Abstract Image

病例报告:自发性纵隔气肿和气胸并发严重酮症酸中毒——一个意外的表现。
背景和临床意义:糖尿病酮症酸中毒(DKA)是一种严重且可能危及生命的疾病,通常由感染或未确诊的糖尿病引起。自发性纵隔气肿(SPM)和气胸是罕见但公认的DKA并发症,可能是由于呼吸力增加或呕吐引起肺泡破裂。有时,急性胰腺炎(AP)可能进一步使DKA复杂化,但这三种情况的同时发生仍然非常罕见。病例介绍:我们描述了一个没有糖尿病病史的60岁妇女,她以腹痛、疲劳、呕吐和精神状态改变来到急诊科。最初的实验室结果显示代谢性酸中毒、高血糖和阴离子间隙升高,与DKA一致。影像学显示自发性纵隔气肿,随后出现左侧气胸,无外伤或食管破裂证据。胃脘痛、血清脂肪酶升高和CT表现也证实急性胰腺炎。尽管病情复杂,患者对支持治疗反应良好,包括氧疗、液体复苏、胰岛素输注和抗生素。28天后出院,病情良好,确诊为2型糖尿病,无进一步并发症。结论:本病例突出了一个不寻常的合并DKA合并自发性纵隔气肿,气胸和急性胰腺炎在以前未确诊的糖尿病患者。由于即使在复杂的多系统病例中,及时干预也能带来良好的结果,因此早期识别非典型DKA并发症对于避免误诊至关重要。
本文章由计算机程序翻译,如有差异,请以英文原文为准。
求助全文
约1分钟内获得全文 求助全文
来源期刊
自引率
0.00%
发文量
0
审稿时长
11 weeks
×
引用
GB/T 7714-2015
复制
MLA
复制
APA
复制
导出至
BibTeX EndNote RefMan NoteFirst NoteExpress
×
提示
您的信息不完整,为了账户安全,请先补充。
现在去补充
×
提示
您因"违规操作"
具体请查看互助需知
我知道了
×
提示
确定
请完成安全验证×
copy
已复制链接
快去分享给好友吧!
我知道了
右上角分享
点击右上角分享
0
联系我们:info@booksci.cn Book学术提供免费学术资源搜索服务,方便国内外学者检索中英文文献。致力于提供最便捷和优质的服务体验。 Copyright © 2023 布克学术 All rights reserved.
京ICP备2023020795号-1
ghs 京公网安备 11010802042870号
Book学术文献互助
Book学术文献互助群
群 号:604180095
Book学术官方微信