Effects of Class II elastics on lower incisors during treatment with clear aligners vs. fixed appliance: a randomized clinical trial.

IF 1.8 Q3 DENTISTRY, ORAL SURGERY & MEDICINE
Frontiers in dental medicine Pub Date : 2025-07-10 eCollection Date: 2025-01-01 DOI:10.3389/fdmed.2025.1613037
Giuseppina Laganà, Arianna Malara, Roberta Lione, Patrizio Bollero, Paola Cozza
{"title":"Effects of Class II elastics on lower incisors during treatment with clear aligners vs. fixed appliance: a randomized clinical trial.","authors":"Giuseppina Laganà, Arianna Malara, Roberta Lione, Patrizio Bollero, Paola Cozza","doi":"10.3389/fdmed.2025.1613037","DOIUrl":null,"url":null,"abstract":"<p><strong>Aim: </strong>To analyze the inclination of the lower incisor in patients with Class II malocclusion treated with elastics and clear aligners compared to a group wearing the same elastics and fixed appliance.</p><p><strong>Trial design: </strong>Prospective two-arms parallel group randomized clinical trial with a 1:1 allocation ratio.</p><p><strong>Materials and methods: </strong>A sample of 40 patients (19M and 21F), mean age 15.4 ± 1.8 years, was collected from the Department of Orthodontics at Policlinico Tor Vergata (Rome), and was randomly divided in two groups: Invisalign clear aligner group (AG), which consisted of 20 subjects (8M, 12F) and multibracket fixed appliance group (MBG), composed by 20 patients (9M, 11F). The subjects were selected according to inclusion criteria: full permanent dentition (excluding third molars), Class II molar relationship (2.5-4 mm), no history of orthodontic treatment. For each participant of the study, dental and aesthetic measurements, both millimeter and angular were performed on the lateral cephalogram at time T0 (before treatment) and time T1 (after 18 months of treatment).</p><p><strong>Results: </strong>In the short term (T1-T0 = 18 months), the analysis of the results showed no statistically significant changes in all evaluated parameters (IMPA, L1/A-Pg, Md1-TVL, LLA-TVL, <i>p</i> > 0.05). Therefore, there were no statistically significant change in the inclination of the lower incisors.</p><p><strong>Conclusions: </strong>The use of Class II elastics in AG group showed a better control of the lower incisors' inclination, compared to the MBG group. Therefore, aligners represent a good alternative in the correction of mild Class II malocclusion in cases where the lower incisors proclination is undesirable.</p><p><strong>Trial registration: </strong>ClinicalTrials.gov (registration number: NCT06832475).</p>","PeriodicalId":73077,"journal":{"name":"Frontiers in dental medicine","volume":"6 ","pages":"1613037"},"PeriodicalIF":1.8000,"publicationDate":"2025-07-10","publicationTypes":"Journal Article","fieldsOfStudy":null,"isOpenAccess":false,"openAccessPdf":"https://www.ncbi.nlm.nih.gov/pmc/articles/PMC12286962/pdf/","citationCount":"0","resultStr":null,"platform":"Semanticscholar","paperid":null,"PeriodicalName":"Frontiers in dental medicine","FirstCategoryId":"1085","ListUrlMain":"https://doi.org/10.3389/fdmed.2025.1613037","RegionNum":0,"RegionCategory":null,"ArticlePicture":[],"TitleCN":null,"AbstractTextCN":null,"PMCID":null,"EPubDate":"2025/1/1 0:00:00","PubModel":"eCollection","JCR":"Q3","JCRName":"DENTISTRY, ORAL SURGERY & MEDICINE","Score":null,"Total":0}
引用次数: 0

Abstract

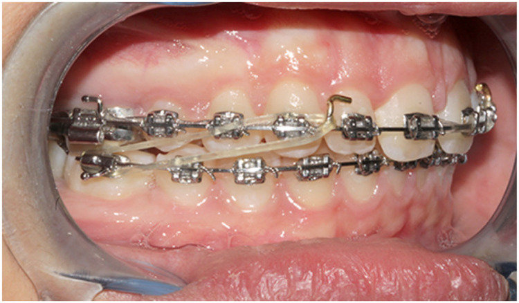
Aim: To analyze the inclination of the lower incisor in patients with Class II malocclusion treated with elastics and clear aligners compared to a group wearing the same elastics and fixed appliance.

Trial design: Prospective two-arms parallel group randomized clinical trial with a 1:1 allocation ratio.

Materials and methods: A sample of 40 patients (19M and 21F), mean age 15.4 ± 1.8 years, was collected from the Department of Orthodontics at Policlinico Tor Vergata (Rome), and was randomly divided in two groups: Invisalign clear aligner group (AG), which consisted of 20 subjects (8M, 12F) and multibracket fixed appliance group (MBG), composed by 20 patients (9M, 11F). The subjects were selected according to inclusion criteria: full permanent dentition (excluding third molars), Class II molar relationship (2.5-4 mm), no history of orthodontic treatment. For each participant of the study, dental and aesthetic measurements, both millimeter and angular were performed on the lateral cephalogram at time T0 (before treatment) and time T1 (after 18 months of treatment).

Results: In the short term (T1-T0 = 18 months), the analysis of the results showed no statistically significant changes in all evaluated parameters (IMPA, L1/A-Pg, Md1-TVL, LLA-TVL, p > 0.05). Therefore, there were no statistically significant change in the inclination of the lower incisors.

Conclusions: The use of Class II elastics in AG group showed a better control of the lower incisors' inclination, compared to the MBG group. Therefore, aligners represent a good alternative in the correction of mild Class II malocclusion in cases where the lower incisors proclination is undesirable.

Trial registration: ClinicalTrials.gov (registration number: NCT06832475).

Abstract Image

Abstract Image

Abstract Image

透明矫正器与固定矫治器治疗期间II类弹性物对下门牙的影响:一项随机临床试验。
目的:比较使用弹性矫正器和透明矫正器治疗II类错颌患者的下切牙倾斜度与使用相同弹性矫正器和固定矫治器组的差异。试验设计:前瞻性双臂平行组随机临床试验,1:1分配比例。材料与方法:选取罗马polilinico Tor Vergata (Rome)正畸科患者40例(m、21F),平均年龄15.4±1.8岁,随机分为两组:Invisalign透明矫正器组(AG) 20例(8M、12F)和多支架固定矫治器组(MBG) 20例(9M、11F)。入选标准:恒牙全列(不包括第三磨牙),II级磨牙关系(2.5-4 mm),无正畸治疗史。对于每个研究参与者,在T0(治疗前)和T1(治疗18个月后)在侧位脑电图上进行牙科和美学测量,包括毫米和角度。结果:短期内(T1-T0 = 18个月),分析结果显示,所有评估参数(IMPA、L1/A-Pg、m1 - tvl、LLA-TVL, p < 0.05)均无统计学意义。因此,下切牙的倾斜度没有统计学上的显著变化。结论:与MBG组相比,AG组使用II类弹性材料可以更好地控制下切牙的倾斜度。因此,在不希望下门牙前倾的情况下,矫正器是矫正轻度II类错颌的一个很好的选择。试验注册:ClinicalTrials.gov(注册号:NCT06832475)。
本文章由计算机程序翻译,如有差异,请以英文原文为准。
求助全文
约1分钟内获得全文 求助全文
来源期刊
CiteScore
2.10
自引率
0.00%
发文量
0
审稿时长
13 weeks
×
引用
GB/T 7714-2015
复制
MLA
复制
APA
复制
导出至
BibTeX EndNote RefMan NoteFirst NoteExpress
×
提示
您的信息不完整,为了账户安全,请先补充。
现在去补充
×
提示
您因"违规操作"
具体请查看互助需知
我知道了
×
提示
确定
请完成安全验证×
copy
已复制链接
快去分享给好友吧!
我知道了
右上角分享
点击右上角分享
0
联系我们:info@booksci.cn Book学术提供免费学术资源搜索服务,方便国内外学者检索中英文文献。致力于提供最便捷和优质的服务体验。 Copyright © 2023 布克学术 All rights reserved.
京ICP备2023020795号-1
ghs 京公网安备 11010802042870号
Book学术文献互助
Book学术文献互助群
群 号:604180095
Book学术官方微信