Myxoid Liposarcoma of the Thigh in Early Puerperium-Rare Case Report and Narrative Review.

IF 3 Q2 MEDICINE, RESEARCH & EXPERIMENTAL
Tomasz Machałowski, Piotr Gutowski, Edyta Zagrodnik, Aleksandra Godlewska, Katarzyna Śmieja, Oliwia Kawałek, Anna Grzymała-Figura, Sylwester Michał Ciećwież, Katarzyna Gross-Kępińska, Małgorzata Szczuko, Maciej Ziętek
{"title":"Myxoid Liposarcoma of the Thigh in Early Puerperium-Rare Case Report and Narrative Review.","authors":"Tomasz Machałowski, Piotr Gutowski, Edyta Zagrodnik, Aleksandra Godlewska, Katarzyna Śmieja, Oliwia Kawałek, Anna Grzymała-Figura, Sylwester Michał Ciećwież, Katarzyna Gross-Kępińska, Małgorzata Szczuko, Maciej Ziętek","doi":"10.3390/diseases13070220","DOIUrl":null,"url":null,"abstract":"<p><strong>Background: </strong>Liposarcoma (LPS) is a rare malignant tumor, but it is also one of the most common adult soft-tissue sarcomas. Myxoid liposarcoma (MLPS) accounts for 30% of all LPS cases. Diagnosis during pregnancy and the puerperium is very rarely reported, and only a few cases have been reported in the thigh.</p><p><strong>Case presentation: </strong>We report the case of a 36-year-old female patient on the 11th day of the puerperium after a cesarean section. The patient presented to the gynecology ward owing to the sudden appearance of a tumor in the medial part of her right thigh. The lesion was non-painful, mobile, soft, approximately 20 cm in diameter, and protruded above the level of the rest of the thigh surface. A suspicion of hematoma was raised. The final diagnosis was high-grade MLPS.</p><p><strong>Conclusions: </strong>An MLPS diagnosis is uncommon in female patients and even rarer during pregnancy. This case represents a novel occurrence, as the first instance in which symptoms manifested during the puerperium. Proper treatment and early detection could improve disease outcomes.</p>","PeriodicalId":72832,"journal":{"name":"Diseases (Basel, Switzerland)","volume":"13 7","pages":""},"PeriodicalIF":3.0000,"publicationDate":"2025-07-14","publicationTypes":"Journal Article","fieldsOfStudy":null,"isOpenAccess":false,"openAccessPdf":"https://www.ncbi.nlm.nih.gov/pmc/articles/PMC12293608/pdf/","citationCount":"0","resultStr":null,"platform":"Semanticscholar","paperid":null,"PeriodicalName":"Diseases (Basel, Switzerland)","FirstCategoryId":"1085","ListUrlMain":"https://doi.org/10.3390/diseases13070220","RegionNum":0,"RegionCategory":null,"ArticlePicture":[],"TitleCN":null,"AbstractTextCN":null,"PMCID":null,"EPubDate":"","PubModel":"","JCR":"Q2","JCRName":"MEDICINE, RESEARCH & EXPERIMENTAL","Score":null,"Total":0}
引用次数: 0

Abstract

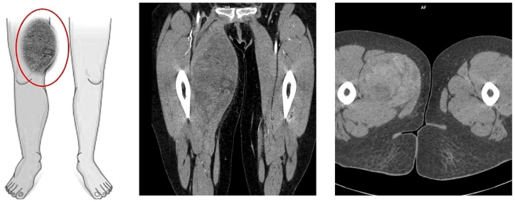
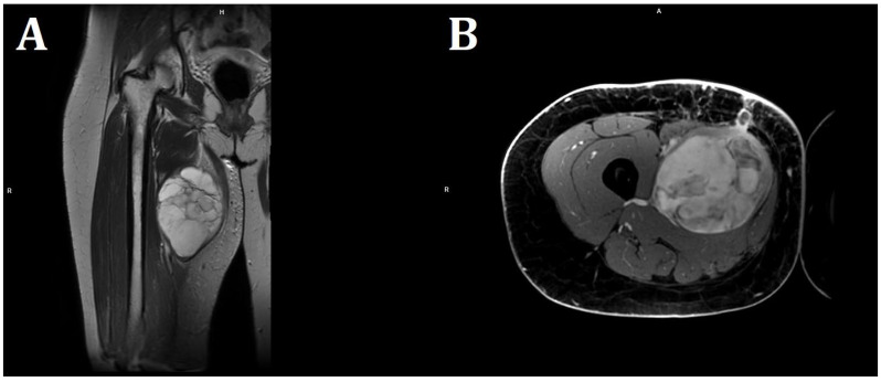
Background: Liposarcoma (LPS) is a rare malignant tumor, but it is also one of the most common adult soft-tissue sarcomas. Myxoid liposarcoma (MLPS) accounts for 30% of all LPS cases. Diagnosis during pregnancy and the puerperium is very rarely reported, and only a few cases have been reported in the thigh.

Case presentation: We report the case of a 36-year-old female patient on the 11th day of the puerperium after a cesarean section. The patient presented to the gynecology ward owing to the sudden appearance of a tumor in the medial part of her right thigh. The lesion was non-painful, mobile, soft, approximately 20 cm in diameter, and protruded above the level of the rest of the thigh surface. A suspicion of hematoma was raised. The final diagnosis was high-grade MLPS.

Conclusions: An MLPS diagnosis is uncommon in female patients and even rarer during pregnancy. This case represents a novel occurrence, as the first instance in which symptoms manifested during the puerperium. Proper treatment and early detection could improve disease outcomes.

Abstract Image

Abstract Image

Abstract Image

产褥期早期大腿黏液样脂肪肉瘤罕见病例报告及叙述回顾。
背景:脂肉瘤是一种罕见的恶性肿瘤,也是最常见的成人软组织肉瘤之一。粘液样脂肪肉瘤(MLPS)占所有脂多糖病例的30%。在妊娠和产褥期诊断是非常罕见的报告,只有少数病例已报告在大腿。病例介绍:我们报告的情况下,36岁的女性患者在产褥期第11天剖宫产后。患者因右大腿内侧突然出现肿瘤而来到妇科病房。病变无痛,可移动,柔软,直径约20cm,突出于大腿表面其余部分的水平。有血肿的嫌疑。最终诊断为高级别MLPS。结论:MLPS诊断在女性患者中并不常见,在妊娠期更为罕见。本病例为新病例,首次在产褥期出现症状。适当的治疗和早期发现可以改善疾病的预后。
本文章由计算机程序翻译,如有差异,请以英文原文为准。
求助全文
约1分钟内获得全文 求助全文
来源期刊
CiteScore
0.80
自引率
0.00%
发文量
0
审稿时长
6 weeks
×
引用
GB/T 7714-2015
复制
MLA
复制
APA
复制
导出至
BibTeX EndNote RefMan NoteFirst NoteExpress
×
提示
您的信息不完整,为了账户安全,请先补充。
现在去补充
×
提示
您因"违规操作"
具体请查看互助需知
我知道了
×
提示
确定
请完成安全验证×
copy
已复制链接
快去分享给好友吧!
我知道了
右上角分享
点击右上角分享
0
联系我们:info@booksci.cn Book学术提供免费学术资源搜索服务,方便国内外学者检索中英文文献。致力于提供最便捷和优质的服务体验。 Copyright © 2023 布克学术 All rights reserved.
京ICP备2023020795号-1
ghs 京公网安备 11010802042870号
Book学术文献互助
Book学术文献互助群
群 号:604180095
Book学术官方微信