Endoscopic ultrasound-guided fine-needle aspiration value in suspected autoimmune pancreatitis malignancy diagnosis.

IF 3.1 4区 医学 Q2 PATHOLOGY
Cytojournal Pub Date : 2025-06-02 eCollection Date: 2025-01-01 DOI:10.25259/Cytojournal_214_2024
Yue Liu, Dongling Wan, Chang Wu, Deyu Zhang, Jiaheng Xu, Wanshun Li, Zhenghui Yang, Jiayu Li, Ying Chen, Zhendong Jin, Haojie Huang
{"title":"Endoscopic ultrasound-guided fine-needle aspiration value in suspected autoimmune pancreatitis malignancy diagnosis.","authors":"Yue Liu, Dongling Wan, Chang Wu, Deyu Zhang, Jiaheng Xu, Wanshun Li, Zhenghui Yang, Jiayu Li, Ying Chen, Zhendong Jin, Haojie Huang","doi":"10.25259/Cytojournal_214_2024","DOIUrl":null,"url":null,"abstract":"<p><strong>Objective: </strong>Histopathology examination is important for diagnosing autoimmune pancreatitis (AIP), which is suspected to be pancreatic cancer based on imaging findings. Although the validity of endoscopic ultrasound-guided fine-needle aspiration (EUS-FNA) in the diagnosis of AIP is still debated globally, this study aimed to evaluate the efficacy of EUS-FNA in the diagnosis of AIP with suspected pancreatic cancer.</p><p><strong>Material and methods: </strong>From January 2021 to June 2024, 30 AIP patients with radiographically diagnosed pancreatic cancer were enrolled and underwent EUS-FNA. Sex, age, symptoms, CA199, serum immunoglobulin G4 (IgG4), and treatment outcome were included. Tissue sampling conditions, puncture sites, storiform fibrosis, CD38- and IgG4-positive plasma cell counts, and obliterans phlebitis were evaluated.</p><p><strong>Results: </strong>Thirty patients, 24 males and six females, with an average age of 60.53 ± 11.72 years (32-79 years), were included in the study. Thirty patients had their serum IgG4 and CA199 levels tested. Tissue samples containing ≥10 were obtained from 19 (63.33%) patients. CD38+ plasma cell infiltration and laminar fibrosis were detected in 22 (73.33%) and 10 (33.33%) patients. According to the International Consensus Diagnostic Criteria ( ICDC), 12 patients had histopathological levels of Grade 1, 15 of Grade 2, and three patients could not be classified. The accuracy, sensitivity, and specificity of EUS-FNA in diagnosing AIP with suspected pancreatic cancer on imaging were 96.66% (29/30), 96.42% (27/28), and 100% (2/2), respectively. The area under the curve value of EUS-FNA for patients with AIP who were radiologically suspected of having pancreatic cancer was 0.957.</p><p><strong>Conclusion: </strong>Approximately 90% of patients with EUS-FNA results are diagnosed with an ICDC level of 2 or higher. Our results suggest that for cases where malignant tumors are suspected after imaging or cannot be ruled out, obtaining pancreatic tissue through EUS-FNA puncture for pathological diagnosis is recommended.</p>","PeriodicalId":49082,"journal":{"name":"Cytojournal","volume":"22 ","pages":"58"},"PeriodicalIF":3.1000,"publicationDate":"2025-06-02","publicationTypes":"Journal Article","fieldsOfStudy":null,"isOpenAccess":false,"openAccessPdf":"https://www.ncbi.nlm.nih.gov/pmc/articles/PMC12289111/pdf/","citationCount":"0","resultStr":null,"platform":"Semanticscholar","paperid":null,"PeriodicalName":"Cytojournal","FirstCategoryId":"3","ListUrlMain":"https://doi.org/10.25259/Cytojournal_214_2024","RegionNum":4,"RegionCategory":"医学","ArticlePicture":[],"TitleCN":null,"AbstractTextCN":null,"PMCID":null,"EPubDate":"2025/1/1 0:00:00","PubModel":"eCollection","JCR":"Q2","JCRName":"PATHOLOGY","Score":null,"Total":0}
引用次数: 0

Abstract

Objective: Histopathology examination is important for diagnosing autoimmune pancreatitis (AIP), which is suspected to be pancreatic cancer based on imaging findings. Although the validity of endoscopic ultrasound-guided fine-needle aspiration (EUS-FNA) in the diagnosis of AIP is still debated globally, this study aimed to evaluate the efficacy of EUS-FNA in the diagnosis of AIP with suspected pancreatic cancer.

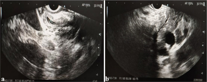
Material and methods: From January 2021 to June 2024, 30 AIP patients with radiographically diagnosed pancreatic cancer were enrolled and underwent EUS-FNA. Sex, age, symptoms, CA199, serum immunoglobulin G4 (IgG4), and treatment outcome were included. Tissue sampling conditions, puncture sites, storiform fibrosis, CD38- and IgG4-positive plasma cell counts, and obliterans phlebitis were evaluated.

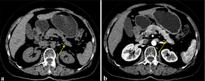
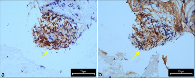
Results: Thirty patients, 24 males and six females, with an average age of 60.53 ± 11.72 years (32-79 years), were included in the study. Thirty patients had their serum IgG4 and CA199 levels tested. Tissue samples containing ≥10 were obtained from 19 (63.33%) patients. CD38+ plasma cell infiltration and laminar fibrosis were detected in 22 (73.33%) and 10 (33.33%) patients. According to the International Consensus Diagnostic Criteria ( ICDC), 12 patients had histopathological levels of Grade 1, 15 of Grade 2, and three patients could not be classified. The accuracy, sensitivity, and specificity of EUS-FNA in diagnosing AIP with suspected pancreatic cancer on imaging were 96.66% (29/30), 96.42% (27/28), and 100% (2/2), respectively. The area under the curve value of EUS-FNA for patients with AIP who were radiologically suspected of having pancreatic cancer was 0.957.

Conclusion: Approximately 90% of patients with EUS-FNA results are diagnosed with an ICDC level of 2 or higher. Our results suggest that for cases where malignant tumors are suspected after imaging or cannot be ruled out, obtaining pancreatic tissue through EUS-FNA puncture for pathological diagnosis is recommended.

Abstract Image

Abstract Image

Abstract Image

超声内镜引导下细针穿刺在可疑自身免疫性胰腺炎恶性诊断中的价值。
目的:自身免疫性胰腺炎(AIP)影像学表现怀疑为胰腺癌,组织病理学检查对诊断具有重要意义。尽管内镜超声引导下细针穿刺(EUS-FNA)在AIP诊断中的有效性在全球范围内仍存在争议,但本研究旨在评估EUS-FNA在AIP疑似胰腺癌诊断中的有效性。材料与方法:2021年1月至2024年6月,入选30例影像学诊断为胰腺癌的AIP患者,并进行EUS-FNA。包括性别、年龄、症状、CA199、血清免疫球蛋白G4 (IgG4)和治疗结果。评估组织取样条件、穿刺部位、层状纤维化、CD38和igg4阳性浆细胞计数和闭塞性静脉炎。结果:共纳入30例患者,男24例,女6例,平均年龄60.53±11.72岁(32 ~ 79岁)。30例患者检测血清IgG4和CA199水平。19例(63.33%)患者的组织样本≥10。CD38+浆细胞浸润22例(73.33%),层状纤维化10例(33.33%)。根据国际共识诊断标准(International Consensus Diagnostic Criteria, ICDC), 12例患者的组织病理学水平为1级,15例为2级,3例无法分级。EUS-FNA诊断AIP合并疑似胰腺癌的影像学准确性、敏感性和特异性分别为96.66%(29/30)、96.42%(27/28)和100%(2/2)。影像学怀疑为胰腺癌的AIP患者EUS-FNA曲线值下面积为0.957。结论:约90%的EUS-FNA患者诊断为2级或更高的ICDC。我们的研究结果提示,对于影像学怀疑恶性肿瘤或不能排除恶性肿瘤的病例,建议通过EUS-FNA穿刺获得胰腺组织进行病理诊断。
本文章由计算机程序翻译,如有差异,请以英文原文为准。
求助全文
约1分钟内获得全文 求助全文
来源期刊
Cytojournal
Cytojournal PATHOLOGY-
CiteScore
2.20
自引率
42.10%
发文量
56
审稿时长
>12 weeks
期刊介绍: The CytoJournal is an open-access peer-reviewed journal committed to publishing high-quality articles in the field of Diagnostic Cytopathology including Molecular aspects. The journal is owned by the Cytopathology Foundation and published by the Scientific Scholar.
×
引用
GB/T 7714-2015
复制
MLA
复制
APA
复制
导出至
BibTeX EndNote RefMan NoteFirst NoteExpress
×
提示
您的信息不完整,为了账户安全,请先补充。
现在去补充
×
提示
您因"违规操作"
具体请查看互助需知
我知道了
×
提示
确定
请完成安全验证×
copy
已复制链接
快去分享给好友吧!
我知道了
右上角分享
点击右上角分享
0
联系我们:info@booksci.cn Book学术提供免费学术资源搜索服务,方便国内外学者检索中英文文献。致力于提供最便捷和优质的服务体验。 Copyright © 2023 布克学术 All rights reserved.
京ICP备2023020795号-1
ghs 京公网安备 11010802042870号
Book学术文献互助
Book学术文献互助群
群 号:604180095
Book学术官方微信