Anti-IFN-γ Autoantibody Syndrome Presenting with Disseminated Nontuberculous Mycobacteria Infections: A Case Series of Therapeutic Implications and Review of Literature.

IF 2.6 4区 医学 Q2 INFECTIOUS DISEASES
Brooke Cheng, Barinder Bajwa, Seungwon Choi, Hannah Martin, Tyson Miao, Denise Werry, Michael Perlman, Yazdan Mirzanejad
{"title":"Anti-IFN-γ Autoantibody Syndrome Presenting with Disseminated Nontuberculous Mycobacteria Infections: A Case Series of Therapeutic Implications and Review of Literature.","authors":"Brooke Cheng, Barinder Bajwa, Seungwon Choi, Hannah Martin, Tyson Miao, Denise Werry, Michael Perlman, Yazdan Mirzanejad","doi":"10.3390/tropicalmed10070202","DOIUrl":null,"url":null,"abstract":"<p><p>Anticytokine autoantibodies (AAbs), particularly anti-interferon-gamma (anti-IFN-γ) AAbs, disrupt cytokine functions, leading to infections, autoimmune-like diseases, and conditions resembling interleukin-12 (IL-12)/IFN-γ pathway defects. Advances in genetic testing have clarified overlaps between autoinflammatory, autoimmune disorders, and primary immunodeficiencies but reveal complex phenotypes and pathways. While these insights deepen our understanding of immune mechanisms, they also complicate diagnosis and treatment, with limited options for IFN-γ deficiencies caused by genetic mutations. The adult-onset immunodeficiency with disseminated lymphadenitis due to nontuberculous mycobacteria (NTM) and other opportunistic infections has been linked to high levels of anti-IFN-γ AAbs. This syndrome, initially identified in HIV-negative Asian patients, frequently affects individuals of Asian descent and may be associated with specific human leukocyte antigen (HLA) alleles. The presence of neutralizing anti-IFN-γ AAbs impairs the IFN-γ-dependent immune response, likely contributing to the persistent NTM infection. This study underscores the potential for late-onset anti-IFN-γ AAb syndrome to manifest with disseminated NTM (dNTM) infections, highlights the importance of timely diagnosis and considers rituximab as a potential therapeutic option.</p>","PeriodicalId":23330,"journal":{"name":"Tropical Medicine and Infectious Disease","volume":"10 7","pages":""},"PeriodicalIF":2.6000,"publicationDate":"2025-07-21","publicationTypes":"Journal Article","fieldsOfStudy":null,"isOpenAccess":false,"openAccessPdf":"https://www.ncbi.nlm.nih.gov/pmc/articles/PMC12301023/pdf/","citationCount":"0","resultStr":null,"platform":"Semanticscholar","paperid":null,"PeriodicalName":"Tropical Medicine and Infectious Disease","FirstCategoryId":"3","ListUrlMain":"https://doi.org/10.3390/tropicalmed10070202","RegionNum":4,"RegionCategory":"医学","ArticlePicture":[],"TitleCN":null,"AbstractTextCN":null,"PMCID":null,"EPubDate":"","PubModel":"","JCR":"Q2","JCRName":"INFECTIOUS DISEASES","Score":null,"Total":0}
引用次数: 0

Abstract

Anticytokine autoantibodies (AAbs), particularly anti-interferon-gamma (anti-IFN-γ) AAbs, disrupt cytokine functions, leading to infections, autoimmune-like diseases, and conditions resembling interleukin-12 (IL-12)/IFN-γ pathway defects. Advances in genetic testing have clarified overlaps between autoinflammatory, autoimmune disorders, and primary immunodeficiencies but reveal complex phenotypes and pathways. While these insights deepen our understanding of immune mechanisms, they also complicate diagnosis and treatment, with limited options for IFN-γ deficiencies caused by genetic mutations. The adult-onset immunodeficiency with disseminated lymphadenitis due to nontuberculous mycobacteria (NTM) and other opportunistic infections has been linked to high levels of anti-IFN-γ AAbs. This syndrome, initially identified in HIV-negative Asian patients, frequently affects individuals of Asian descent and may be associated with specific human leukocyte antigen (HLA) alleles. The presence of neutralizing anti-IFN-γ AAbs impairs the IFN-γ-dependent immune response, likely contributing to the persistent NTM infection. This study underscores the potential for late-onset anti-IFN-γ AAb syndrome to manifest with disseminated NTM (dNTM) infections, highlights the importance of timely diagnosis and considers rituximab as a potential therapeutic option.

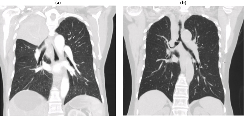
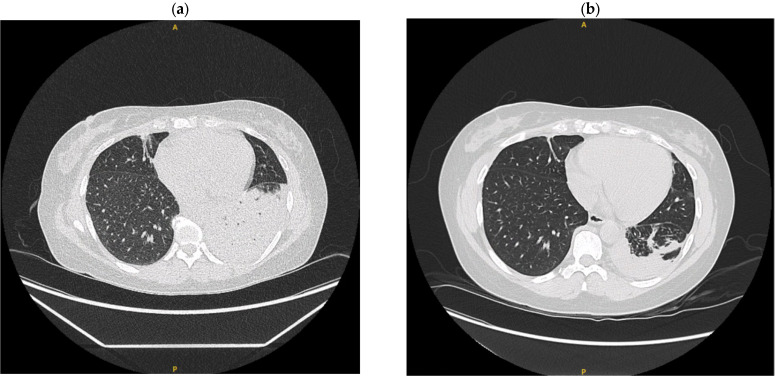
Abstract Image

Abstract Image

Abstract Image

以播散性非结核分枝杆菌感染为表现的抗ifn -γ自身抗体综合征:一系列治疗意义的病例和文献综述
抗细胞因子自身抗体(AAbs),特别是抗干扰素-γ(抗IFN-γ)自身抗体,破坏细胞因子功能,导致感染、自身免疫样疾病和类似白介素-12 (IL-12)/IFN-γ途径缺陷的病症。基因检测的进展明确了自身炎症、自身免疫性疾病和原发性免疫缺陷之间的重叠,但揭示了复杂的表型和途径。虽然这些见解加深了我们对免疫机制的理解,但它们也使诊断和治疗复杂化,因为由基因突变引起的IFN-γ缺乏的选择有限。由非结核分枝杆菌(NTM)和其他机会性感染引起的成人免疫缺陷伴播散性淋巴结炎与高水平的抗ifn -γ单克隆抗体有关。这种综合征最初在hiv阴性的亚洲患者中发现,经常影响亚洲血统的个体,可能与特定的人类白细胞抗原(HLA)等位基因有关。中和性抗IFN-γ自身抗体的存在损害了IFN-γ依赖的免疫反应,可能导致持续的NTM感染。本研究强调了迟发性抗ifn -γ AAb综合征可能表现为弥散性NTM (dNTM)感染,强调了及时诊断的重要性,并认为美罗华是一种潜在的治疗选择。
本文章由计算机程序翻译,如有差异,请以英文原文为准。
求助全文
约1分钟内获得全文 求助全文
来源期刊
Tropical Medicine and Infectious Disease
Tropical Medicine and Infectious Disease Medicine-Public Health, Environmental and Occupational Health
CiteScore
3.90
自引率
10.30%
发文量
353
审稿时长
11 weeks
×
引用
GB/T 7714-2015
复制
MLA
复制
APA
复制
导出至
BibTeX EndNote RefMan NoteFirst NoteExpress
×
提示
您的信息不完整,为了账户安全,请先补充。
现在去补充
×
提示
您因"违规操作"
具体请查看互助需知
我知道了
×
提示
确定
请完成安全验证×
copy
已复制链接
快去分享给好友吧!
我知道了
右上角分享
点击右上角分享
0
联系我们:info@booksci.cn Book学术提供免费学术资源搜索服务,方便国内外学者检索中英文文献。致力于提供最便捷和优质的服务体验。 Copyright © 2023 布克学术 All rights reserved.
京ICP备2023020795号-1
ghs 京公网安备 11010802042870号
Book学术文献互助
Book学术文献互助群
群 号:604180095
Book学术官方微信