Partially calcified giant hemorrhagic syringomyelia and hematomyelia.

IF 1.3 Q3 RADIOLOGY, NUCLEAR MEDICINE & MEDICAL IMAGING
Journal of Clinical Imaging Science Pub Date : 2025-06-18 eCollection Date: 2025-01-01 DOI:10.25259/JCIS_138_2024
Adnan Duriqi, Kreshnike Dedushi Hoti, Kaltrina Gocaj, Fjolla Hyseni
{"title":"Partially calcified giant hemorrhagic syringomyelia and hematomyelia.","authors":"Adnan Duriqi, Kreshnike Dedushi Hoti, Kaltrina Gocaj, Fjolla Hyseni","doi":"10.25259/JCIS_138_2024","DOIUrl":null,"url":null,"abstract":"<p><p>Syringomyelia is a rare condition characterized by the formation of a fluid-filled cyst within the spinal cord, leading to myelopathy. In addition, the pathological enlargement of the central canal is referred to as hydromyelia or cleft-like syrinx. We present a case of idiopathic syringomyelia and hematomyelia in a 50-year-old female patient with a 5-year follow-up on her disease progression. Magnetic resonance imaging (MRI) images revealed low-signal intensity on T1 and high-signal intensity on T2, with elevated hemorrhagic signal intensity on T1 and low peripheral signal intensity on T2. A fluid-filled lesion measuring 12 × 36 mm was observed between the C7 and Th3 vertebrae, with separation from some of the detailed components. No contrast enhancement was noted following IV contrast administration. Based on the MRI findings, a diagnosis consistent with giant hemorrhagic syringomyelia was established. Subsequently, a neurosurgical intervention was performed, resulting in a reduction in the size of the syringomyelia and a moderate improvement in the patient's symptom profile.</p>","PeriodicalId":15512,"journal":{"name":"Journal of Clinical Imaging Science","volume":"15 ","pages":"22"},"PeriodicalIF":1.3000,"publicationDate":"2025-06-18","publicationTypes":"Journal Article","fieldsOfStudy":null,"isOpenAccess":false,"openAccessPdf":"https://www.ncbi.nlm.nih.gov/pmc/articles/PMC12289104/pdf/","citationCount":"0","resultStr":null,"platform":"Semanticscholar","paperid":null,"PeriodicalName":"Journal of Clinical Imaging Science","FirstCategoryId":"1085","ListUrlMain":"https://doi.org/10.25259/JCIS_138_2024","RegionNum":0,"RegionCategory":null,"ArticlePicture":[],"TitleCN":null,"AbstractTextCN":null,"PMCID":null,"EPubDate":"2025/1/1 0:00:00","PubModel":"eCollection","JCR":"Q3","JCRName":"RADIOLOGY, NUCLEAR MEDICINE & MEDICAL IMAGING","Score":null,"Total":0}
引用次数: 0

Abstract

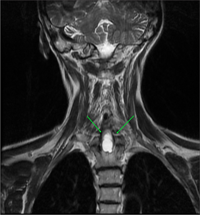
Syringomyelia is a rare condition characterized by the formation of a fluid-filled cyst within the spinal cord, leading to myelopathy. In addition, the pathological enlargement of the central canal is referred to as hydromyelia or cleft-like syrinx. We present a case of idiopathic syringomyelia and hematomyelia in a 50-year-old female patient with a 5-year follow-up on her disease progression. Magnetic resonance imaging (MRI) images revealed low-signal intensity on T1 and high-signal intensity on T2, with elevated hemorrhagic signal intensity on T1 and low peripheral signal intensity on T2. A fluid-filled lesion measuring 12 × 36 mm was observed between the C7 and Th3 vertebrae, with separation from some of the detailed components. No contrast enhancement was noted following IV contrast administration. Based on the MRI findings, a diagnosis consistent with giant hemorrhagic syringomyelia was established. Subsequently, a neurosurgical intervention was performed, resulting in a reduction in the size of the syringomyelia and a moderate improvement in the patient's symptom profile.

Abstract Image

Abstract Image

Abstract Image

部分钙化的巨大出血性脊髓空洞和血液病。
脊髓空洞症是一种罕见的疾病,其特征是脊髓内形成充满液体的囊肿,导致脊髓病。此外,中央管的病理性扩大被称为髓水症或裂隙样耳鸣。我们提出一个病例特发性脊髓空洞和血液病在一个50岁的女性患者与5年的随访,她的疾病进展。磁共振成像(MRI)示T1低信号,T2高信号,T1出血信号升高,T2低外周信号。在C7和Th3椎体之间观察到一个12 × 36 mm的充满液体的病变,与一些详细的部件分离。静脉注射造影剂后未见造影剂增强。根据MRI检查结果,诊断为巨大出血性脊髓空洞。随后,进行了神经外科干预,导致脊髓空洞的大小减小,患者的症状有了适度的改善。
本文章由计算机程序翻译,如有差异,请以英文原文为准。
求助全文
约1分钟内获得全文 求助全文
来源期刊
Journal of Clinical Imaging Science
Journal of Clinical Imaging Science RADIOLOGY, NUCLEAR MEDICINE & MEDICAL IMAGING-
CiteScore
2.00
自引率
0.00%
发文量
65
期刊介绍: The Journal of Clinical Imaging Science (JCIS) is an open access peer-reviewed journal committed to publishing high-quality articles in the field of Imaging Science. The journal aims to present Imaging Science and relevant clinical information in an understandable and useful format. The journal is owned and published by the Scientific Scholar. Audience Our audience includes Radiologists, Researchers, Clinicians, medical professionals and students. Review process JCIS has a highly rigorous peer-review process that makes sure that manuscripts are scientifically accurate, relevant, novel and important. Authors disclose all conflicts, affiliations and financial associations such that the published content is not biased.
×
引用
GB/T 7714-2015
复制
MLA
复制
APA
复制
导出至
BibTeX EndNote RefMan NoteFirst NoteExpress
×
提示
您的信息不完整,为了账户安全,请先补充。
现在去补充
×
提示
您因"违规操作"
具体请查看互助需知
我知道了
×
提示
确定
请完成安全验证×
copy
已复制链接
快去分享给好友吧!
我知道了
右上角分享
点击右上角分享
0
联系我们:info@booksci.cn Book学术提供免费学术资源搜索服务,方便国内外学者检索中英文文献。致力于提供最便捷和优质的服务体验。 Copyright © 2023 布克学术 All rights reserved.
京ICP备2023020795号-1
ghs 京公网安备 11010802042870号
Book学术文献互助
Book学术文献互助群
群 号:604180095
Book学术官方微信