Cardiac magnetic resonance imaging in Fabry disease.

IF 1.3 Q3 RADIOLOGY, NUCLEAR MEDICINE & MEDICAL IMAGING
Journal of Clinical Imaging Science Pub Date : 2025-06-25 eCollection Date: 2025-01-01 DOI:10.25259/JCIS_155_2024
Hatty Hoi Ting Chau, Wai Yuk Fung, Johnny Ka Fai Ma, Heather Hoi Ching Lee, Yongmei Leng, Rois L S Chan, Kingshing Ngai
{"title":"Cardiac magnetic resonance imaging in Fabry disease.","authors":"Hatty Hoi Ting Chau, Wai Yuk Fung, Johnny Ka Fai Ma, Heather Hoi Ching Lee, Yongmei Leng, Rois L S Chan, Kingshing Ngai","doi":"10.25259/JCIS_155_2024","DOIUrl":null,"url":null,"abstract":"<p><p>Fabry disease (FD) is a rare X-linked lysosomal storage disorder. Cardiac involvement is frequent in the classic phenotype and late-onset cardiac variant of FD. It is challenging to distinguish FD cardiomyopathy from other forms of unexplained left ventricular hypertrophy, especially in those patients without extracardiac manifestations. Cardiac magnetic resonance imaging is an essential imaging modality for the quantitative and qualitative assessment of FD cardiomyopathy. It helps to monitor disease progress and allows early disease detection in the mild form or subclinical cardiac phenotypes. This review illustrates the characteristic imaging features of FD cardiomyopathy in cardiac MRI, aiming to enhance the awareness of this disease entity among the scope of unexplained cardiomyopathy and promote timely enzyme replacement therapy for patients.</p>","PeriodicalId":15512,"journal":{"name":"Journal of Clinical Imaging Science","volume":"15 ","pages":"23"},"PeriodicalIF":1.3000,"publicationDate":"2025-06-25","publicationTypes":"Journal Article","fieldsOfStudy":null,"isOpenAccess":false,"openAccessPdf":"https://www.ncbi.nlm.nih.gov/pmc/articles/PMC12289101/pdf/","citationCount":"0","resultStr":null,"platform":"Semanticscholar","paperid":null,"PeriodicalName":"Journal of Clinical Imaging Science","FirstCategoryId":"1085","ListUrlMain":"https://doi.org/10.25259/JCIS_155_2024","RegionNum":0,"RegionCategory":null,"ArticlePicture":[],"TitleCN":null,"AbstractTextCN":null,"PMCID":null,"EPubDate":"2025/1/1 0:00:00","PubModel":"eCollection","JCR":"Q3","JCRName":"RADIOLOGY, NUCLEAR MEDICINE & MEDICAL IMAGING","Score":null,"Total":0}
引用次数: 0

Abstract

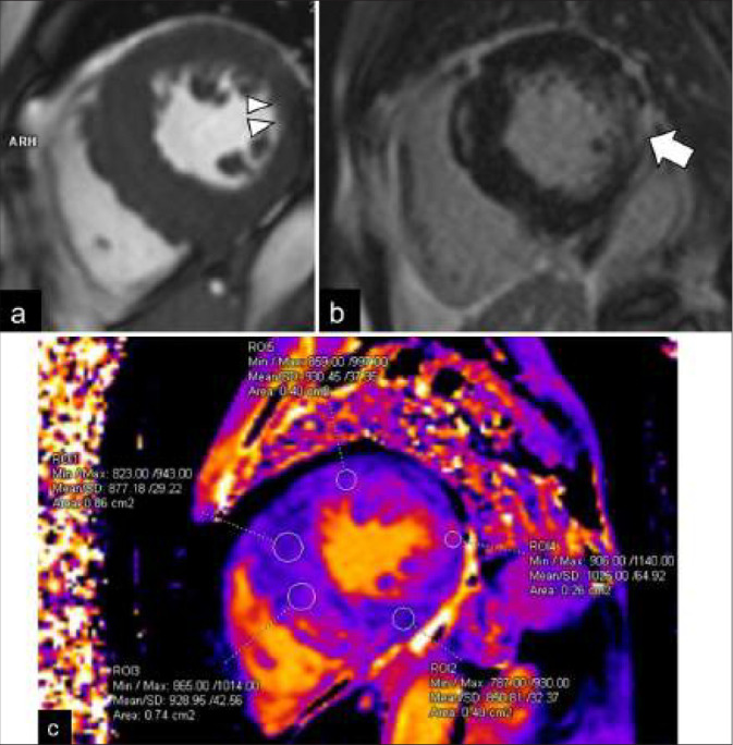
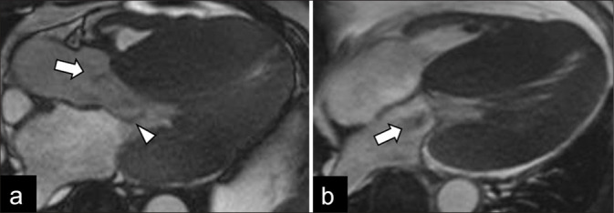
Fabry disease (FD) is a rare X-linked lysosomal storage disorder. Cardiac involvement is frequent in the classic phenotype and late-onset cardiac variant of FD. It is challenging to distinguish FD cardiomyopathy from other forms of unexplained left ventricular hypertrophy, especially in those patients without extracardiac manifestations. Cardiac magnetic resonance imaging is an essential imaging modality for the quantitative and qualitative assessment of FD cardiomyopathy. It helps to monitor disease progress and allows early disease detection in the mild form or subclinical cardiac phenotypes. This review illustrates the characteristic imaging features of FD cardiomyopathy in cardiac MRI, aiming to enhance the awareness of this disease entity among the scope of unexplained cardiomyopathy and promote timely enzyme replacement therapy for patients.

Abstract Image

Abstract Image

Abstract Image

法布里病的心脏磁共振成像。
法布里病(FD)是一种罕见的x连锁溶酶体储存疾病。在FD的经典表型和迟发性心脏变异中,心脏受累是常见的。将FD心肌病与其他形式的无法解释的左心室肥厚区分是具有挑战性的,特别是在那些没有心外表现的患者中。心脏磁共振成像是定量和定性评价FD心肌病的重要影像学手段。它有助于监测疾病进展,并允许在轻度形式或亚临床心脏表型的早期疾病检测。本文综述FD型心肌病在心脏MRI上的特征性影像学特征,旨在提高对不明原因心肌病范围内FD型心肌病的认识,促进患者及时进行酶替代治疗。
本文章由计算机程序翻译,如有差异,请以英文原文为准。
求助全文
约1分钟内获得全文 求助全文
来源期刊
Journal of Clinical Imaging Science
Journal of Clinical Imaging Science RADIOLOGY, NUCLEAR MEDICINE & MEDICAL IMAGING-
CiteScore
2.00
自引率
0.00%
发文量
65
期刊介绍: The Journal of Clinical Imaging Science (JCIS) is an open access peer-reviewed journal committed to publishing high-quality articles in the field of Imaging Science. The journal aims to present Imaging Science and relevant clinical information in an understandable and useful format. The journal is owned and published by the Scientific Scholar. Audience Our audience includes Radiologists, Researchers, Clinicians, medical professionals and students. Review process JCIS has a highly rigorous peer-review process that makes sure that manuscripts are scientifically accurate, relevant, novel and important. Authors disclose all conflicts, affiliations and financial associations such that the published content is not biased.
×
引用
GB/T 7714-2015
复制
MLA
复制
APA
复制
导出至
BibTeX EndNote RefMan NoteFirst NoteExpress
×
提示
您的信息不完整,为了账户安全,请先补充。
现在去补充
×
提示
您因"违规操作"
具体请查看互助需知
我知道了
×
提示
确定
请完成安全验证×
copy
已复制链接
快去分享给好友吧!
我知道了
右上角分享
点击右上角分享
0
联系我们:info@booksci.cn Book学术提供免费学术资源搜索服务,方便国内外学者检索中英文文献。致力于提供最便捷和优质的服务体验。 Copyright © 2023 布克学术 All rights reserved.
京ICP备2023020795号-1
ghs 京公网安备 11010802042870号
Book学术文献互助
Book学术文献互助群
群 号:604180095
Book学术官方微信