Metastatic Lung Adenocarcinoma Presenting With Cavitary and Consolidative Lung Findings: A Diagnostic Dilemma.

IF 0.6 Q4 ONCOLOGY
Case Reports in Oncological Medicine Pub Date : 2025-07-17 eCollection Date: 2025-01-01 DOI:10.1155/crom/5007092
Abdalhakim Shubietah, Omar Hamadi, Mahmoud Doudein, Malak Ramzy Hroub, Muath Baniowda, Amer Abu-Shanab, Khalil Karim, Suliman Hamadneh
{"title":"Metastatic Lung Adenocarcinoma Presenting With Cavitary and Consolidative Lung Findings: A Diagnostic Dilemma.","authors":"Abdalhakim Shubietah, Omar Hamadi, Mahmoud Doudein, Malak Ramzy Hroub, Muath Baniowda, Amer Abu-Shanab, Khalil Karim, Suliman Hamadneh","doi":"10.1155/crom/5007092","DOIUrl":null,"url":null,"abstract":"<p><p><b>Introduction:</b> Lung cancer is the leading cause of cancer-related mortality, with non-small cell lung cancer (NSCLC) accounting for 85% of cases. Lung adenocarcinoma, the most common subtype, can mimic benign conditions like pneumonia, lung abscess, and interstitial lung disease due to its varied radiologic presentations and associated inflammation and fibrosis. This similarity can delay diagnosis, emphasizing the need for imaging and histopathological confirmation. <b>Case Presentation:</b> A 58-year-old male with a significant smoking history, hypertension, and GERD presented with a 5-month history of episodic epigastric pain, exacerbated by heavy meals, along with progressive respiratory symptoms, including shortness of breath, dry cough, and a 20-kg weight loss over 3 months. Upper endoscopy revealed gastric ulcers, a hiatal hernia, esophageal mucosal changes consistent with GERD, and <i>Helicobacter pylori</i> infection on biopsy, which was treated with triple therapy, resolving his gastrointestinal symptoms. However, his respiratory symptoms worsened, with increased dyspnea at rest, pleuritic chest pain, and a persistent cough. Chest CT showed multiple cavitating lung nodules, architectural distortion predominantly in the upper lobes, a large irregular lesion in the right lower lobe, and enlarged paratracheal, subcarinal, and distal paraesophageal lymph nodes. The patient was transferred to our facility for further evaluation. Whole-body CT revealed widespread bilateral cavitary lesions, lymphadenopathy, and a small hiatal hernia. Bronchoscopy with biopsy confirmed metastatic lung adenocarcinoma, with histopathology showing moderately differentiated adenocarcinoma, positive for TTF-1 and Napsin A and negative for PAX8. Cytology from bronchoalveolar lavage also confirmed malignancy, and PD-L1 immunostaining showed weak positivity in 15%-20% of tumor cells. The patient was diagnosed with metastatic lung adenocarcinoma and initiated on carboplatin and pemetrexed chemotherapy. Molecular testing was planned, and he was discharged for follow-up care. <b>Conclusion:</b> Our case of a 58-year-old male with cavitating lung nodules, significant weight loss, and progressive respiratory symptoms, initially misattributed to gastrointestinal disease, highlights the diagnostic complexity of lung adenocarcinoma. The biopsy-confirmed diagnosis of metastatic adenocarcinoma underscores the need for clinicians to maintain a high index of suspicion for malignancy in patients with atypical or nonspecific presentations. Early tissue diagnosis is crucial for timely treatment and improved outcomes, especially in cases involving cavitary lesions or persistent, unexplained symptoms.</p>","PeriodicalId":9636,"journal":{"name":"Case Reports in Oncological Medicine","volume":"2025 ","pages":"5007092"},"PeriodicalIF":0.6000,"publicationDate":"2025-07-17","publicationTypes":"Journal Article","fieldsOfStudy":null,"isOpenAccess":false,"openAccessPdf":"https://www.ncbi.nlm.nih.gov/pmc/articles/PMC12289355/pdf/","citationCount":"0","resultStr":null,"platform":"Semanticscholar","paperid":null,"PeriodicalName":"Case Reports in Oncological Medicine","FirstCategoryId":"1085","ListUrlMain":"https://doi.org/10.1155/crom/5007092","RegionNum":0,"RegionCategory":null,"ArticlePicture":[],"TitleCN":null,"AbstractTextCN":null,"PMCID":null,"EPubDate":"2025/1/1 0:00:00","PubModel":"eCollection","JCR":"Q4","JCRName":"ONCOLOGY","Score":null,"Total":0}
引用次数: 0

Abstract

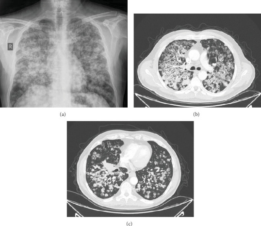
Introduction: Lung cancer is the leading cause of cancer-related mortality, with non-small cell lung cancer (NSCLC) accounting for 85% of cases. Lung adenocarcinoma, the most common subtype, can mimic benign conditions like pneumonia, lung abscess, and interstitial lung disease due to its varied radiologic presentations and associated inflammation and fibrosis. This similarity can delay diagnosis, emphasizing the need for imaging and histopathological confirmation. Case Presentation: A 58-year-old male with a significant smoking history, hypertension, and GERD presented with a 5-month history of episodic epigastric pain, exacerbated by heavy meals, along with progressive respiratory symptoms, including shortness of breath, dry cough, and a 20-kg weight loss over 3 months. Upper endoscopy revealed gastric ulcers, a hiatal hernia, esophageal mucosal changes consistent with GERD, and Helicobacter pylori infection on biopsy, which was treated with triple therapy, resolving his gastrointestinal symptoms. However, his respiratory symptoms worsened, with increased dyspnea at rest, pleuritic chest pain, and a persistent cough. Chest CT showed multiple cavitating lung nodules, architectural distortion predominantly in the upper lobes, a large irregular lesion in the right lower lobe, and enlarged paratracheal, subcarinal, and distal paraesophageal lymph nodes. The patient was transferred to our facility for further evaluation. Whole-body CT revealed widespread bilateral cavitary lesions, lymphadenopathy, and a small hiatal hernia. Bronchoscopy with biopsy confirmed metastatic lung adenocarcinoma, with histopathology showing moderately differentiated adenocarcinoma, positive for TTF-1 and Napsin A and negative for PAX8. Cytology from bronchoalveolar lavage also confirmed malignancy, and PD-L1 immunostaining showed weak positivity in 15%-20% of tumor cells. The patient was diagnosed with metastatic lung adenocarcinoma and initiated on carboplatin and pemetrexed chemotherapy. Molecular testing was planned, and he was discharged for follow-up care. Conclusion: Our case of a 58-year-old male with cavitating lung nodules, significant weight loss, and progressive respiratory symptoms, initially misattributed to gastrointestinal disease, highlights the diagnostic complexity of lung adenocarcinoma. The biopsy-confirmed diagnosis of metastatic adenocarcinoma underscores the need for clinicians to maintain a high index of suspicion for malignancy in patients with atypical or nonspecific presentations. Early tissue diagnosis is crucial for timely treatment and improved outcomes, especially in cases involving cavitary lesions or persistent, unexplained symptoms.

Abstract Image

转移性肺腺癌表现为空腔性和实变性肺表现:诊断困境。
肺癌是癌症相关死亡的主要原因,其中非小细胞肺癌(NSCLC)占85%。肺腺癌是最常见的亚型,由于其不同的影像学表现和相关的炎症和纤维化,可以模拟良性疾病,如肺炎、肺脓肿和间质性肺疾病。这种相似性可以延迟诊断,强调需要影像学和组织病理学证实。病例介绍:一名58岁男性,有明显的吸烟史、高血压和胃反流,有5个月的发作性胃脘痛病史,伴进行性呼吸症状,包括呼吸短促、干咳,3个月内体重减轻20公斤。胃镜检查显示胃溃疡,裂孔疝,食管黏膜改变符合胃食管反流,活检显示幽门螺杆菌感染,经三联治疗,胃肠道症状得到缓解。然而,他的呼吸系统症状恶化,休息时呼吸困难加重,胸膜炎性胸痛和持续咳嗽。胸部CT示多发空化性肺结节,结构扭曲以上肺叶为主,右下肺叶不规则大灶,气管旁、隆突下及食管旁远端淋巴结肿大。病人被转移到我们的机构做进一步的评估。全身CT显示广泛的双侧空洞病变,淋巴结病变和小裂孔疝。支气管镜活检证实转移性肺腺癌,组织病理学显示中度分化腺癌,TTF-1和Napsin A阳性,PAX8阴性。支气管肺泡灌洗细胞学也证实为恶性,PD-L1免疫染色显示15%-20%的肿瘤细胞弱阳性。患者被诊断为转移性肺腺癌,并开始卡铂和培美曲塞化疗。计划进行分子检测,出院随访。结论:我们的病例是一名58岁男性,伴有肺空化结节,体重明显减轻,并伴有进行性呼吸道症状,最初被误认为是胃肠道疾病,突出了肺腺癌诊断的复杂性。活检证实的转移性腺癌的诊断强调了临床医生对非典型或非特异性表现患者的恶性肿瘤保持高度怀疑的必要性。早期组织诊断对于及时治疗和改善结果至关重要,特别是在涉及空洞病变或持续,无法解释的症状的病例中。
本文章由计算机程序翻译,如有差异,请以英文原文为准。
求助全文
约1分钟内获得全文 求助全文
来源期刊
自引率
0.00%
发文量
11
审稿时长
16 weeks
期刊介绍: Case Reports in Oncological Medicine is a peer-reviewed, Open Access journal that publishes case reports and case series related to breast cancer, lung cancer, gastrointestinal cancer, skin cancer, head and neck cancer, paediatric oncology, neurooncology as well as genitourinary cancer.
×
引用
GB/T 7714-2015
复制
MLA
复制
APA
复制
导出至
BibTeX EndNote RefMan NoteFirst NoteExpress
×
提示
您的信息不完整,为了账户安全,请先补充。
现在去补充
×
提示
您因"违规操作"
具体请查看互助需知
我知道了
×
提示
确定
请完成安全验证×
copy
已复制链接
快去分享给好友吧!
我知道了
右上角分享
点击右上角分享
0
联系我们:info@booksci.cn Book学术提供免费学术资源搜索服务,方便国内外学者检索中英文文献。致力于提供最便捷和优质的服务体验。 Copyright © 2023 布克学术 All rights reserved.
京ICP备2023020795号-1
ghs 京公网安备 11010802042870号
Book学术文献互助
Book学术文献互助群
群 号:604180095
Book学术官方微信