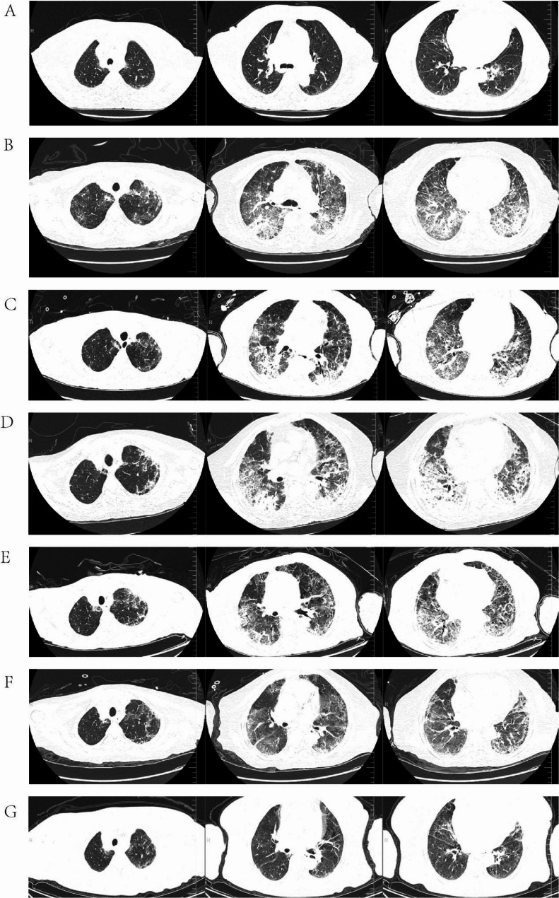
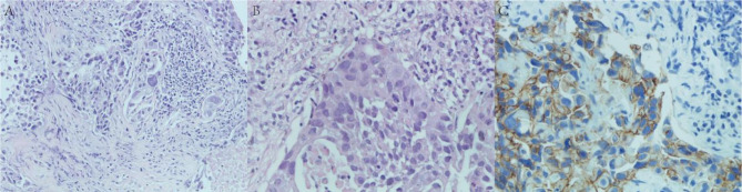
Interstitial lung disease induced by Toripalimab combined with disitamab Vedotin in upper tract urothelial carcinoma: a case report and literature review.

IF 2.8 3区 医学 Q2 RESPIRATORY SYSTEM
Peng Ding, Huanhuan Lin, Kaichen Zhang, Qian Yang, Peiyang Gao
{"title":"Interstitial lung disease induced by Toripalimab combined with disitamab Vedotin in upper tract urothelial carcinoma: a case report and literature review.","authors":"Peng Ding, Huanhuan Lin, Kaichen Zhang, Qian Yang, Peiyang Gao","doi":"10.1186/s12890-025-03838-z","DOIUrl":null,"url":null,"abstract":"","PeriodicalId":9148,"journal":{"name":"BMC Pulmonary Medicine","volume":"25 1","pages":"351"},"PeriodicalIF":2.8000,"publicationDate":"2025-07-24","publicationTypes":"Journal Article","fieldsOfStudy":null,"isOpenAccess":false,"openAccessPdf":"https://www.ncbi.nlm.nih.gov/pmc/articles/PMC12288240/pdf/","citationCount":"0","resultStr":null,"platform":"Semanticscholar","paperid":null,"PeriodicalName":"BMC Pulmonary Medicine","FirstCategoryId":"3","ListUrlMain":"https://doi.org/10.1186/s12890-025-03838-z","RegionNum":3,"RegionCategory":"医学","ArticlePicture":[],"TitleCN":null,"AbstractTextCN":null,"PMCID":null,"EPubDate":"","PubModel":"","JCR":"Q2","JCRName":"RESPIRATORY SYSTEM","Score":null,"Total":0}
引用次数: 0

Abstract Image

Abstract Image

托利帕利单抗联合地西他单维多汀治疗上尿路上皮癌致间质性肺病1例并文献复习。
本文章由计算机程序翻译,如有差异,请以英文原文为准。
求助全文
约1分钟内获得全文 求助全文
来源期刊
BMC Pulmonary Medicine
BMC Pulmonary Medicine RESPIRATORY SYSTEM-
CiteScore
4.40
自引率
3.20%
发文量
423
审稿时长
6-12 weeks
期刊介绍: BMC Pulmonary Medicine is an open access, peer-reviewed journal that considers articles on all aspects of the prevention, diagnosis and management of pulmonary and associated disorders, as well as related molecular genetics, pathophysiology, and epidemiology.
×
引用
GB/T 7714-2015
复制
MLA
复制
APA
复制
导出至
BibTeX EndNote RefMan NoteFirst NoteExpress
×
提示
您的信息不完整,为了账户安全,请先补充。
现在去补充
×
提示
您因"违规操作"
具体请查看互助需知
我知道了
×
提示
确定
请完成安全验证×
copy
已复制链接
快去分享给好友吧!
我知道了
右上角分享
点击右上角分享
0
联系我们:info@booksci.cn Book学术提供免费学术资源搜索服务,方便国内外学者检索中英文文献。致力于提供最便捷和优质的服务体验。 Copyright © 2023 布克学术 All rights reserved.
京ICP备2023020795号-1
ghs 京公网安备 11010802042870号
Book学术文献互助
Book学术文献互助群
群 号:604180095
Book学术官方微信