Tibial osteitis caused by Mycobacterium tuberculosis.

Access microbiology Pub Date : 2025-07-17 eCollection Date: 2025-01-01 DOI:10.1099/acmi.0.000960.v4
Marwa Benjelloun, Naji Tijani, Yassine BenLahlou, Elmostafa Benaissa, Mariama Chadli
{"title":"Tibial osteitis caused by Mycobacterium tuberculosis.","authors":"Marwa Benjelloun, Naji Tijani, Yassine BenLahlou, Elmostafa Benaissa, Mariama Chadli","doi":"10.1099/acmi.0.000960.v4","DOIUrl":null,"url":null,"abstract":"<p><p>Tuberculosis is a major scourge, posing a serious public health problem in countries where it is endemic. Osteoarticular involvement accounts for 3-5% of all tuberculosis cases and 10-15% of extrapulmonary tuberculosis cases. We report a case of tibial osteitis caused by <i>Mycobacterium tuberculosis</i> in a 52-year-old female patient who presented to the trauma department at the Mohammed V Military Teaching Hospital with a painful swelling of the lower part of her left leg. Standard X-rays and computed tomography scans revealed bone involvement, specifically in the tibia. Additional investigations revealed pulmonary consolidation and splenic nodules. Microscopy (Ziehl-Neelsen staining), GeneXpert MTB/RIF and histopathological examination all returned positive results for <i>M. tuberculosis</i>. In an endemic context, any persistent and atypical bone lesion should raise suspicion of osteoarticular tuberculosis to enable rapid diagnosis and appropriate therapeutic management. In the absence of malignant tumours and other differential diagnoses, the diagnosis of skeletal tuberculosis must be considered, even in the absence of specific clinical signs.</p>","PeriodicalId":94366,"journal":{"name":"Access microbiology","volume":"7 7","pages":""},"PeriodicalIF":0.0000,"publicationDate":"2025-07-17","publicationTypes":"Journal Article","fieldsOfStudy":null,"isOpenAccess":false,"openAccessPdf":"https://www.ncbi.nlm.nih.gov/pmc/articles/PMC12284410/pdf/","citationCount":"0","resultStr":null,"platform":"Semanticscholar","paperid":null,"PeriodicalName":"Access microbiology","FirstCategoryId":"1085","ListUrlMain":"https://doi.org/10.1099/acmi.0.000960.v4","RegionNum":0,"RegionCategory":null,"ArticlePicture":[],"TitleCN":null,"AbstractTextCN":null,"PMCID":null,"EPubDate":"2025/1/1 0:00:00","PubModel":"eCollection","JCR":"","JCRName":"","Score":null,"Total":0}
引用次数: 0

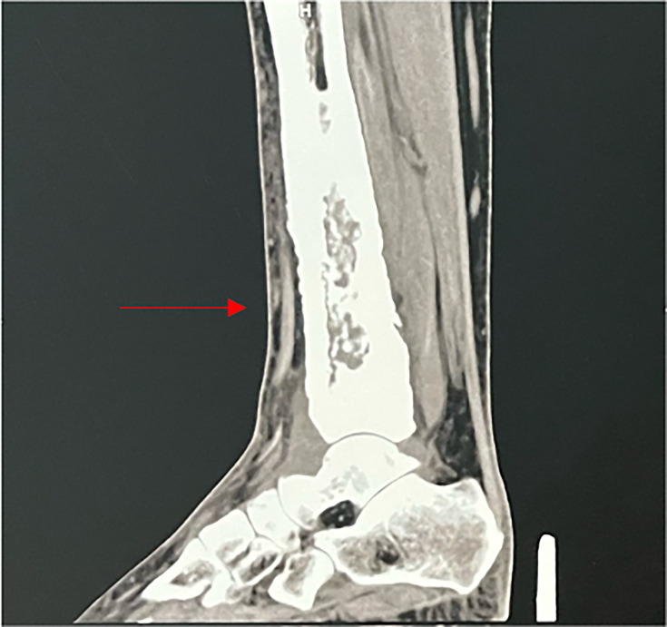
Abstract

Tuberculosis is a major scourge, posing a serious public health problem in countries where it is endemic. Osteoarticular involvement accounts for 3-5% of all tuberculosis cases and 10-15% of extrapulmonary tuberculosis cases. We report a case of tibial osteitis caused by Mycobacterium tuberculosis in a 52-year-old female patient who presented to the trauma department at the Mohammed V Military Teaching Hospital with a painful swelling of the lower part of her left leg. Standard X-rays and computed tomography scans revealed bone involvement, specifically in the tibia. Additional investigations revealed pulmonary consolidation and splenic nodules. Microscopy (Ziehl-Neelsen staining), GeneXpert MTB/RIF and histopathological examination all returned positive results for M. tuberculosis. In an endemic context, any persistent and atypical bone lesion should raise suspicion of osteoarticular tuberculosis to enable rapid diagnosis and appropriate therapeutic management. In the absence of malignant tumours and other differential diagnoses, the diagnosis of skeletal tuberculosis must be considered, even in the absence of specific clinical signs.

Abstract Image

Abstract Image

Abstract Image

由结核分枝杆菌引起的胫骨骨炎。
结核病是一种主要祸害,在结核病流行的国家构成严重的公共卫生问题。骨关节受累占所有结核病例的3-5%,占肺外结核病例的10-15%。我们报告一例由结核分枝杆菌引起的胫骨骨炎,患者是一名52岁的女性患者,她在穆罕默德五世军事教学医院的创伤科就诊,左腿下部疼痛肿胀。标准x光和计算机断层扫描显示骨骼受累,特别是在胫骨。进一步检查显示肺实变和脾结节。显微镜检查(Ziehl-Neelsen染色)、GeneXpert MTB/RIF和组织病理学检查均为结核分枝杆菌阳性。在地方性的情况下,任何持续和非典型的骨病变都应引起对骨关节结核的怀疑,以便快速诊断和适当的治疗管理。在没有恶性肿瘤和其他鉴别诊断的情况下,即使没有具体的临床体征,也必须考虑骨结核的诊断。
本文章由计算机程序翻译,如有差异,请以英文原文为准。
求助全文
约1分钟内获得全文 求助全文
来源期刊
CiteScore
2.00
自引率
0.00%
发文量
0
×
引用
GB/T 7714-2015
复制
MLA
复制
APA
复制
导出至
BibTeX EndNote RefMan NoteFirst NoteExpress
×
提示
您的信息不完整,为了账户安全,请先补充。
现在去补充
×
提示
您因"违规操作"
具体请查看互助需知
我知道了
×
提示
确定
请完成安全验证×
copy
已复制链接
快去分享给好友吧!
我知道了
右上角分享
点击右上角分享
0
联系我们:info@booksci.cn Book学术提供免费学术资源搜索服务,方便国内外学者检索中英文文献。致力于提供最便捷和优质的服务体验。 Copyright © 2023 布克学术 All rights reserved.
京ICP备2023020795号-1
ghs 京公网安备 11010802042870号
Book学术文献互助
Book学术文献互助群
群 号:604180095
Book学术官方微信