Bilateral tuberculous psoas abscesses in an immunocompetent patient: a case report and review of the literature.

Access microbiology Pub Date : 2025-07-18 eCollection Date: 2025-01-01 DOI:10.1099/acmi.0.001003.v4
Hamid Laatiris, Hajar Zouaki, Yassine Benlahlou, Benaissa Elmostapha, Mariama Chadli
{"title":"Bilateral tuberculous psoas abscesses in an immunocompetent patient: a case report and review of the literature.","authors":"Hamid Laatiris, Hajar Zouaki, Yassine Benlahlou, Benaissa Elmostapha, Mariama Chadli","doi":"10.1099/acmi.0.001003.v4","DOIUrl":null,"url":null,"abstract":"<p><p>Psoas abscess is a rare infection historically associated with tuberculosis (TB), although non-tuberculous bacterial causes, particularly <i>Staphylococcus aureus,</i> have become increasingly common. This type of abscess can be either primary or secondary, and its diagnosis remains challenging due to the non-specific nature of clinical signs. Imaging and microbiological analyses are essential for establishing the diagnosis. We report the case of a 22-year-old patient with no significant medical history, who presented with persistent mechanical low back pain for 18 months. Initial computed tomography revealed a non-compressive disc protrusion, leading to treatment with non-steroidal anti-inflammatory drugs, without improvement. Further investigations revealed an extrapulmonary spinal localization of TB in an immunocompetent patient, with bilateral psoas abscesses caused by <i>Mycobacterium tuberculosis</i>, confirmed by the Ziehl-Neelsen staining, auramine staining, culture on Löwenstein-Jensen medium and GeneXpert PCR. Anti-TB treatment was initiated, resulting in favourable clinical evolution.</p>","PeriodicalId":94366,"journal":{"name":"Access microbiology","volume":"7 7","pages":""},"PeriodicalIF":0.0000,"publicationDate":"2025-07-18","publicationTypes":"Journal Article","fieldsOfStudy":null,"isOpenAccess":false,"openAccessPdf":"https://www.ncbi.nlm.nih.gov/pmc/articles/PMC12284409/pdf/","citationCount":"0","resultStr":null,"platform":"Semanticscholar","paperid":null,"PeriodicalName":"Access microbiology","FirstCategoryId":"1085","ListUrlMain":"https://doi.org/10.1099/acmi.0.001003.v4","RegionNum":0,"RegionCategory":null,"ArticlePicture":[],"TitleCN":null,"AbstractTextCN":null,"PMCID":null,"EPubDate":"2025/1/1 0:00:00","PubModel":"eCollection","JCR":"","JCRName":"","Score":null,"Total":0}
引用次数: 0

Abstract

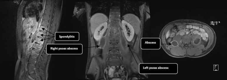
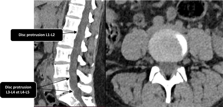
Psoas abscess is a rare infection historically associated with tuberculosis (TB), although non-tuberculous bacterial causes, particularly Staphylococcus aureus, have become increasingly common. This type of abscess can be either primary or secondary, and its diagnosis remains challenging due to the non-specific nature of clinical signs. Imaging and microbiological analyses are essential for establishing the diagnosis. We report the case of a 22-year-old patient with no significant medical history, who presented with persistent mechanical low back pain for 18 months. Initial computed tomography revealed a non-compressive disc protrusion, leading to treatment with non-steroidal anti-inflammatory drugs, without improvement. Further investigations revealed an extrapulmonary spinal localization of TB in an immunocompetent patient, with bilateral psoas abscesses caused by Mycobacterium tuberculosis, confirmed by the Ziehl-Neelsen staining, auramine staining, culture on Löwenstein-Jensen medium and GeneXpert PCR. Anti-TB treatment was initiated, resulting in favourable clinical evolution.

Abstract Image

Abstract Image

Abstract Image

免疫功能正常患者双侧腰大肌结核性脓肿一例报告及文献复习。
腰肌脓肿是一种罕见的与结核病(TB)相关的感染,尽管非结核性细菌原因,特别是金黄色葡萄球菌,已经变得越来越普遍。这种类型的脓肿可以是原发性或继发性的,由于临床症状的非特异性,其诊断仍然具有挑战性。影像学和微生物学分析是确定诊断的必要条件。我们报告一例22岁无明显病史的患者,表现为持续的机械性腰痛18个月。最初的计算机断层扫描显示非压缩性椎间盘突出,导致使用非甾体抗炎药物治疗,没有改善。进一步的调查显示,一名免疫正常的患者肺外脊柱结核定位,双侧腰肌脓肿由结核分枝杆菌引起,经Ziehl-Neelsen染色、auramine染色、Löwenstein-Jensen培养基培养和GeneXpert PCR证实。开展了抗结核治疗,取得了有利的临床进展。
本文章由计算机程序翻译,如有差异,请以英文原文为准。
求助全文
约1分钟内获得全文 求助全文
来源期刊
CiteScore
2.00
自引率
0.00%
发文量
0
×
引用
GB/T 7714-2015
复制
MLA
复制
APA
复制
导出至
BibTeX EndNote RefMan NoteFirst NoteExpress
×
提示
您的信息不完整,为了账户安全,请先补充。
现在去补充
×
提示
您因"违规操作"
具体请查看互助需知
我知道了
×
提示
确定
请完成安全验证×
copy
已复制链接
快去分享给好友吧!
我知道了
右上角分享
点击右上角分享
0
联系我们:info@booksci.cn Book学术提供免费学术资源搜索服务,方便国内外学者检索中英文文献。致力于提供最便捷和优质的服务体验。 Copyright © 2023 布克学术 All rights reserved.
京ICP备2023020795号-1
ghs 京公网安备 11010802042870号
Book学术文献互助
Book学术文献互助群
群 号:604180095
Book学术官方微信