Extraovarian Brenner Tumor in the Vagina: A Case Report and Review of Literature.

IF 0.8 Q3 MEDICINE, GENERAL & INTERNAL
Angel Yordanov, Milen Karaivanov, Stoyan Kostov, Vanya Savova, Vasilena Dimitrova
{"title":"Extraovarian Brenner Tumor in the Vagina: A Case Report and Review of Literature.","authors":"Angel Yordanov, Milen Karaivanov, Stoyan Kostov, Vanya Savova, Vasilena Dimitrova","doi":"10.3390/reports8030103","DOIUrl":null,"url":null,"abstract":"<p><p><b>Background and Clinical Significance:</b> Brenner tumors are rare epithelial tumors that can occur in both males and females. They consist of ovarian transition cells surrounded by dense fibrous tissue and can be classified as benign, borderline, or malignant. While most commonly found in the ovary, extraovarian Brenner tumors (EOBTs) have been reported in the uterus, vagina, broad ligament, and omentum. <b>Case Presentation:</b> A 71-year-old postmenopausal woman presented with a polypous formation on the upper third of the posterior vaginal wall, which was found at a routine health check. Macroscopically, the lesion appeared as a solid, polypoid mass with a yellowish-gray cut surface, measuring approximately 25 × 20 mm. Histological examination revealed a polypoid formation covered by stratified squamous epithelium, with a dense fibrous stroma (Van Gieson [VG]+) and tubular structures lined by clear epithelial cells. Parenchymal cells showed low proliferative activity, with Ki-67 expression in less than 5% of cells, also Cytokeratin (CK) 7/+/p63:/+/ CK AE1/AE3: /+/ Estrogen Receptor (ER): /+/ and Progesterone Receptor (PR)/-/; CK20/-/; p53/-/, Wilms' Tumor (WT)-1/-/; Prostate-Specific Acid Phosphatase (PSAP)/-/. The final diagnosis was an extraovarian Brenner tumor. The patient was monitored for two months post-excision, with no signs of recurrence. <b>Conclusions:</b> EOBTs are extremely rarely seen and vaginal involvement is far less common. Due to their rarity, these tumors may be confused with other benign or malignant vaginal lesions. In order to differentiate EOBTs from other neoplasms, histological analysis is crucial due to their characteristic transitional-type epithelium and large fibrous stroma. Further studies are required to understand the origin and clinical behavior of EOBTs. Long-term monitoring should be performed to look for any recurrence or malignant change, even though benign Brenner tumors usually have a good prognosis. Awareness of EOBTs and their possible locations is essential for accurate diagnosis and appropriate management.</p>","PeriodicalId":74664,"journal":{"name":"Reports (MDPI)","volume":"8 3","pages":""},"PeriodicalIF":0.8000,"publicationDate":"2025-06-29","publicationTypes":"Journal Article","fieldsOfStudy":null,"isOpenAccess":false,"openAccessPdf":"https://www.ncbi.nlm.nih.gov/pmc/articles/PMC12265999/pdf/","citationCount":"0","resultStr":null,"platform":"Semanticscholar","paperid":null,"PeriodicalName":"Reports (MDPI)","FirstCategoryId":"1085","ListUrlMain":"https://doi.org/10.3390/reports8030103","RegionNum":0,"RegionCategory":null,"ArticlePicture":[],"TitleCN":null,"AbstractTextCN":null,"PMCID":null,"EPubDate":"","PubModel":"","JCR":"Q3","JCRName":"MEDICINE, GENERAL & INTERNAL","Score":null,"Total":0}
引用次数: 0

Abstract

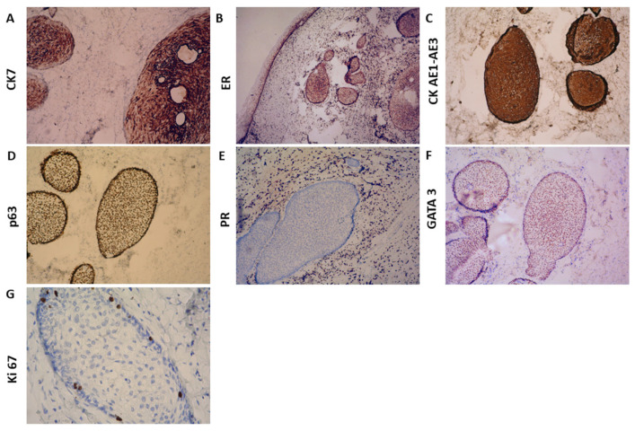
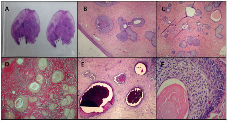
Background and Clinical Significance: Brenner tumors are rare epithelial tumors that can occur in both males and females. They consist of ovarian transition cells surrounded by dense fibrous tissue and can be classified as benign, borderline, or malignant. While most commonly found in the ovary, extraovarian Brenner tumors (EOBTs) have been reported in the uterus, vagina, broad ligament, and omentum. Case Presentation: A 71-year-old postmenopausal woman presented with a polypous formation on the upper third of the posterior vaginal wall, which was found at a routine health check. Macroscopically, the lesion appeared as a solid, polypoid mass with a yellowish-gray cut surface, measuring approximately 25 × 20 mm. Histological examination revealed a polypoid formation covered by stratified squamous epithelium, with a dense fibrous stroma (Van Gieson [VG]+) and tubular structures lined by clear epithelial cells. Parenchymal cells showed low proliferative activity, with Ki-67 expression in less than 5% of cells, also Cytokeratin (CK) 7/+/p63:/+/ CK AE1/AE3: /+/ Estrogen Receptor (ER): /+/ and Progesterone Receptor (PR)/-/; CK20/-/; p53/-/, Wilms' Tumor (WT)-1/-/; Prostate-Specific Acid Phosphatase (PSAP)/-/. The final diagnosis was an extraovarian Brenner tumor. The patient was monitored for two months post-excision, with no signs of recurrence. Conclusions: EOBTs are extremely rarely seen and vaginal involvement is far less common. Due to their rarity, these tumors may be confused with other benign or malignant vaginal lesions. In order to differentiate EOBTs from other neoplasms, histological analysis is crucial due to their characteristic transitional-type epithelium and large fibrous stroma. Further studies are required to understand the origin and clinical behavior of EOBTs. Long-term monitoring should be performed to look for any recurrence or malignant change, even though benign Brenner tumors usually have a good prognosis. Awareness of EOBTs and their possible locations is essential for accurate diagnosis and appropriate management.

Abstract Image

Abstract Image

Abstract Image

阴道卵巢外勃勒纳瘤1例报告及文献复习。
背景及临床意义:勃勒纳瘤是一种罕见的上皮性肿瘤,男性和女性均可发生。它们由被致密纤维组织包围的卵巢过渡细胞组成,可分为良性、交界性和恶性。虽然最常见于卵巢,但卵巢外布伦纳瘤(EOBTs)也见于子宫、阴道、阔韧带和大网膜。病例介绍:一位71岁的绝经后妇女,在常规健康检查中发现阴道后壁上三分之一处有息肉形成。宏观上,病变表现为一个实心的息肉样肿块,表面呈黄灰色,尺寸约为25 × 20 mm。组织学检查显示息肉样结构被层状鳞状上皮覆盖,具有致密的纤维间质(Van Gieson [VG]+)和由透明上皮细胞排列的管状结构。实质细胞增殖活性低,表达Ki-67的细胞不到5%,表达细胞角蛋白(CK) 7/+/p63:/+/ CK: AE1/AE3: /+/雌激素受体(ER): /+/和孕激素受体(PR):/ -/;CK20 /——/;p53/-/, Wilms' Tumor (WT)-1/-/;前列腺特异性酸性磷酸酶(PSAP)/-/。最后的诊断是卵巢外勃勒纳瘤。术后随访2个月,无复发迹象。结论:EOBTs极为罕见,且累及阴道的情况较少见。由于其罕见,这些肿瘤可能与其他良性或恶性阴道病变混淆。为了将EOBTs与其他肿瘤区分开来,组织学分析是至关重要的,因为它们具有移行型上皮和大纤维间质的特征。eobt的起源和临床行为有待进一步研究。即使良性勃勒纳瘤通常预后良好,也应进行长期监测以寻找任何复发或恶性变化。了解EOBTs及其可能的位置对于准确诊断和适当管理至关重要。
本文章由计算机程序翻译,如有差异,请以英文原文为准。
求助全文
约1分钟内获得全文 求助全文
来源期刊
自引率
0.00%
发文量
0
审稿时长
11 weeks
×
引用
GB/T 7714-2015
复制
MLA
复制
APA
复制
导出至
BibTeX EndNote RefMan NoteFirst NoteExpress
×
提示
您的信息不完整,为了账户安全,请先补充。
现在去补充
×
提示
您因"违规操作"
具体请查看互助需知
我知道了
×
提示
确定
请完成安全验证×
copy
已复制链接
快去分享给好友吧!
我知道了
右上角分享
点击右上角分享
0
联系我们:info@booksci.cn Book学术提供免费学术资源搜索服务,方便国内外学者检索中英文文献。致力于提供最便捷和优质的服务体验。 Copyright © 2023 布克学术 All rights reserved.
京ICP备2023020795号-1
ghs 京公网安备 11010802042870号
Book学术文献互助
Book学术文献互助群
群 号:604180095
Book学术官方微信