Septic cerebral embolism following lumbar spine surgery in a 69-year-old man with a lumbar epidural abscess in Korea: a case report.

IF 0.2 Q3 MEDICINE, GENERAL & INTERNAL
Ewha Medical Journal Pub Date : 2024-10-01 Epub Date: 2024-10-31 DOI:10.12771/emj.2024.e57
Yo Seob Lee
{"title":"Septic cerebral embolism following lumbar spine surgery in a 69-year-old man with a lumbar epidural abscess in Korea: a case report.","authors":"Yo Seob Lee","doi":"10.12771/emj.2024.e57","DOIUrl":null,"url":null,"abstract":"<p><p>Septic embolism and stroke are serious complications in patients with sepsis and often necessitate urgent surgical intervention to control the source of infection. A 69-year-old man presented with severe pain in his back and left thigh. MRI revealed extensive posterior epidural or subdural abscesses extending from the cervical to the lumbar level, as well as an abscess in the iliopsoas muscle. The patient underwent urgent drainage of the abscesses and decompression of the lumbar spine. Postoperatively, he developed sudden-onset atrial fibrillation and altered mental status. Brain CT showed multiple embolic infarctions. His condition deteriorated due to persistent infection, leading to disseminated intravascular coagulation, acute kidney injury, and septic shock. This case highlights the risk of cerebral embolism and hemorrhagic complications in patients with sepsis who undergo surgery. Early recognition of individuals at high risk and comprehensive perioperative management are critical to reducing the likelihood of such complications.</p>","PeriodicalId":41392,"journal":{"name":"Ewha Medical Journal","volume":"47 4","pages":"e57"},"PeriodicalIF":0.2000,"publicationDate":"2024-10-01","publicationTypes":"Journal Article","fieldsOfStudy":null,"isOpenAccess":false,"openAccessPdf":"https://www.ncbi.nlm.nih.gov/pmc/articles/PMC12093528/pdf/","citationCount":"0","resultStr":null,"platform":"Semanticscholar","paperid":null,"PeriodicalName":"Ewha Medical Journal","FirstCategoryId":"1085","ListUrlMain":"https://doi.org/10.12771/emj.2024.e57","RegionNum":0,"RegionCategory":null,"ArticlePicture":[],"TitleCN":null,"AbstractTextCN":null,"PMCID":null,"EPubDate":"2024/10/31 0:00:00","PubModel":"Epub","JCR":"Q3","JCRName":"MEDICINE, GENERAL & INTERNAL","Score":null,"Total":0}
引用次数: 0

Abstract

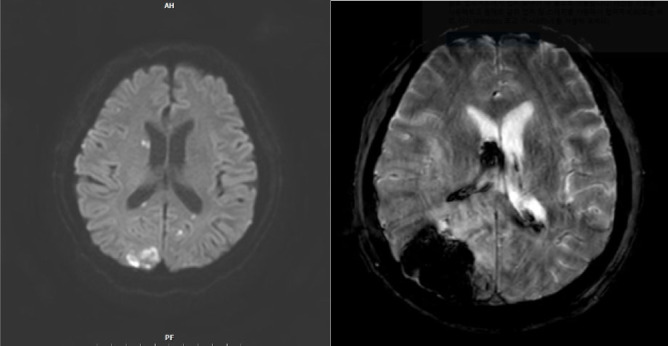
Septic embolism and stroke are serious complications in patients with sepsis and often necessitate urgent surgical intervention to control the source of infection. A 69-year-old man presented with severe pain in his back and left thigh. MRI revealed extensive posterior epidural or subdural abscesses extending from the cervical to the lumbar level, as well as an abscess in the iliopsoas muscle. The patient underwent urgent drainage of the abscesses and decompression of the lumbar spine. Postoperatively, he developed sudden-onset atrial fibrillation and altered mental status. Brain CT showed multiple embolic infarctions. His condition deteriorated due to persistent infection, leading to disseminated intravascular coagulation, acute kidney injury, and septic shock. This case highlights the risk of cerebral embolism and hemorrhagic complications in patients with sepsis who undergo surgery. Early recognition of individuals at high risk and comprehensive perioperative management are critical to reducing the likelihood of such complications.

Abstract Image

Abstract Image

韩国一名69岁男性腰椎硬膜外脓肿手术后脓毒性脑栓塞1例报告。
脓毒症栓塞和中风是脓毒症患者的严重并发症,往往需要紧急手术干预以控制感染源。男,69岁,背部及左大腿剧痛。MRI显示广泛的后硬膜外或硬膜下脓肿,从颈椎延伸至腰椎,以及髂腰肌脓肿。病人接受了紧急的脓肿引流和腰椎减压术。术后出现突发性心房颤动及精神状态改变。脑CT示多发栓塞性梗死。他的病情因持续感染而恶化,导致弥漫性血管内凝血、急性肾损伤和感染性休克。本病例强调了接受手术的败血症患者脑栓塞和出血性并发症的风险。早期识别高危个体和全面的围手术期管理对于减少此类并发症的可能性至关重要。
本文章由计算机程序翻译,如有差异,请以英文原文为准。
求助全文
约1分钟内获得全文 求助全文
来源期刊
Ewha Medical Journal
Ewha Medical Journal MEDICINE, GENERAL & INTERNAL-
自引率
33.30%
发文量
28
×
引用
GB/T 7714-2015
复制
MLA
复制
APA
复制
导出至
BibTeX EndNote RefMan NoteFirst NoteExpress
×
提示
您的信息不完整,为了账户安全,请先补充。
现在去补充
×
提示
您因"违规操作"
具体请查看互助需知
我知道了
×
提示
确定
请完成安全验证×
copy
已复制链接
快去分享给好友吧!
我知道了
右上角分享
点击右上角分享
0
联系我们:info@booksci.cn Book学术提供免费学术资源搜索服务,方便国内外学者检索中英文文献。致力于提供最便捷和优质的服务体验。 Copyright © 2023 布克学术 All rights reserved.
京ICP备2023020795号-1
ghs 京公网安备 11010802042870号
Book学术文献互助
Book学术文献互助群
群 号:604180095
Book学术官方微信