Immunohistochemical expression of SOX2 and OCT4 in primary odontogenic keratocyst, recurrent odontogenic keratocyst, and odontogenic keratocyst treated by the decompression technique.

Q3 Medicine
Chinmayee Mannava, Ravikanth Manyam, Nimmagadda Vikas Kumar, Divya Naga Lakshmi Puvvada, P Swetha, Naga Supriya
{"title":"Immunohistochemical expression of SOX2 and OCT4 in primary odontogenic keratocyst, recurrent odontogenic keratocyst, and odontogenic keratocyst treated by the decompression technique.","authors":"Chinmayee Mannava, Ravikanth Manyam, Nimmagadda Vikas Kumar, Divya Naga Lakshmi Puvvada, P Swetha, Naga Supriya","doi":"10.4103/jomfp.jomfp_254_24","DOIUrl":null,"url":null,"abstract":"<p><strong>Introduction: </strong>Odontogenic keratocyst (OKC) is a developmental odontogenic cyst with distinct pathological features and a high recurrence rate. Interest among OKCs became apparent by the clinical challenges associated with their treatment. Pathogenesis of OKCs is a multifactorial process, which is linked to several signalling pathways and expression of stem cell markers such as SOX2 and OCT4.</p><p><strong>Materials and methods: </strong>Thirty cases of OKCs were categorised into three groups: primary (n = 10), recurrent (n = 10), and decompressed (n = 10). Tissue sections were immunohistochemically stained using anti-SOX2 and anti-OCT4 antibodies. Staining distribution, intensity, and localisation were evaluated qualitatively. Quantitative assessment was performed using Image Pro Plus software, and statistical analysis was conducted using SPSS software and results were statistically analysed.</p><p><strong>Results: </strong>SOX2 expression was observed in 80% of primary, 80% recurrent, and 90% of decompressed OKCs, with significant differences in staining intensity (<i>P</i> = 0.032). Most cases exhibited diffuse, nuclear, and cytoplasmic positivity across the full epithelial thickness, particularly in suprabasal layers. OCT4 expression was limited to 10% of primary and 20% of recurrent OKCs, with no positivity observed in decompressed cases. OCT4 did not show statistically significant differences. Remmele scores for both markers were not statistically significant across the groups.</p><p><strong>Conclusion: </strong>High expression of SOX2 in OKCs supports its role as a marker of epithelial stemness and a potential biomarker for aggressive behaviour and recurrence. Limited expression of OCT4 suggests a minimal role in OKC pathobiology, possibly associated with early differentiation. Lack of OCT4 expression in decompressed lesions raises questions about the molecular efficacy of decompression therapy.</p>","PeriodicalId":38846,"journal":{"name":"Journal of Oral and Maxillofacial Pathology","volume":"29 2","pages":"286-292"},"PeriodicalIF":0.0000,"publicationDate":"2025-04-01","publicationTypes":"Journal Article","fieldsOfStudy":null,"isOpenAccess":false,"openAccessPdf":"https://www.ncbi.nlm.nih.gov/pmc/articles/PMC12283042/pdf/","citationCount":"0","resultStr":null,"platform":"Semanticscholar","paperid":null,"PeriodicalName":"Journal of Oral and Maxillofacial Pathology","FirstCategoryId":"1085","ListUrlMain":"https://doi.org/10.4103/jomfp.jomfp_254_24","RegionNum":0,"RegionCategory":null,"ArticlePicture":[],"TitleCN":null,"AbstractTextCN":null,"PMCID":null,"EPubDate":"2025/6/30 0:00:00","PubModel":"Epub","JCR":"Q3","JCRName":"Medicine","Score":null,"Total":0}
引用次数: 0

Abstract

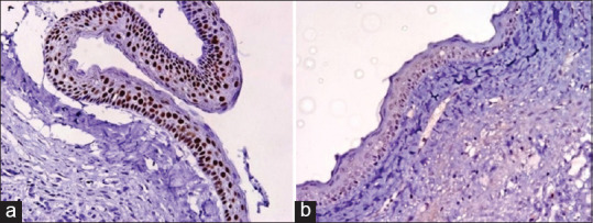
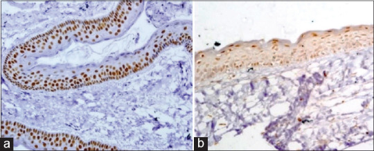
Introduction: Odontogenic keratocyst (OKC) is a developmental odontogenic cyst with distinct pathological features and a high recurrence rate. Interest among OKCs became apparent by the clinical challenges associated with their treatment. Pathogenesis of OKCs is a multifactorial process, which is linked to several signalling pathways and expression of stem cell markers such as SOX2 and OCT4.

Materials and methods: Thirty cases of OKCs were categorised into three groups: primary (n = 10), recurrent (n = 10), and decompressed (n = 10). Tissue sections were immunohistochemically stained using anti-SOX2 and anti-OCT4 antibodies. Staining distribution, intensity, and localisation were evaluated qualitatively. Quantitative assessment was performed using Image Pro Plus software, and statistical analysis was conducted using SPSS software and results were statistically analysed.

Results: SOX2 expression was observed in 80% of primary, 80% recurrent, and 90% of decompressed OKCs, with significant differences in staining intensity (P = 0.032). Most cases exhibited diffuse, nuclear, and cytoplasmic positivity across the full epithelial thickness, particularly in suprabasal layers. OCT4 expression was limited to 10% of primary and 20% of recurrent OKCs, with no positivity observed in decompressed cases. OCT4 did not show statistically significant differences. Remmele scores for both markers were not statistically significant across the groups.

Conclusion: High expression of SOX2 in OKCs supports its role as a marker of epithelial stemness and a potential biomarker for aggressive behaviour and recurrence. Limited expression of OCT4 suggests a minimal role in OKC pathobiology, possibly associated with early differentiation. Lack of OCT4 expression in decompressed lesions raises questions about the molecular efficacy of decompression therapy.

Abstract Image

Abstract Image

Abstract Image

SOX2和OCT4在原发性牙源性角化囊肿、复发性牙源性角化囊肿和减压术治疗牙源性角化囊肿中的免疫组化表达。
牙源性角化囊肿(Odontogenic keratocyst, OKC)是一种具有明显病理特征和高复发率的发育性牙源性囊肿。与OKCs治疗相关的临床挑战使OKCs的兴趣变得明显。OKCs的发病是一个多因素过程,与多种信号通路和SOX2、OCT4等干细胞标志物的表达有关。材料与方法:将30例OKCs分为原发性(n = 10)、复发性(n = 10)和减压性(n = 10)三组。使用抗sox2和抗oct4抗体对组织切片进行免疫组织化学染色。定性评价染色分布、强度和定位。采用Image Pro Plus软件进行定量评价,采用SPSS软件进行统计分析,并对结果进行统计学分析。结果:80%的原发OKCs、80%的复发OKCs和90%的减压OKCs中均有SOX2表达,且染色强度差异有统计学意义(P = 0.032)。大多数病例表现为弥漫性、核性和细胞质阳性,覆盖整个上皮厚度,特别是在基底上层。OCT4表达仅限于原发OKCs的10%和复发OKCs的20%,减压病例中未观察到阳性。OCT4差异无统计学意义。两种标记的Remmele得分在组间无统计学意义。结论:SOX2在OKCs中的高表达支持其作为上皮干细胞的标志物和潜在的攻击行为和复发的生物标志物的作用。OCT4的有限表达表明其在OKC病理生物学中的作用很小,可能与早期分化有关。减压病变中缺乏OCT4表达引发了对减压治疗分子疗效的质疑。
本文章由计算机程序翻译,如有差异,请以英文原文为准。
求助全文
约1分钟内获得全文 求助全文
来源期刊
Journal of Oral and Maxillofacial Pathology
Journal of Oral and Maxillofacial Pathology Medicine-Otorhinolaryngology
CiteScore
1.40
自引率
0.00%
发文量
115
期刊介绍: The journal of Oral and Maxillofacial Pathology [ISSN:print-(0973-029X, online-1998-393X)] is a tri-annual journal published on behalf of “The Indian Association of Oral and Maxillofacial Pathologists” (IAOMP). The publication of JOMFP was started in the year 1993. The journal publishes papers on a wide spectrum of topics associated with the scope of Oral and Maxillofacial Pathology, also, ensuring scientific merit and quality. It is a comprehensive reading material for the professionals who want to upgrade their diagnostic skills in Oral Diseases; allows exposure to newer topics and methods of research in the Oral-facial Tissues and Pathology. New features allow an open minded thinking and approach to various pathologies. It also encourages authors to showcase quality work done by them and to compile relevant cases which are diagnostically challenging. The Journal takes pride in maintaining the quality of articles and photomicrographs.
×
引用
GB/T 7714-2015
复制
MLA
复制
APA
复制
导出至
BibTeX EndNote RefMan NoteFirst NoteExpress
×
提示
您的信息不完整,为了账户安全,请先补充。
现在去补充
×
提示
您因"违规操作"
具体请查看互助需知
我知道了
×
提示
确定
请完成安全验证×
copy
已复制链接
快去分享给好友吧!
我知道了
右上角分享
点击右上角分享
0
联系我们:info@booksci.cn Book学术提供免费学术资源搜索服务,方便国内外学者检索中英文文献。致力于提供最便捷和优质的服务体验。 Copyright © 2023 布克学术 All rights reserved.
京ICP备2023020795号-1
ghs 京公网安备 11010802042870号
Book学术文献互助
Book学术文献互助群
群 号:604180095
Book学术官方微信