Protective effects of folic acid on ischemia‒reperfusion injury in rat uterus: reduces inflammation damage and apoptotic death.

IF 2.6 2区 农林科学 Q1 VETERINARY SCIENCES
Zahid Paksoy, Nihat Yumusak
{"title":"Protective effects of folic acid on ischemia‒reperfusion injury in rat uterus: reduces inflammation damage and apoptotic death.","authors":"Zahid Paksoy, Nihat Yumusak","doi":"10.1186/s12917-025-04949-9","DOIUrl":null,"url":null,"abstract":"<p><strong>Background: </strong>Uterine torsion is a pregnancy pathology that poses risks to both maternal and fetal health. This condition is closely associated with the relaxation of uterine ligaments due to hormonal changes and the increased size of the gravid uterus. It occurs when the uterus rotates around its own axis. This torsion can result in ischemia, and if untreated, may progress to necrosis and fetal loss. Folic acid has protective effects against oxidative stress, inflammation, and apoptosis. The aim of this study was to investigate the potential of folic acid to reduce ischemia‒reperfusion (IR) injury in the rat uterus.</p><p><strong>Results: </strong>IR caused severe edema, inflammation, congestion, hemorrhage, vasoconstriction, and necrosis in the uterus. Histopathological damage was less pronounced in rats treated with folic acid. Although the endometrial layer, critical for fertility, suffered significant damage, folic acid effectively prevented this injury. Immunohistochemical analysis revealed that caspase-3 activity, a marker of apoptosis, increased in response to IR. However, folic acid treatment attenuated this activity, and uterine inflammation also reduced. High-dose folic acid inhibited TNF-alpha immunoreactivity. Interestingly, folic acid did not activate antioxidant mechanisms to reduce oxidative stress. Nevertheless, it mitigated IR-induced damage by reducing endometrial injury and preventing inflammation and apoptosis.</p><p><strong>Conclusions: </strong>As a result, uterine torsion can lead to endometrial damage, degeneration, inflammation, and apoptosis, potentially affecting fertility. High-dose folic acid treatment may protect the uterus from these damages, thereby preserving fertility. This study suggests that folic acid, particularly at high doses, may be safe and beneficial treatment to prevent IR damage and promote uterine health.</p>","PeriodicalId":9041,"journal":{"name":"BMC Veterinary Research","volume":"21 1","pages":"486"},"PeriodicalIF":2.6000,"publicationDate":"2025-07-24","publicationTypes":"Journal Article","fieldsOfStudy":null,"isOpenAccess":false,"openAccessPdf":"https://www.ncbi.nlm.nih.gov/pmc/articles/PMC12288322/pdf/","citationCount":"0","resultStr":null,"platform":"Semanticscholar","paperid":null,"PeriodicalName":"BMC Veterinary Research","FirstCategoryId":"97","ListUrlMain":"https://doi.org/10.1186/s12917-025-04949-9","RegionNum":2,"RegionCategory":"农林科学","ArticlePicture":[],"TitleCN":null,"AbstractTextCN":null,"PMCID":null,"EPubDate":"","PubModel":"","JCR":"Q1","JCRName":"VETERINARY SCIENCES","Score":null,"Total":0}
引用次数: 0

Abstract

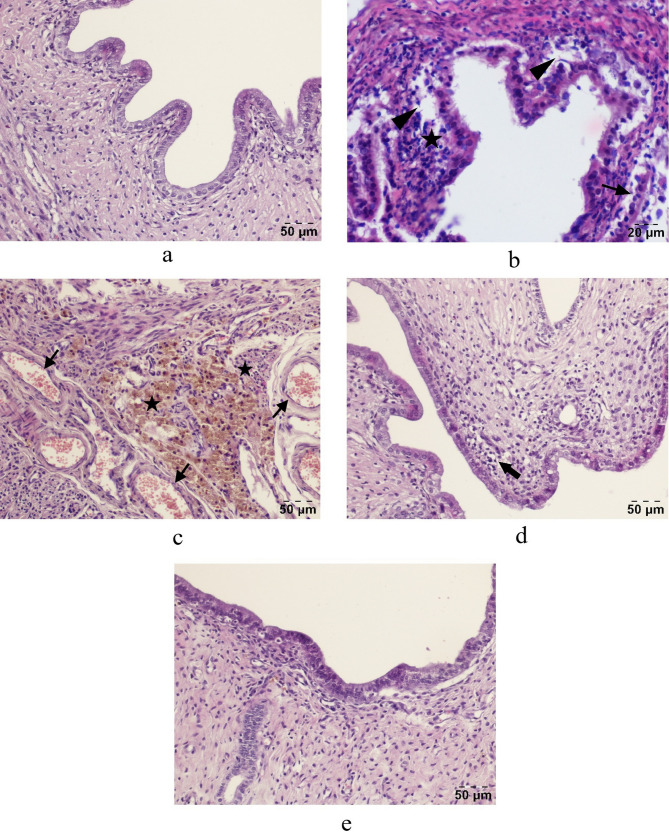
Background: Uterine torsion is a pregnancy pathology that poses risks to both maternal and fetal health. This condition is closely associated with the relaxation of uterine ligaments due to hormonal changes and the increased size of the gravid uterus. It occurs when the uterus rotates around its own axis. This torsion can result in ischemia, and if untreated, may progress to necrosis and fetal loss. Folic acid has protective effects against oxidative stress, inflammation, and apoptosis. The aim of this study was to investigate the potential of folic acid to reduce ischemia‒reperfusion (IR) injury in the rat uterus.

Results: IR caused severe edema, inflammation, congestion, hemorrhage, vasoconstriction, and necrosis in the uterus. Histopathological damage was less pronounced in rats treated with folic acid. Although the endometrial layer, critical for fertility, suffered significant damage, folic acid effectively prevented this injury. Immunohistochemical analysis revealed that caspase-3 activity, a marker of apoptosis, increased in response to IR. However, folic acid treatment attenuated this activity, and uterine inflammation also reduced. High-dose folic acid inhibited TNF-alpha immunoreactivity. Interestingly, folic acid did not activate antioxidant mechanisms to reduce oxidative stress. Nevertheless, it mitigated IR-induced damage by reducing endometrial injury and preventing inflammation and apoptosis.

Conclusions: As a result, uterine torsion can lead to endometrial damage, degeneration, inflammation, and apoptosis, potentially affecting fertility. High-dose folic acid treatment may protect the uterus from these damages, thereby preserving fertility. This study suggests that folic acid, particularly at high doses, may be safe and beneficial treatment to prevent IR damage and promote uterine health.

Abstract Image

Abstract Image

Abstract Image

叶酸对大鼠子宫缺血再灌注损伤的保护作用:减轻炎症损伤和凋亡。
背景:子宫扭转是一种危及母体和胎儿健康的妊娠病理。这种情况与激素变化引起的子宫韧带松弛和妊娠子宫增大密切相关。当子宫围绕自己的轴旋转时就会发生这种情况。这种扭转可导致缺血,如果不及时治疗,可能会发展为坏死和胎儿丢失。叶酸具有抗氧化应激、炎症和细胞凋亡的保护作用。本研究旨在探讨叶酸对大鼠子宫缺血再灌注(IR)损伤的影响。结果:IR引起子宫严重水肿、炎症、充血、出血、血管收缩和坏死。用叶酸治疗的大鼠的组织病理学损伤不那么明显。虽然对生育至关重要的子宫内膜受到了严重的损伤,但叶酸有效地防止了这种损伤。免疫组织化学分析显示,caspase-3活性(凋亡的标志)对IR的反应增加。然而,叶酸治疗减弱了这种活性,子宫炎症也减轻了。大剂量叶酸抑制tnf - α免疫反应性。有趣的是,叶酸并没有激活抗氧化机制来减少氧化应激。然而,它通过减少子宫内膜损伤和防止炎症和细胞凋亡来减轻ir诱导的损伤。结论:子宫扭转可导致子宫内膜损伤、变性、炎症和细胞凋亡,可能影响生育。大剂量叶酸治疗可以保护子宫免受这些损害,从而保持生育能力。这项研究表明,叶酸,特别是在高剂量,可能是安全有益的治疗,以防止IR损伤和促进子宫健康。
本文章由计算机程序翻译,如有差异,请以英文原文为准。
求助全文
约1分钟内获得全文 求助全文
来源期刊
BMC Veterinary Research
BMC Veterinary Research VETERINARY SCIENCES-
CiteScore
4.80
自引率
3.80%
发文量
420
审稿时长
3-6 weeks
期刊介绍: BMC Veterinary Research is an open access, peer-reviewed journal that considers articles on all aspects of veterinary science and medicine, including the epidemiology, diagnosis, prevention and treatment of medical conditions of domestic, companion, farm and wild animals, as well as the biomedical processes that underlie their health.
×
引用
GB/T 7714-2015
复制
MLA
复制
APA
复制
导出至
BibTeX EndNote RefMan NoteFirst NoteExpress
×
提示
您的信息不完整,为了账户安全,请先补充。
现在去补充
×
提示
您因"违规操作"
具体请查看互助需知
我知道了
×
提示
确定
请完成安全验证×
copy
已复制链接
快去分享给好友吧!
我知道了
右上角分享
点击右上角分享
0
联系我们:info@booksci.cn Book学术提供免费学术资源搜索服务,方便国内外学者检索中英文文献。致力于提供最便捷和优质的服务体验。 Copyright © 2023 布克学术 All rights reserved.
京ICP备2023020795号-1
ghs 京公网安备 11010802042870号
Book学术文献互助
Book学术文献互助群
群 号:604180095
Book学术官方微信