Unusual association of primary parotid and conjunctival tuberculosis in a young immunocompetent patient: a case report.

Access microbiology Pub Date : 2025-07-10 eCollection Date: 2025-01-01 DOI:10.1099/acmi.0.000982.v3
Mariam Hachimi Idrissi, Qamar Zaza, Adam Benbachir, Oumaima Skalante, Soufiane Benaazza, Mohamed Allaoui, Yassine Ben Lahlou, Elmostafa Benaissa, Mariama Chadli
{"title":"Unusual association of primary parotid and conjunctival tuberculosis in a young immunocompetent patient: a case report.","authors":"Mariam Hachimi Idrissi, Qamar Zaza, Adam Benbachir, Oumaima Skalante, Soufiane Benaazza, Mohamed Allaoui, Yassine Ben Lahlou, Elmostafa Benaissa, Mariama Chadli","doi":"10.1099/acmi.0.000982.v3","DOIUrl":null,"url":null,"abstract":"<p><p>Extrapulmonary tuberculosis often presents as lymphadenitis. In the head and neck area, tuberculous involvement of the parotid gland is rare and challenging to diagnose due to non-specific symptoms, which can be confused with a tumour. Tuberculous conjunctivitis, although uncommon, should be considered in cases of chronic, treatment-resistant conjunctivitis. The association of primary parotid and conjunctival tuberculosis is exceptional. They are difficult to diagnose due to the non-specificity of their clinical, biological and radiological signs. We report the case of a 24-year-old immunocompetent patient with no history of tuberculosis, who presented with intermittent swelling of the left parotid gland, accompanied by unilateral redness of the eye, which appeared 2 months later, in a context of fever and night sweats. The patient also reported a foreign body sensation in his eye, mild tearing and photophobia. Clinical examination revealed painful, warm swelling of the left parotid gland, as well as localized granulomatous conjunctivitis. Cervico-parotid CT and MRI revealed two well-limited, oval, left parotid formations with a slightly thickened and enhanced wall after injection of gadolinium, suggestive <i>a priori</i> of abscessed collections. The diagnosis of primary parotid and conjunctival tuberculosis was made on the basis of histological examination of the biopsies, as well as direct examination, culture and GeneXpert. The patient progressed well on anti-bacillary treatment. Our work underlines the great importance of GeneXpert, which is a rapid and highly sensitive technique, effective in the diagnosis of extrapulmonary tuberculosis.</p>","PeriodicalId":94366,"journal":{"name":"Access microbiology","volume":"7 7","pages":""},"PeriodicalIF":0.0000,"publicationDate":"2025-07-10","publicationTypes":"Journal Article","fieldsOfStudy":null,"isOpenAccess":false,"openAccessPdf":"https://www.ncbi.nlm.nih.gov/pmc/articles/PMC12282047/pdf/","citationCount":"0","resultStr":null,"platform":"Semanticscholar","paperid":null,"PeriodicalName":"Access microbiology","FirstCategoryId":"1085","ListUrlMain":"https://doi.org/10.1099/acmi.0.000982.v3","RegionNum":0,"RegionCategory":null,"ArticlePicture":[],"TitleCN":null,"AbstractTextCN":null,"PMCID":null,"EPubDate":"2025/1/1 0:00:00","PubModel":"eCollection","JCR":"","JCRName":"","Score":null,"Total":0}
引用次数: 0

Abstract

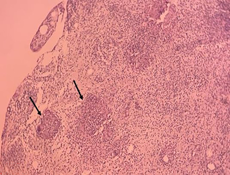
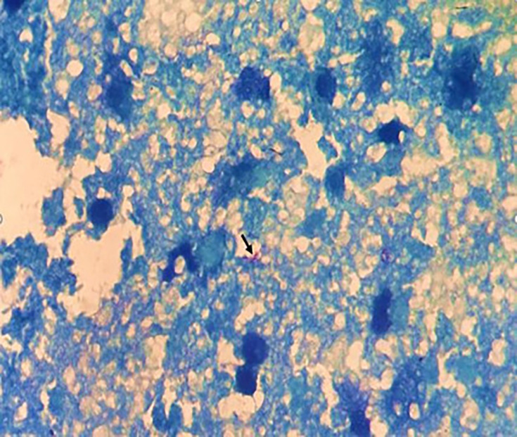
Extrapulmonary tuberculosis often presents as lymphadenitis. In the head and neck area, tuberculous involvement of the parotid gland is rare and challenging to diagnose due to non-specific symptoms, which can be confused with a tumour. Tuberculous conjunctivitis, although uncommon, should be considered in cases of chronic, treatment-resistant conjunctivitis. The association of primary parotid and conjunctival tuberculosis is exceptional. They are difficult to diagnose due to the non-specificity of their clinical, biological and radiological signs. We report the case of a 24-year-old immunocompetent patient with no history of tuberculosis, who presented with intermittent swelling of the left parotid gland, accompanied by unilateral redness of the eye, which appeared 2 months later, in a context of fever and night sweats. The patient also reported a foreign body sensation in his eye, mild tearing and photophobia. Clinical examination revealed painful, warm swelling of the left parotid gland, as well as localized granulomatous conjunctivitis. Cervico-parotid CT and MRI revealed two well-limited, oval, left parotid formations with a slightly thickened and enhanced wall after injection of gadolinium, suggestive a priori of abscessed collections. The diagnosis of primary parotid and conjunctival tuberculosis was made on the basis of histological examination of the biopsies, as well as direct examination, culture and GeneXpert. The patient progressed well on anti-bacillary treatment. Our work underlines the great importance of GeneXpert, which is a rapid and highly sensitive technique, effective in the diagnosis of extrapulmonary tuberculosis.

Abstract Image

Abstract Image

Abstract Image

原发性腮腺和结膜结核的不寻常关联在一个年轻的免疫能力的病人:一个病例报告。
肺外结核常表现为淋巴结炎。在头颈部,结节性腮腺受累是罕见的,由于非特异性症状,诊断具有挑战性,可能与肿瘤混淆。结核性结膜炎,虽然不常见,但在慢性,治疗抵抗性结膜炎的情况下应考虑。原发性腮腺和结膜结核的关联是例外的。由于其临床、生物学和放射学征象的非特异性,难以诊断。我们报告一例24岁无结核史的免疫功能正常患者,其表现为间歇性左侧腮腺肿胀,并伴有单侧眼睛发红,2个月后出现发烧和盗汗。患者亦有眼异物感,轻度流泪及畏光。临床检查显示左侧腮腺疼痛,温热肿胀,局部肉芽肿性结膜炎。颈部-腮腺CT和MRI显示两个有限的椭圆形左侧腮腺组织,注射钆后壁稍增厚和增强,提示先验脓肿积液。原发性腮腺和结膜结核的诊断是在活检组织学检查、直接检查、培养和GeneXpert的基础上进行的。病人经抗细菌治疗进展良好。我们的工作强调了GeneXpert的重要性,这是一种快速和高度敏感的技术,有效地诊断肺外结核。
本文章由计算机程序翻译,如有差异,请以英文原文为准。
求助全文
约1分钟内获得全文 求助全文
来源期刊
CiteScore
2.00
自引率
0.00%
发文量
0
×
引用
GB/T 7714-2015
复制
MLA
复制
APA
复制
导出至
BibTeX EndNote RefMan NoteFirst NoteExpress
×
提示
您的信息不完整,为了账户安全,请先补充。
现在去补充
×
提示
您因"违规操作"
具体请查看互助需知
我知道了
×
提示
确定
请完成安全验证×
copy
已复制链接
快去分享给好友吧!
我知道了
右上角分享
点击右上角分享
0
联系我们:info@booksci.cn Book学术提供免费学术资源搜索服务,方便国内外学者检索中英文文献。致力于提供最便捷和优质的服务体验。 Copyright © 2023 布克学术 All rights reserved.
京ICP备2023020795号-1
ghs 京公网安备 11010802042870号
Book学术文献互助
Book学术文献互助群
群 号:604180095
Book学术官方微信