Peripheral nerve injury recovery enhanced by ceftriaxone: a preclinical investigation.

IF 1.3
Acta cirurgica brasileira Pub Date : 2025-07-18 eCollection Date: 2025-01-01 DOI:10.1590/acb404625
Berkin Gunar, Ejder Saylav Bora, Osman Mert Topkar, Özgür Baysal, Ziya Shammadli, Oytun Erbas
{"title":"Peripheral nerve injury recovery enhanced by ceftriaxone: a preclinical investigation.","authors":"Berkin Gunar, Ejder Saylav Bora, Osman Mert Topkar, Özgür Baysal, Ziya Shammadli, Oytun Erbas","doi":"10.1590/acb404625","DOIUrl":null,"url":null,"abstract":"<p><strong>Purpose: </strong>To evaluate ceftriaxone's potential in enhancing peripheral nerve injuries (PNIs) recovery.</p><p><strong>Methods: </strong>Thirty male Wistar rats were divided into control (no surgery), vehicle (sciatic nerve injury + 0.9% NaCl), and ceftriaxone (sciatic nerve injury + 50 mg/kg/day ceftriaxone) groups. Treatments were administered intraperitoneally for 12 weeks. Functional recovery was assessed using inclined plane tests and electromyography. Sciatic nerve regeneration was evaluated via histology, nerve growth factor (NGF) immunohistochemistry, and enzyme-linked immunosorbent assay.</p><p><strong>Results: </strong>Compared to the control group, inclined plane test scores, nerve action potentials, NGF expression, axon counts, and diameters were diminished in both injury groups (p 0.001). However, these parameters were significantly improved in the ceftriaxone group compared to the vehicle group (p 0.001). Increased fibrosis was observed in the ceftriaxone group.</p><p><strong>Conclusion: </strong>Ceftriaxone demonstrates potential as a pharmacological agent for PNI recovery by enhancing nerve regeneration and functional outcomes. Further studies are warranted to elucidate its mechanisms.</p>","PeriodicalId":93850,"journal":{"name":"Acta cirurgica brasileira","volume":"40 ","pages":"e404625"},"PeriodicalIF":1.3000,"publicationDate":"2025-07-18","publicationTypes":"Journal Article","fieldsOfStudy":null,"isOpenAccess":false,"openAccessPdf":"https://www.ncbi.nlm.nih.gov/pmc/articles/PMC12273872/pdf/","citationCount":"0","resultStr":null,"platform":"Semanticscholar","paperid":null,"PeriodicalName":"Acta cirurgica brasileira","FirstCategoryId":"1085","ListUrlMain":"https://doi.org/10.1590/acb404625","RegionNum":0,"RegionCategory":null,"ArticlePicture":[],"TitleCN":null,"AbstractTextCN":null,"PMCID":null,"EPubDate":"2025/1/1 0:00:00","PubModel":"eCollection","JCR":"","JCRName":"","Score":null,"Total":0}
引用次数: 0

Abstract

Purpose: To evaluate ceftriaxone's potential in enhancing peripheral nerve injuries (PNIs) recovery.

Methods: Thirty male Wistar rats were divided into control (no surgery), vehicle (sciatic nerve injury + 0.9% NaCl), and ceftriaxone (sciatic nerve injury + 50 mg/kg/day ceftriaxone) groups. Treatments were administered intraperitoneally for 12 weeks. Functional recovery was assessed using inclined plane tests and electromyography. Sciatic nerve regeneration was evaluated via histology, nerve growth factor (NGF) immunohistochemistry, and enzyme-linked immunosorbent assay.

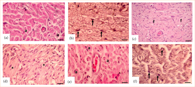
Results: Compared to the control group, inclined plane test scores, nerve action potentials, NGF expression, axon counts, and diameters were diminished in both injury groups (p 0.001). However, these parameters were significantly improved in the ceftriaxone group compared to the vehicle group (p 0.001). Increased fibrosis was observed in the ceftriaxone group.

Conclusion: Ceftriaxone demonstrates potential as a pharmacological agent for PNI recovery by enhancing nerve regeneration and functional outcomes. Further studies are warranted to elucidate its mechanisms.

Abstract Image

Abstract Image

Abstract Image

头孢曲松促进周围神经损伤恢复:临床前研究。
目的:评价头孢曲松促进周围神经损伤(PNIs)恢复的潜力。方法:30只雄性Wistar大鼠分为对照组(未手术)、载药组(坐骨神经损伤+ 0.9% NaCl)和头孢曲松组(坐骨神经损伤+头孢曲松50 mg/kg/d)。腹腔注射治疗12周。使用斜面试验和肌电图评估功能恢复情况。通过组织学、神经生长因子(NGF)免疫组化和酶联免疫吸附法评估坐骨神经再生。结果:与对照组相比,两组大鼠的斜面测试分数、神经动作电位、NGF表达、轴突计数和直径均降低(p < 0.001)。然而,与载药组相比,头孢曲松组这些参数明显改善(p 0.001)。头孢曲松组纤维化加重。结论:头孢曲松通过促进神经再生和功能结果,显示了作为PNI恢复药物的潜力。需要进一步的研究来阐明其机制。
本文章由计算机程序翻译,如有差异,请以英文原文为准。
求助全文
约1分钟内获得全文 求助全文
来源期刊
自引率
0.00%
发文量
0
×
引用
GB/T 7714-2015
复制
MLA
复制
APA
复制
导出至
BibTeX EndNote RefMan NoteFirst NoteExpress
×
提示
您的信息不完整,为了账户安全,请先补充。
现在去补充
×
提示
您因"违规操作"
具体请查看互助需知
我知道了
×
提示
确定
请完成安全验证×
copy
已复制链接
快去分享给好友吧!
我知道了
右上角分享
点击右上角分享
0
联系我们:info@booksci.cn Book学术提供免费学术资源搜索服务,方便国内外学者检索中英文文献。致力于提供最便捷和优质的服务体验。 Copyright © 2023 布克学术 All rights reserved.
京ICP备2023020795号-1
ghs 京公网安备 11010802042870号
Book学术文献互助
Book学术文献互助群
群 号:604180095
Book学术官方微信