Calcinosis circumscripta of the extremities and the tongue with multifocal arterial calcification secondary to chronic kidney disease in a cat.

IF 1.1 4区 农林科学 Q3 VETERINARY SCIENCES
Journal of Veterinary Medical Science Pub Date : 2025-09-05 Epub Date: 2025-07-18 DOI:10.1292/jvms.25-0042
Ai Koshikawa, Shingo Miki, Sangho Kim, Takashi Kimura, Keisuke Aoshima
{"title":"Calcinosis circumscripta of the extremities and the tongue with multifocal arterial calcification secondary to chronic kidney disease in a cat.","authors":"Ai Koshikawa, Shingo Miki, Sangho Kim, Takashi Kimura, Keisuke Aoshima","doi":"10.1292/jvms.25-0042","DOIUrl":null,"url":null,"abstract":"<p><p>A 3-year-old neutered male mixed-breed cat was presented with right urinary tract obstruction caused by a urolith and severe atrophy of the left kidney. In the next year and a half, chronic kidney disease (CKD) progressed, and several masses were identified in the extremities, along with an ulcer on the tongue. Histologically, the extremity masses consisted of calcium deposits separated by fibrovascular septa, and the tongue ulcer showed severe neutrophilic infiltration with pervasive calcium deposition. These lesions were diagnosed as calcinosis circumscripta (CCs). Concurrently, multifocal mineralization of the aorta and of small- to medium-sized arteries in several organs indicated widespread vascular calcification. Both extremity and vascular lesions were likely secondary to the excessive calcium-phosphate product caused by CKD. Although CCs in either the extremities or tongue has been reported in cats, this case is notable for the presence of CCs in both extremities and tongue with systemic vascular calcification.</p>","PeriodicalId":49959,"journal":{"name":"Journal of Veterinary Medical Science","volume":" ","pages":"1095-1099"},"PeriodicalIF":1.1000,"publicationDate":"2025-09-05","publicationTypes":"Journal Article","fieldsOfStudy":null,"isOpenAccess":false,"openAccessPdf":"https://www.ncbi.nlm.nih.gov/pmc/articles/PMC12417720/pdf/","citationCount":"0","resultStr":null,"platform":"Semanticscholar","paperid":null,"PeriodicalName":"Journal of Veterinary Medical Science","FirstCategoryId":"97","ListUrlMain":"https://doi.org/10.1292/jvms.25-0042","RegionNum":4,"RegionCategory":"农林科学","ArticlePicture":[],"TitleCN":null,"AbstractTextCN":null,"PMCID":null,"EPubDate":"2025/7/18 0:00:00","PubModel":"Epub","JCR":"Q3","JCRName":"VETERINARY SCIENCES","Score":null,"Total":0}
引用次数: 0

Abstract

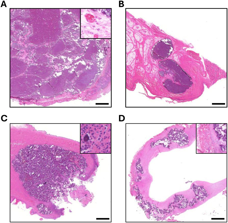
A 3-year-old neutered male mixed-breed cat was presented with right urinary tract obstruction caused by a urolith and severe atrophy of the left kidney. In the next year and a half, chronic kidney disease (CKD) progressed, and several masses were identified in the extremities, along with an ulcer on the tongue. Histologically, the extremity masses consisted of calcium deposits separated by fibrovascular septa, and the tongue ulcer showed severe neutrophilic infiltration with pervasive calcium deposition. These lesions were diagnosed as calcinosis circumscripta (CCs). Concurrently, multifocal mineralization of the aorta and of small- to medium-sized arteries in several organs indicated widespread vascular calcification. Both extremity and vascular lesions were likely secondary to the excessive calcium-phosphate product caused by CKD. Although CCs in either the extremities or tongue has been reported in cats, this case is notable for the presence of CCs in both extremities and tongue with systemic vascular calcification.

Abstract Image

Abstract Image

Abstract Image

猫慢性肾脏疾病继发于四肢和舌头多灶动脉钙化的边缘性钙化。
一只3岁的绝育雄性杂交猫被提出右尿路阻塞引起的尿石和严重的左肾萎缩。在接下来的一年半里,慢性肾脏疾病(CKD)进展,在四肢发现了几个肿块,同时在舌头上发现了溃疡。组织学上,四肢肿块由纤维血管间隔隔开的钙沉积组成,舌溃疡表现为严重的中性粒细胞浸润和普遍的钙沉积。这些病变被诊断为边缘性钙质沉着症(CCs)。同时,主动脉和几个器官的中小动脉的多灶矿化表明广泛的血管钙化。四肢和血管病变都可能继发于CKD引起的过量磷酸钙产物。虽然在猫中有四肢或舌头的cc的报道,但值得注意的是,该病例在四肢和舌头都存在CCs,并伴有全身血管钙化。
本文章由计算机程序翻译,如有差异,请以英文原文为准。
求助全文
约1分钟内获得全文 求助全文
来源期刊
Journal of Veterinary Medical Science
Journal of Veterinary Medical Science 农林科学-兽医学
CiteScore
2.30
自引率
8.30%
发文量
230
审稿时长
9-18 weeks
期刊介绍: JVMS is a peer-reviewed journal and publishes a variety of papers on veterinary science from basic research to applied science and clinical research. JVMS is published monthly and consists of twelve issues per year. Papers are from the areas of anatomy, physiology, pharmacology, toxicology, pathology, immunology, microbiology, virology, parasitology, internal medicine, surgery, clinical pathology, theriogenology, avian disease, public health, ethology, and laboratory animal science. Although JVMS has played a role in publishing the scientific achievements of Japanese researchers and clinicians for many years, it now also accepts papers submitted from all over the world.
×
引用
GB/T 7714-2015
复制
MLA
复制
APA
复制
导出至
BibTeX EndNote RefMan NoteFirst NoteExpress
×
提示
您的信息不完整,为了账户安全,请先补充。
现在去补充
×
提示
您因"违规操作"
具体请查看互助需知
我知道了
×
提示
确定
请完成安全验证×
copy
已复制链接
快去分享给好友吧!
我知道了
右上角分享
点击右上角分享
0
联系我们:info@booksci.cn Book学术提供免费学术资源搜索服务,方便国内外学者检索中英文文献。致力于提供最便捷和优质的服务体验。 Copyright © 2023 布克学术 All rights reserved.
京ICP备2023020795号-1
ghs 京公网安备 11010802042870号
Book学术文献互助
Book学术文献互助群
群 号:604180095
Book学术官方微信