First report of histopathological and molecular characterizations of bovine herpesvirus-1 from outbreak at dairy farm in India.

IF 1.1 4区 农林科学 Q3 ZOOLOGY
Veterinary Research Forum Pub Date : 2025-01-01 Epub Date: 2025-05-15 DOI:10.30466/vrf.2024.2028036.4260
Amit Kumar Verma, Vikas Jaiswal, Arbind Singh, Ramakant, Vishnu Kumar Rai
{"title":"First report of histopathological and molecular characterizations of bovine herpesvirus-1 from outbreak at dairy farm in India.","authors":"Amit Kumar Verma, Vikas Jaiswal, Arbind Singh, Ramakant, Vishnu Kumar Rai","doi":"10.30466/vrf.2024.2028036.4260","DOIUrl":null,"url":null,"abstract":"<p><p>Infectious bovine rhinotracheitis, caused by bovine herpesvirus-1 (BHV-1) is a highly contagious viral disease affecting bovines, and clinically characterized by pyrexia, inappetence, respiratory distress, dyspnoea, conjunctivitis, nasal discharge, and sometimes abortions. In the present study, buffalo dairy farm having high mortality was investigated. The buffaloes were suffering from high rectal temperature, conjunctivitis, severe respiratory distress, and nasal discharge. Tissue samples from upper respiratory tract were collected aseptically following post-mortem examination of died buffaloes. Tracheal tissue samples were then processed for histopathological examination and DNA isolation. The presence of BHV-1 in the tissue samples was confirmed by nested polymerase chain reaction using <i>glycoprotein B</i> gene primers. The present study reported for the first time the clinical signs, post-mortem lesions, histopathological evidence, and detection of DNA of BHV-1 <i>glycoprotein B</i> gene through nested polymerase chain reaction assay during an active outbreak in buffaloes in India. The findings of this study are crucial for improving the diagnosis of BHV-1 and ultimately reducing financial losses within dairy industry.</p>","PeriodicalId":23989,"journal":{"name":"Veterinary Research Forum","volume":"16 5","pages":"301-304"},"PeriodicalIF":1.1000,"publicationDate":"2025-01-01","publicationTypes":"Journal Article","fieldsOfStudy":null,"isOpenAccess":false,"openAccessPdf":"https://www.ncbi.nlm.nih.gov/pmc/articles/PMC12276373/pdf/","citationCount":"0","resultStr":null,"platform":"Semanticscholar","paperid":null,"PeriodicalName":"Veterinary Research Forum","FirstCategoryId":"97","ListUrlMain":"https://doi.org/10.30466/vrf.2024.2028036.4260","RegionNum":4,"RegionCategory":"农林科学","ArticlePicture":[],"TitleCN":null,"AbstractTextCN":null,"PMCID":null,"EPubDate":"2025/5/15 0:00:00","PubModel":"Epub","JCR":"Q3","JCRName":"ZOOLOGY","Score":null,"Total":0}
引用次数: 0

Abstract

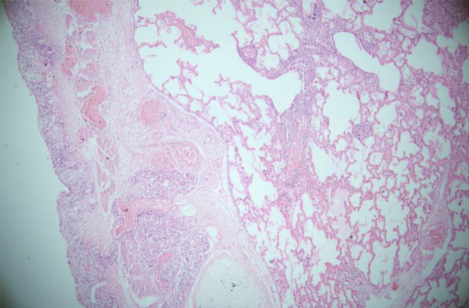
Infectious bovine rhinotracheitis, caused by bovine herpesvirus-1 (BHV-1) is a highly contagious viral disease affecting bovines, and clinically characterized by pyrexia, inappetence, respiratory distress, dyspnoea, conjunctivitis, nasal discharge, and sometimes abortions. In the present study, buffalo dairy farm having high mortality was investigated. The buffaloes were suffering from high rectal temperature, conjunctivitis, severe respiratory distress, and nasal discharge. Tissue samples from upper respiratory tract were collected aseptically following post-mortem examination of died buffaloes. Tracheal tissue samples were then processed for histopathological examination and DNA isolation. The presence of BHV-1 in the tissue samples was confirmed by nested polymerase chain reaction using glycoprotein B gene primers. The present study reported for the first time the clinical signs, post-mortem lesions, histopathological evidence, and detection of DNA of BHV-1 glycoprotein B gene through nested polymerase chain reaction assay during an active outbreak in buffaloes in India. The findings of this study are crucial for improving the diagnosis of BHV-1 and ultimately reducing financial losses within dairy industry.

Abstract Image

Abstract Image

Abstract Image

印度奶牛场暴发的牛疱疹病毒-1的组织病理学和分子特征的首次报告。
传染性牛鼻气管炎,由牛疱疹病毒-1 (BHV-1)引起,是一种影响牛的高度传染性病毒性疾病,临床表现为发热、食欲不振、呼吸窘迫、呼吸困难、结膜炎、鼻溢液,有时甚至流产。本研究对死亡率较高的水牛奶牛场进行了调查。这些水牛患有直肠高温、结膜炎、严重呼吸窘迫和鼻溢液。对死水牛进行尸检后,无菌采集上呼吸道组织样本。然后对气管组织样本进行组织病理学检查和DNA分离。利用糖蛋白B基因引物通过巢式聚合酶链反应证实BHV-1在组织样品中的存在。本研究首次报道了印度一次水牛活跃性暴发期间的临床症状、死后病变、组织病理学证据以及通过巢式聚合酶链反应法检测BHV-1糖蛋白B基因的DNA。本研究的发现对于提高BHV-1的诊断和最终减少乳制品行业的经济损失至关重要。
本文章由计算机程序翻译,如有差异,请以英文原文为准。
求助全文
约1分钟内获得全文 求助全文
来源期刊
Veterinary Research Forum
Veterinary Research Forum Veterinary-General Veterinary
CiteScore
1.50
自引率
0.00%
发文量
0
审稿时长
8 weeks
期刊介绍: Veterinary Research Forum (VRF) is a quarterly international journal committed to publish worldwide contributions on all aspects of veterinary science and medicine, including anatomy and histology, physiology and pharmacology, anatomic and clinical pathology, parasitology, microbiology, immunology and epidemiology, food hygiene, poultry science, fish and aquaculture, anesthesia and surgery, large and small animal internal medicine, large and small animal reproduction, biotechnology and diagnostic imaging of domestic, companion and farm animals.
×
引用
GB/T 7714-2015
复制
MLA
复制
APA
复制
导出至
BibTeX EndNote RefMan NoteFirst NoteExpress
×
提示
您的信息不完整,为了账户安全,请先补充。
现在去补充
×
提示
您因"违规操作"
具体请查看互助需知
我知道了
×
提示
确定
请完成安全验证×
copy
已复制链接
快去分享给好友吧!
我知道了
右上角分享
点击右上角分享
0
联系我们:info@booksci.cn Book学术提供免费学术资源搜索服务,方便国内外学者检索中英文文献。致力于提供最便捷和优质的服务体验。 Copyright © 2023 布克学术 All rights reserved.
京ICP备2023020795号-1
ghs 京公网安备 11010802042870号
Book学术文献互助
Book学术文献互助群
群 号:604180095
Book学术官方微信