Concurrent multi-systemic eosinophilic epitheliotropic disease and choledocholithiasis in a 15-year-old mixed-breed mare.

IF 1.1 4区 农林科学 Q3 ZOOLOGY
Veterinary Research Forum Pub Date : 2025-01-01 Epub Date: 2025-05-15 DOI:10.30466/vrf.2024.2034996.4356
Zahra Baradaran-Seyed, Mohammad Eslampanah
{"title":"Concurrent multi-systemic eosinophilic epitheliotropic disease and choledocholithiasis in a 15-year-old mixed-breed mare.","authors":"Zahra Baradaran-Seyed, Mohammad Eslampanah","doi":"10.30466/vrf.2024.2034996.4356","DOIUrl":null,"url":null,"abstract":"<p><p>A mixed-breed 15-year-old mare was euthanized for recurrent colic, severe weight loss, pastern ulcerative dermatitis, and coronitis without response to non-surgical medical procedures. The liver was congested with firm consistency at necropsy, and there were multi-focal white spots on Glisson's capsule. Hemorrhage, ulcer, severe folding, and hypertrophy were seen in the duodenum and jejunum. Histopathological examination showed marked infiltration of eosinophils concomitant with fewer leukocytes, macrophages, and plasma cells, primarily in the liver and intestines. The presence of eight calcium bilirubinate stones, 2.00 - 5.00 cm in diameter, in the common bile duct was characteristic of choledocholithiasis. Concurrent multi-systemic eosinophilic epitheliotropic disease (MEED) and choledocholithiasis were confirmed after ruling out other potential causes of eosinophilic infiltration, including parasitic infection and allergy. The cause of MEED and choledocholithiasis was unclear because of incomplete case history and delayed referral, with a potential infection playing a role and having synergistic effects between the two conditions. When eosinophilic-associated inflammation involves several organs, MEED should be on the differential diagnostic list since infections and allergens are also among the risk factors for this disorder.</p>","PeriodicalId":23989,"journal":{"name":"Veterinary Research Forum","volume":"16 5","pages":"305-308"},"PeriodicalIF":1.1000,"publicationDate":"2025-01-01","publicationTypes":"Journal Article","fieldsOfStudy":null,"isOpenAccess":false,"openAccessPdf":"https://www.ncbi.nlm.nih.gov/pmc/articles/PMC12276372/pdf/","citationCount":"0","resultStr":null,"platform":"Semanticscholar","paperid":null,"PeriodicalName":"Veterinary Research Forum","FirstCategoryId":"97","ListUrlMain":"https://doi.org/10.30466/vrf.2024.2034996.4356","RegionNum":4,"RegionCategory":"农林科学","ArticlePicture":[],"TitleCN":null,"AbstractTextCN":null,"PMCID":null,"EPubDate":"2025/5/15 0:00:00","PubModel":"Epub","JCR":"Q3","JCRName":"ZOOLOGY","Score":null,"Total":0}
引用次数: 0

Abstract

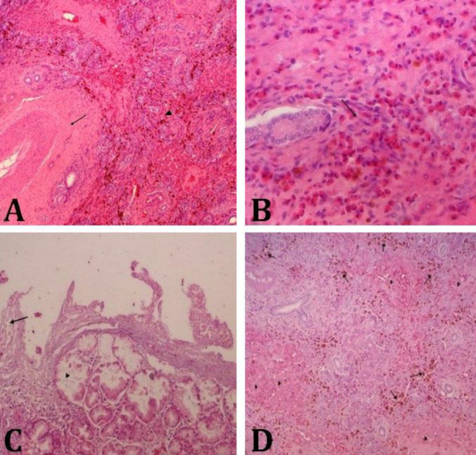
A mixed-breed 15-year-old mare was euthanized for recurrent colic, severe weight loss, pastern ulcerative dermatitis, and coronitis without response to non-surgical medical procedures. The liver was congested with firm consistency at necropsy, and there were multi-focal white spots on Glisson's capsule. Hemorrhage, ulcer, severe folding, and hypertrophy were seen in the duodenum and jejunum. Histopathological examination showed marked infiltration of eosinophils concomitant with fewer leukocytes, macrophages, and plasma cells, primarily in the liver and intestines. The presence of eight calcium bilirubinate stones, 2.00 - 5.00 cm in diameter, in the common bile duct was characteristic of choledocholithiasis. Concurrent multi-systemic eosinophilic epitheliotropic disease (MEED) and choledocholithiasis were confirmed after ruling out other potential causes of eosinophilic infiltration, including parasitic infection and allergy. The cause of MEED and choledocholithiasis was unclear because of incomplete case history and delayed referral, with a potential infection playing a role and having synergistic effects between the two conditions. When eosinophilic-associated inflammation involves several organs, MEED should be on the differential diagnostic list since infections and allergens are also among the risk factors for this disorder.

Abstract Image

Abstract Image

15岁混血母马并发多系统嗜酸性嗜上皮性疾病和胆总管结石。
一只15岁的混血母马因复发性绞痛、严重体重减轻、关节溃疡性皮炎和冠状炎而被安乐死,但对非手术治疗没有反应。尸检肝脏充血,粘连性强,Glisson包膜呈多灶性白斑。十二指肠和空肠可见出血、溃疡、严重折叠和肥厚。组织病理学检查显示明显的嗜酸性粒细胞浸润,同时白细胞、巨噬细胞和浆细胞较少,主要见于肝脏和肠道。胆总管内出现8个胆红素钙结石,直径2.00 - 5.00 cm,是胆总管结石的特征。同时发生的多系统嗜酸性粒细胞上皮性疾病(MEED)和胆石结石在排除其他潜在的嗜酸性粒细胞浸润原因后,包括寄生虫感染和过敏。由于病史不完整和转诊延迟,MEED和胆总管结石的病因尚不清楚,潜在的感染在两种情况之间起作用并具有协同作用。当嗜酸性粒细胞相关的炎症涉及多个器官时,MEED应列入鉴别诊断清单,因为感染和过敏原也是这种疾病的危险因素之一。
本文章由计算机程序翻译,如有差异,请以英文原文为准。
求助全文
约1分钟内获得全文 求助全文
来源期刊
Veterinary Research Forum
Veterinary Research Forum Veterinary-General Veterinary
CiteScore
1.50
自引率
0.00%
发文量
0
审稿时长
8 weeks
期刊介绍: Veterinary Research Forum (VRF) is a quarterly international journal committed to publish worldwide contributions on all aspects of veterinary science and medicine, including anatomy and histology, physiology and pharmacology, anatomic and clinical pathology, parasitology, microbiology, immunology and epidemiology, food hygiene, poultry science, fish and aquaculture, anesthesia and surgery, large and small animal internal medicine, large and small animal reproduction, biotechnology and diagnostic imaging of domestic, companion and farm animals.
×
引用
GB/T 7714-2015
复制
MLA
复制
APA
复制
导出至
BibTeX EndNote RefMan NoteFirst NoteExpress
×
提示
您的信息不完整,为了账户安全,请先补充。
现在去补充
×
提示
您因"违规操作"
具体请查看互助需知
我知道了
×
提示
确定
请完成安全验证×
copy
已复制链接
快去分享给好友吧!
我知道了
右上角分享
点击右上角分享
0
联系我们:info@booksci.cn Book学术提供免费学术资源搜索服务,方便国内外学者检索中英文文献。致力于提供最便捷和优质的服务体验。 Copyright © 2023 布克学术 All rights reserved.
京ICP备2023020795号-1
ghs 京公网安备 11010802042870号
Book学术文献互助
Book学术文献互助群
群 号:604180095
Book学术官方微信