Unraveling the link: serological and molecular insights into Toxoplasma gondii infection in women with spontaneous abortion history.

IF 2.2 Q3 INFECTIOUS DISEASES
Narges Arbabi, Nima Firouzeh, Seyed Ghader Azizi, Ahmad Mehravaran, Soudabeh Etemadi, Reza Shafiei, Hadi Mirahmadi
{"title":"Unraveling the link: serological and molecular insights into Toxoplasma gondii infection in women with spontaneous abortion history.","authors":"Narges Arbabi, Nima Firouzeh, Seyed Ghader Azizi, Ahmad Mehravaran, Soudabeh Etemadi, Reza Shafiei, Hadi Mirahmadi","doi":"10.1186/s40794-025-00259-y","DOIUrl":null,"url":null,"abstract":"<p><strong>Background: </strong>Spontaneous abortion (SA) associated with infectious pathogens such as Toxoplasma gondii during pregnancy poses a substantial health risk for pregnant women and is linked to transplacental infection of the fetus. This study was conducted to investigate the serological and molecular aspects of T. gondii genotyping in women who have experienced SA at various gestational ages. These women were admitted to the Obstetrics and Gynecology Department of Ali Ibn Abi Talib Zahedan Hospital between September 2021 and May 2024.</p><p><strong>Methods: </strong>This study examined 163 women with a history of abortion. Blood samples were tested for specific anti-Toxoplasma IgM and IgG antibodies using ELISA. In contrast, tissue samples from their aborted placentas were analyzed for molecular examination using nested PCR targeting the GRA6 gene.</p><p><strong>Results: </strong>The results indicated that the women in the study ranged in age from 18 to 39 years, with 16% testing positive for anti-Toxoplasma antibodies: 9% had IgG, 4% had IgM, and 3% had both IgM and IgG. Subsequent nested PCR analysis of the placental tissue revealed that 7 cases (4.29%) were positive for the 529 bp fragment of T. gondii. Our data confirmed that five isolates belonged to type I, and two belonged to type II of T. gondii.</p><p><strong>Discussion: </strong>The findings of this study suggest that screening programs for T. gondii significantly elevate the risk of miscarriage among pregnant women. Examining placental tissue for the molecular epidemiology and genetic variants of T. gondii linked to abortion is advisable to improve detection sensitivity.</p>","PeriodicalId":23303,"journal":{"name":"Tropical Diseases, Travel Medicine and Vaccines","volume":"11 1","pages":"22"},"PeriodicalIF":2.2000,"publicationDate":"2025-07-22","publicationTypes":"Journal Article","fieldsOfStudy":null,"isOpenAccess":false,"openAccessPdf":"https://www.ncbi.nlm.nih.gov/pmc/articles/PMC12282004/pdf/","citationCount":"0","resultStr":null,"platform":"Semanticscholar","paperid":null,"PeriodicalName":"Tropical Diseases, Travel Medicine and Vaccines","FirstCategoryId":"1085","ListUrlMain":"https://doi.org/10.1186/s40794-025-00259-y","RegionNum":0,"RegionCategory":null,"ArticlePicture":[],"TitleCN":null,"AbstractTextCN":null,"PMCID":null,"EPubDate":"","PubModel":"","JCR":"Q3","JCRName":"INFECTIOUS DISEASES","Score":null,"Total":0}
引用次数: 0

Abstract

Background: Spontaneous abortion (SA) associated with infectious pathogens such as Toxoplasma gondii during pregnancy poses a substantial health risk for pregnant women and is linked to transplacental infection of the fetus. This study was conducted to investigate the serological and molecular aspects of T. gondii genotyping in women who have experienced SA at various gestational ages. These women were admitted to the Obstetrics and Gynecology Department of Ali Ibn Abi Talib Zahedan Hospital between September 2021 and May 2024.

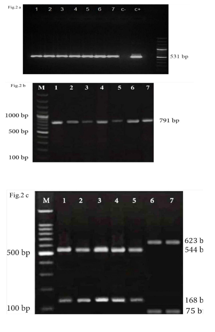
Methods: This study examined 163 women with a history of abortion. Blood samples were tested for specific anti-Toxoplasma IgM and IgG antibodies using ELISA. In contrast, tissue samples from their aborted placentas were analyzed for molecular examination using nested PCR targeting the GRA6 gene.

Results: The results indicated that the women in the study ranged in age from 18 to 39 years, with 16% testing positive for anti-Toxoplasma antibodies: 9% had IgG, 4% had IgM, and 3% had both IgM and IgG. Subsequent nested PCR analysis of the placental tissue revealed that 7 cases (4.29%) were positive for the 529 bp fragment of T. gondii. Our data confirmed that five isolates belonged to type I, and two belonged to type II of T. gondii.

Discussion: The findings of this study suggest that screening programs for T. gondii significantly elevate the risk of miscarriage among pregnant women. Examining placental tissue for the molecular epidemiology and genetic variants of T. gondii linked to abortion is advisable to improve detection sensitivity.

Abstract Image

Abstract Image

揭示这种联系:有自然流产史的妇女中刚地弓形虫感染的血清学和分子见解。
背景:妊娠期与传染性病原体如刚地弓形虫相关的自然流产(SA)对孕妇构成重大健康风险,并与胎儿经胎盘感染有关。本研究旨在探讨在不同胎龄经历SA的妇女中弓形虫基因分型的血清学和分子方面。这些妇女在2021年9月至2024年5月期间入住阿里·伊本·阿比·塔利布·扎黑丹医院妇产科。方法:本研究对163例有流产史的妇女进行了调查。采用ELISA法检测血样中弓形虫IgM和IgG特异性抗体。相比之下,从他们的流产胎盘组织样本进行分析,利用针对GRA6基因的巢式PCR进行分子检测。结果:研究中的女性年龄在18 - 39岁之间,16%的女性弓形虫抗体检测呈阳性,9%的女性弓形虫抗体检测为IgG, 4%的女性弓形虫抗体检测为IgM, 3%的女性弓形虫抗体检测为IgM和IgG。随后对胎盘组织进行巢式PCR分析,发现弓形虫529 bp片段阳性7例(4.29%)。我们的数据证实,5个分离株属于I型,2个属于II型。讨论:本研究结果表明,弓形虫筛查项目显著提高了孕妇流产的风险。检查胎盘组织中与流产有关的弓形虫的分子流行病学和遗传变异,以提高检测灵敏度是可取的。
本文章由计算机程序翻译,如有差异,请以英文原文为准。
求助全文
约1分钟内获得全文 求助全文
来源期刊
CiteScore
5.20
自引率
0.00%
发文量
25
审稿时长
17 weeks
期刊介绍: Tropical Diseases, Travel Medicine and Vaccines is an open access journal that considers basic, translational and applied research, as well as reviews and commentary, related to the prevention and management of healthcare and diseases in international travelers. Given the changes in demographic trends of travelers globally, as well as the epidemiological transitions which many countries are experiencing, the journal considers non-infectious problems including chronic disease among target populations of interest as well as infectious diseases.
×
引用
GB/T 7714-2015
复制
MLA
复制
APA
复制
导出至
BibTeX EndNote RefMan NoteFirst NoteExpress
×
提示
您的信息不完整,为了账户安全,请先补充。
现在去补充
×
提示
您因"违规操作"
具体请查看互助需知
我知道了
×
提示
确定
请完成安全验证×
copy
已复制链接
快去分享给好友吧!
我知道了
右上角分享
点击右上角分享
0
联系我们:info@booksci.cn Book学术提供免费学术资源搜索服务,方便国内外学者检索中英文文献。致力于提供最便捷和优质的服务体验。 Copyright © 2023 布克学术 All rights reserved.
京ICP备2023020795号-1
ghs 京公网安备 11010802042870号
Book学术文献互助
Book学术文献互助群
群 号:604180095
Book学术官方微信