Differential Expression of MicroRNAs in the Colorectal Serrated Neoplasia Pathway and Adenoma-Carcinoma Sequence.

IF 1.4 4区 医学 Q3 GASTROENTEROLOGY & HEPATOLOGY
Gastroenterology Research and Practice Pub Date : 2025-07-14 eCollection Date: 2025-01-01 DOI:10.1155/grp/1010891
Takashi Murakami, Hiroyuki Mitomi, Naoki Tsugawa, Yudai Otsuki, Eiji Kamba, Yuichiro Kadomatsu, Takuo Hayashi, Tsuyoshi Saito, Tomoyoshi Shibuya, Takashi Yao, Akihito Nagahara
{"title":"Differential Expression of MicroRNAs in the Colorectal Serrated Neoplasia Pathway and Adenoma-Carcinoma Sequence.","authors":"Takashi Murakami, Hiroyuki Mitomi, Naoki Tsugawa, Yudai Otsuki, Eiji Kamba, Yuichiro Kadomatsu, Takuo Hayashi, Tsuyoshi Saito, Tomoyoshi Shibuya, Takashi Yao, Akihito Nagahara","doi":"10.1155/grp/1010891","DOIUrl":null,"url":null,"abstract":"<p><p><b>Background and Aim:</b> Colorectal carcinogenesis involves two distinct pathways, the serrated neoplasia pathway and adenoma (AD)-carcinoma sequence, whose precursors are sessile serrated lesion (SSL) and traditional AD, respectively. MicroRNAs (miRNAs) regulate gene expression and play a crucial role in colorectal tumorigenesis. This study investigated miRNA expression in the precursors and early invasive carcinomas of the two pathways. <b>Methods:</b> Using real-time reverse transcription polymerase chain reaction, we quantified the expression of miR-20a, miR-21, miR-93, and miR-181b in 127 lesions, including 25 SSLs, 19 SSLs with high-grade dysplasia (SSL-HD), 13 SSLs with submucosal invasive carcinoma (SSL-SC), 19 ADs, 26 ADs with HD (AD-HD), and 25 ADs with SC (AD-SC). <b>Results:</b> In the SSL series, miR-93 (SSL vs. SSL-SC, <i>p</i> = 0.038) and miR-181b (SSL vs. SSL-HD/SSL-SC, <i>p</i> = 0.013/<i>p</i> < 0.001, respectively) levels decreased with tumor progression. In the AD lineage, the expression of miR-20a (AD vs. AD-SC and AD-HD vs. AD-SC, <i>p</i> < 0.001), miR-21 (AD vs. AD-HD/AD-SC and AD-HD vs. AD-SC, <i>p</i> < 0.001), and miR-181b (AD-HD vs. AD-SC, <i>p</i> = 0.020) increased during carcinogenesis. Compared with normal mucosa (baseline), miR-93 expression showed a stepwise increase with tumor progression in the AD lineage, whereas the values did not change during SSL carcinogenesis. In the AD lineage, miR-20a expression increased in early invasive carcinoma but decreased in this phase of the SSL series. Overall, miR-20a, miR-93, and miR-181b levels were significantly lower in SSL-SC than in AD-SC (all <i>p</i> < 0.001). <b>Conclusions:</b> These findings indicate that the SSL and AD pathways exhibit distinct miRNA expression dynamics during colorectal tumorigenesis, with the AD lineage showing a progressive increase in oncogenic miRNAs and the SSL series exhibiting selective downregulation or plateauing, particularly in invasive lesions. The differential expression of miR-20a, miR-21, miR-93, and miR-181b was presumed to be related to (epi)genetic alterations among serrated neoplasia and AD-carcinoma routes.</p>","PeriodicalId":12597,"journal":{"name":"Gastroenterology Research and Practice","volume":"2025 ","pages":"1010891"},"PeriodicalIF":1.4000,"publicationDate":"2025-07-14","publicationTypes":"Journal Article","fieldsOfStudy":null,"isOpenAccess":false,"openAccessPdf":"https://www.ncbi.nlm.nih.gov/pmc/articles/PMC12279426/pdf/","citationCount":"0","resultStr":null,"platform":"Semanticscholar","paperid":null,"PeriodicalName":"Gastroenterology Research and Practice","FirstCategoryId":"3","ListUrlMain":"https://doi.org/10.1155/grp/1010891","RegionNum":4,"RegionCategory":"医学","ArticlePicture":[],"TitleCN":null,"AbstractTextCN":null,"PMCID":null,"EPubDate":"2025/1/1 0:00:00","PubModel":"eCollection","JCR":"Q3","JCRName":"GASTROENTEROLOGY & HEPATOLOGY","Score":null,"Total":0}
引用次数: 0

Abstract

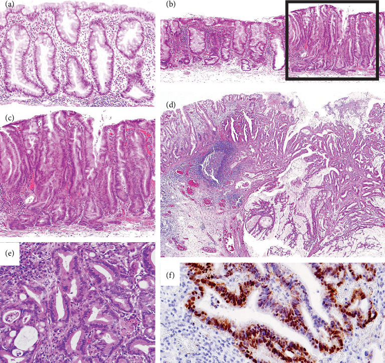
Background and Aim: Colorectal carcinogenesis involves two distinct pathways, the serrated neoplasia pathway and adenoma (AD)-carcinoma sequence, whose precursors are sessile serrated lesion (SSL) and traditional AD, respectively. MicroRNAs (miRNAs) regulate gene expression and play a crucial role in colorectal tumorigenesis. This study investigated miRNA expression in the precursors and early invasive carcinomas of the two pathways. Methods: Using real-time reverse transcription polymerase chain reaction, we quantified the expression of miR-20a, miR-21, miR-93, and miR-181b in 127 lesions, including 25 SSLs, 19 SSLs with high-grade dysplasia (SSL-HD), 13 SSLs with submucosal invasive carcinoma (SSL-SC), 19 ADs, 26 ADs with HD (AD-HD), and 25 ADs with SC (AD-SC). Results: In the SSL series, miR-93 (SSL vs. SSL-SC, p = 0.038) and miR-181b (SSL vs. SSL-HD/SSL-SC, p = 0.013/p < 0.001, respectively) levels decreased with tumor progression. In the AD lineage, the expression of miR-20a (AD vs. AD-SC and AD-HD vs. AD-SC, p < 0.001), miR-21 (AD vs. AD-HD/AD-SC and AD-HD vs. AD-SC, p < 0.001), and miR-181b (AD-HD vs. AD-SC, p = 0.020) increased during carcinogenesis. Compared with normal mucosa (baseline), miR-93 expression showed a stepwise increase with tumor progression in the AD lineage, whereas the values did not change during SSL carcinogenesis. In the AD lineage, miR-20a expression increased in early invasive carcinoma but decreased in this phase of the SSL series. Overall, miR-20a, miR-93, and miR-181b levels were significantly lower in SSL-SC than in AD-SC (all p < 0.001). Conclusions: These findings indicate that the SSL and AD pathways exhibit distinct miRNA expression dynamics during colorectal tumorigenesis, with the AD lineage showing a progressive increase in oncogenic miRNAs and the SSL series exhibiting selective downregulation or plateauing, particularly in invasive lesions. The differential expression of miR-20a, miR-21, miR-93, and miR-181b was presumed to be related to (epi)genetic alterations among serrated neoplasia and AD-carcinoma routes.

Abstract Image

Abstract Image

Abstract Image

microrna在结直肠锯齿状肿瘤通路和腺瘤-癌序列中的差异表达。
背景与目的:结直肠癌的发生涉及两种不同的途径,锯齿状瘤变途径和腺瘤(AD)-癌序列,其前体分别为无柄锯齿状病变(SSL)和传统AD。MicroRNAs (miRNAs)调控基因表达,在结直肠肿瘤发生中起重要作用。本研究探讨了miRNA在这两种途径的前体和早期浸润性癌中的表达。方法:采用实时逆转录聚合酶链反应,我们量化了miR-20a、miR-21、miR-93和miR-181b在127个病变中的表达,包括25个SSLs、19个SSLs伴高级别不典型增生(SSL-HD)、13个SSLs伴粘膜下浸润性癌(SSL-SC)、19个ADs、26个ADs伴HD (AD-HD)和25个ADs伴SC (AD-SC)。结果:在SSL系列中,miR-93 (SSL vs. SSL- sc, p = 0.038)和miR-181b (SSL vs. SSL- hd /SSL- sc, p = 0.013/p < 0.001)水平随着肿瘤进展而降低。在AD谱系中,miR-20a (AD vs AD- sc和AD- hd vs AD- sc, p < 0.001)、miR-21 (AD vs AD- hd /AD- sc和AD- hd vs AD- sc, p < 0.001)和miR-181b (AD- hd vs AD- sc, p = 0.020)的表达在癌变过程中升高。与正常粘膜(基线)相比,miR-93的表达随着AD谱系中肿瘤的进展而逐步增加,而在SSL癌变过程中,miR-93的表达没有改变。在AD谱系中,miR-20a在早期浸润性癌中表达升高,但在SSL系列的这一阶段表达降低。总体而言,miR-20a、miR-93和miR-181b水平在SSL-SC中显著低于AD-SC(均p < 0.001)。结论:这些发现表明,在结直肠肿瘤发生过程中,SSL和AD通路表现出不同的miRNA表达动态,AD谱系显示出致癌miRNA的逐渐增加,而SSL系列表现出选择性下调或稳定,特别是在侵袭性病变中。miR-20a、miR-21、miR-93和miR-181b的差异表达被认为与锯齿状瘤变和ad -癌途径中的(epi)遗传改变有关。
本文章由计算机程序翻译,如有差异,请以英文原文为准。
求助全文
约1分钟内获得全文 求助全文
来源期刊
Gastroenterology Research and Practice
Gastroenterology Research and Practice GASTROENTEROLOGY & HEPATOLOGY-
CiteScore
4.40
自引率
0.00%
发文量
91
审稿时长
1 months
期刊介绍: Gastroenterology Research and Practice is a peer-reviewed, Open Access journal which publishes original research articles, review articles and clinical studies based on all areas of gastroenterology, hepatology, pancreas and biliary, and related cancers. The journal welcomes submissions on the physiology, pathophysiology, etiology, diagnosis and therapy of gastrointestinal diseases. The aim of the journal is to provide cutting edge research related to the field of gastroenterology, as well as digestive diseases and disorders. Topics of interest include: Management of pancreatic diseases Third space endoscopy Endoscopic resection Therapeutic endoscopy Therapeutic endosonography.
×
引用
GB/T 7714-2015
复制
MLA
复制
APA
复制
导出至
BibTeX EndNote RefMan NoteFirst NoteExpress
×
提示
您的信息不完整,为了账户安全,请先补充。
现在去补充
×
提示
您因"违规操作"
具体请查看互助需知
我知道了
×
提示
确定
请完成安全验证×
copy
已复制链接
快去分享给好友吧!
我知道了
右上角分享
点击右上角分享
0
联系我们:info@booksci.cn Book学术提供免费学术资源搜索服务,方便国内外学者检索中英文文献。致力于提供最便捷和优质的服务体验。 Copyright © 2023 布克学术 All rights reserved.
京ICP备2023020795号-1
ghs 京公网安备 11010802042870号
Book学术文献互助
Book学术文献互助群
群 号:604180095
Book学术官方微信