Pembrolizumab-Induced Duodenitis Mimicking Celiac Disease.

IF 0.5 Q4 GASTROENTEROLOGY & HEPATOLOGY
ACG Case Reports Journal Pub Date : 2025-07-21 eCollection Date: 2025-07-01 DOI:10.14309/crj.0000000000001756
Yannis Lafazanos, Robin David, Nahren Asado, Miguel Gonzalez, Eli D Ehrenpreis
{"title":"Pembrolizumab-Induced Duodenitis Mimicking Celiac Disease.","authors":"Yannis Lafazanos, Robin David, Nahren Asado, Miguel Gonzalez, Eli D Ehrenpreis","doi":"10.14309/crj.0000000000001756","DOIUrl":null,"url":null,"abstract":"<p><p>Pembrolizumab is a programmed cell death-1 (PD-1) inhibitor frequently used as primary immunotherapy in many cancers, including melanoma, lung, renal cell, cervical, urothelial, and gastric cancers. Given its immune-checkpoint inhibition and upregulation of the immune response, pembrolizumab has been associated with many immune system-related adverse effects including stomatitis, conjunctivitis, pneumonitis, myositis, and even type 1 diabetes mellitus. Colitis is the most frequent gastrointestinal adverse reaction, with upper gastrointestinal reactions like esophagitis, gastritis, and duodenitis being rare. In this report, we present a case of pembrolizumab-induced enteropathy that endoscopically and histologically mimicked celiac disease.</p>","PeriodicalId":7394,"journal":{"name":"ACG Case Reports Journal","volume":"12 7","pages":"e01756"},"PeriodicalIF":0.5000,"publicationDate":"2025-07-21","publicationTypes":"Journal Article","fieldsOfStudy":null,"isOpenAccess":false,"openAccessPdf":"https://www.ncbi.nlm.nih.gov/pmc/articles/PMC12278897/pdf/","citationCount":"0","resultStr":null,"platform":"Semanticscholar","paperid":null,"PeriodicalName":"ACG Case Reports Journal","FirstCategoryId":"1085","ListUrlMain":"https://doi.org/10.14309/crj.0000000000001756","RegionNum":0,"RegionCategory":null,"ArticlePicture":[],"TitleCN":null,"AbstractTextCN":null,"PMCID":null,"EPubDate":"2025/7/1 0:00:00","PubModel":"eCollection","JCR":"Q4","JCRName":"GASTROENTEROLOGY & HEPATOLOGY","Score":null,"Total":0}
引用次数: 0

Abstract

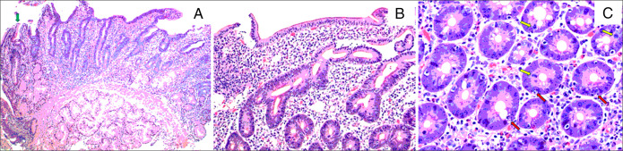
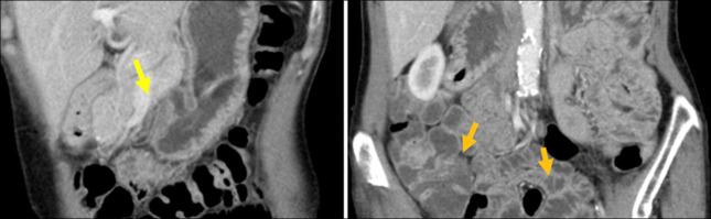
Pembrolizumab is a programmed cell death-1 (PD-1) inhibitor frequently used as primary immunotherapy in many cancers, including melanoma, lung, renal cell, cervical, urothelial, and gastric cancers. Given its immune-checkpoint inhibition and upregulation of the immune response, pembrolizumab has been associated with many immune system-related adverse effects including stomatitis, conjunctivitis, pneumonitis, myositis, and even type 1 diabetes mellitus. Colitis is the most frequent gastrointestinal adverse reaction, with upper gastrointestinal reactions like esophagitis, gastritis, and duodenitis being rare. In this report, we present a case of pembrolizumab-induced enteropathy that endoscopically and histologically mimicked celiac disease.

Abstract Image

Abstract Image

Abstract Image

pembrolizumab诱导的模拟乳糜泻的十二指肠炎。
Pembrolizumab是一种程序性细胞死亡-1 (PD-1)抑制剂,经常用作许多癌症的原发性免疫治疗,包括黑色素瘤、肺癌、肾细胞癌、宫颈癌、尿路上皮癌和胃癌。鉴于其免疫检查点抑制和免疫反应上调,派姆单抗与许多免疫系统相关的不良反应相关,包括口炎、结膜炎、肺炎、肌炎,甚至1型糖尿病。结肠炎是最常见的胃肠道不良反应,而上消化道反应如食管炎、胃炎和十二指肠炎是罕见的。在这个报告中,我们提出了一个病例派姆单抗诱导的肠病,内镜和组织学模拟乳糜泻。
本文章由计算机程序翻译,如有差异,请以英文原文为准。
求助全文
约1分钟内获得全文 求助全文
来源期刊
ACG Case Reports Journal
ACG Case Reports Journal GASTROENTEROLOGY & HEPATOLOGY-
自引率
14.30%
发文量
170
审稿时长
12 weeks
期刊介绍: ACG Case Reports Journal is a peer-reviewed, open-access publication that provides GI and hepatology fellows, private practice clinicians, and other healthcare providers an opportunity to share interesting case reports with their peers and with leaders in the field. ACG Case Reports Journal publishes case reports, images, videos and letters to the editor in all topics of gastroenterology and hepatology, including: Biliary Colon Endoscopy Esophagus Functional Bowel Disorders Inflammatory Bowel Disease Liver Nutrition and Obesity Pancreas Pathology Pediatric Small Bowel Stomach.
×
引用
GB/T 7714-2015
复制
MLA
复制
APA
复制
导出至
BibTeX EndNote RefMan NoteFirst NoteExpress
×
提示
您的信息不完整,为了账户安全,请先补充。
现在去补充
×
提示
您因"违规操作"
具体请查看互助需知
我知道了
×
提示
确定
请完成安全验证×
copy
已复制链接
快去分享给好友吧!
我知道了
右上角分享
点击右上角分享
0
联系我们:info@booksci.cn Book学术提供免费学术资源搜索服务,方便国内外学者检索中英文文献。致力于提供最便捷和优质的服务体验。 Copyright © 2023 布克学术 All rights reserved.
京ICP备2023020795号-1
ghs 京公网安备 11010802042870号
Book学术文献互助
Book学术文献互助群
群 号:604180095
Book学术官方微信