Antigens in membranous nephropathy: discovery and clinical implications

IF 39.8 1区 医学 Q1 UROLOGY & NEPHROLOGY
Sanjeev Sethi, Fernando C. Fervenza
{"title":"Antigens in membranous nephropathy: discovery and clinical implications","authors":"Sanjeev Sethi, Fernando C. Fervenza","doi":"10.1038/s41581-025-00980-z","DOIUrl":null,"url":null,"abstract":"Membranous nephropathy is an autoimmune disease that results in an accumulation of antigen–antibody (IgG) immune complexes along the subepithelial region of the glomerular basement membrane and is the most common cause of nephrotic syndrome in adults. The diagnosis of membranous nephropathy is based on the presence of granular IgG on immunofluorescence microscopy and subepithelial electron dense deposits along the glomerular basement membrane on electron microscopy. Prior to 2009, the target antigen within the immune complexes was unknown. However, in the past 15 years, and in particular the past 5 years, several target antigens have been identified. These target antigens include PLA2R, THSD7A, EXT1 and EXT2, NELL1, SEMA3B, NCAM1, CNTN1, HTRA1, FAT1, PCDH7, NTNG1, PCSK6, NDNF and MPO. Several rare putative antigens have also been reported. These findings have transformed our understanding of membranous nephropathy from that of an idiopathic disease, which results from an autoimmune response to an unknown target antigen, to a disease in which a target antigen can be identified in ~80% of cases. Improved understanding of the distinctive clinical association, pathology and prognostic findings of each target antigen will have implications for clinical evaluation and therapeutic targeting in patients with membranous nephropathy. Since the discovery of PLA2R, several target antigens associated with membranous nephropathy have been identified. This Review describes the distinct clinical associations, pathology and prognostic findings associated with each of the identified target antigens and implications for the reclassification of membranous nephropathy.","PeriodicalId":19059,"journal":{"name":"Nature Reviews Nephrology","volume":"21 10","pages":"653-670"},"PeriodicalIF":39.8000,"publicationDate":"2025-07-21","publicationTypes":"Journal Article","fieldsOfStudy":null,"isOpenAccess":false,"openAccessPdf":"","citationCount":"0","resultStr":null,"platform":"Semanticscholar","paperid":null,"PeriodicalName":"Nature Reviews Nephrology","FirstCategoryId":"3","ListUrlMain":"https://www.nature.com/articles/s41581-025-00980-z","RegionNum":1,"RegionCategory":"医学","ArticlePicture":[],"TitleCN":null,"AbstractTextCN":null,"PMCID":null,"EPubDate":"","PubModel":"","JCR":"Q1","JCRName":"UROLOGY & NEPHROLOGY","Score":null,"Total":0}
引用次数: 0

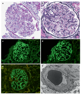
Abstract

Membranous nephropathy is an autoimmune disease that results in an accumulation of antigen–antibody (IgG) immune complexes along the subepithelial region of the glomerular basement membrane and is the most common cause of nephrotic syndrome in adults. The diagnosis of membranous nephropathy is based on the presence of granular IgG on immunofluorescence microscopy and subepithelial electron dense deposits along the glomerular basement membrane on electron microscopy. Prior to 2009, the target antigen within the immune complexes was unknown. However, in the past 15 years, and in particular the past 5 years, several target antigens have been identified. These target antigens include PLA2R, THSD7A, EXT1 and EXT2, NELL1, SEMA3B, NCAM1, CNTN1, HTRA1, FAT1, PCDH7, NTNG1, PCSK6, NDNF and MPO. Several rare putative antigens have also been reported. These findings have transformed our understanding of membranous nephropathy from that of an idiopathic disease, which results from an autoimmune response to an unknown target antigen, to a disease in which a target antigen can be identified in ~80% of cases. Improved understanding of the distinctive clinical association, pathology and prognostic findings of each target antigen will have implications for clinical evaluation and therapeutic targeting in patients with membranous nephropathy. Since the discovery of PLA2R, several target antigens associated with membranous nephropathy have been identified. This Review describes the distinct clinical associations, pathology and prognostic findings associated with each of the identified target antigens and implications for the reclassification of membranous nephropathy.

Abstract Image

Abstract Image

膜性肾病抗原的发现及其临床意义
膜性肾病是一种自身免疫性疾病,导致抗原抗体(IgG)免疫复合物沿肾小球基底膜上皮下区域积聚,是成人肾病综合征的最常见原因。膜性肾病的诊断是基于免疫荧光显微镜下颗粒状IgG的存在和电子显微镜下沿肾小球基底膜的上皮下电子致密沉积物。在2009年之前,免疫复合物内的靶抗原是未知的。然而,在过去的15年中,特别是在过去的5年中,已经确定了几个目标抗原。这些靶抗原包括PLA2R、THSD7A、EXT1和EXT2、NELL1、SEMA3B、NCAM1、CNTN1、HTRA1、FAT1、PCDH7、NTNG1、PCSK6、NDNF和MPO。一些罕见的推定抗原也被报道过。这些发现改变了我们对膜性肾病的认识,从一种由自身免疫反应对未知靶抗原引起的特发性疾病,转变为一种在约80%的病例中可以识别靶抗原的疾病。提高对每种靶抗原的独特临床关联、病理和预后结果的理解,将对膜性肾病患者的临床评估和治疗靶向具有重要意义。
本文章由计算机程序翻译,如有差异,请以英文原文为准。
求助全文
约1分钟内获得全文 求助全文
来源期刊
Nature Reviews Nephrology
Nature Reviews Nephrology 医学-泌尿学与肾脏学
CiteScore
39.00
自引率
1.20%
发文量
127
审稿时长
6-12 weeks
期刊介绍: Nature Reviews Nephrology aims to be the premier source of reviews and commentaries for the scientific communities it serves. It strives to publish authoritative, accessible articles. Articles are enhanced with clearly understandable figures, tables, and other display items. Nature Reviews Nephrology publishes Research Highlights, News & Views, Comments, Reviews, Perspectives, and Consensus Statements. The content is relevant to nephrologists and basic science researchers. The broad scope of the journal ensures that the work reaches the widest possible audience.
×
引用
GB/T 7714-2015
复制
MLA
复制
APA
复制
导出至
BibTeX EndNote RefMan NoteFirst NoteExpress
×
提示
您的信息不完整,为了账户安全,请先补充。
现在去补充
×
提示
您因"违规操作"
具体请查看互助需知
我知道了
×
提示
确定
请完成安全验证×
copy
已复制链接
快去分享给好友吧!
我知道了
右上角分享
点击右上角分享
0
联系我们:info@booksci.cn Book学术提供免费学术资源搜索服务,方便国内外学者检索中英文文献。致力于提供最便捷和优质的服务体验。 Copyright © 2023 布克学术 All rights reserved.
京ICP备2023020795号-1
ghs 京公网安备 11010802042870号
Book学术文献互助
Book学术文献互助群
群 号:604180095
Book学术官方微信