Pregnancy in May-Hegglin Anomaly: Diagnostic Challenges and Management Considerations.

IF 0.7 Q4 HEMATOLOGY
Case Reports in Hematology Pub Date : 2025-07-10 eCollection Date: 2025-01-01 DOI:10.1155/crh/4997232
Metban Mastanzade, Alper Koç
{"title":"Pregnancy in May-Hegglin Anomaly: Diagnostic Challenges and Management Considerations.","authors":"Metban Mastanzade, Alper Koç","doi":"10.1155/crh/4997232","DOIUrl":null,"url":null,"abstract":"<p><p><b>Introduction:</b> May-Hegglin anomaly (MHA) is a rare autosomal dominant genetic disorder caused by mutations in the MYH9 gene, leading to the presence of Döhle-like inclusions in neutrophils, macrothrombocytes, and thrombocytopenia. This report presents a unique case of a 33-year-old pregnant woman diagnosed with MHA and discusses the diagnostic challenges and management strategies. <b>Case Presentation:</b> A 33-year-old pregnant woman, 17 weeks into her pregnancy, presented with a history of persistent thrombocytopenia. She had previously been diagnosed with immune thrombocytopenia (ITP) and treated with steroids, intravenous immunoglobulin (IVIG), and thrombopoietin receptor agonists (TPO-RA). Her platelet counts had been between 35,000 and 50,000/μL. Upon referral to the hematology clinic, her platelet count was critically low at 15,000/μL, but the mean platelet volume (MPV) remained within normal limits. Despite her low platelet count, her coagulation profile was normal, and physical examination showed no pathological findings. <b>Diagnostic Assessment:</b> The patient's blood smear revealed giant platelets and Döhle-like inclusions in the granulocytes. Genetic testing confirmed a heterozygous mutation in the MYH9 gene, leading to the diagnosis of MHA. <b>Therapeutic Intervention:</b> Due to the risks associated with thrombocytopenia in pregnancy, her prenatal care included routine platelet monitoring and a normal bleeding time assessment. The patient underwent a cesarean delivery under general anesthesia, which resulted in the birth of a healthy baby boy. <b>Conclusion:</b> The case highlights the importance of accurate diagnosis and careful monitoring in managing pregnancy in patients with MHA. A multidisciplinary approach involving obstetricians and hematologists is crucial for optimizing maternal and neonatal outcomes.</p>","PeriodicalId":46307,"journal":{"name":"Case Reports in Hematology","volume":"2025 ","pages":"4997232"},"PeriodicalIF":0.7000,"publicationDate":"2025-07-10","publicationTypes":"Journal Article","fieldsOfStudy":null,"isOpenAccess":false,"openAccessPdf":"https://www.ncbi.nlm.nih.gov/pmc/articles/PMC12271717/pdf/","citationCount":"0","resultStr":null,"platform":"Semanticscholar","paperid":null,"PeriodicalName":"Case Reports in Hematology","FirstCategoryId":"1085","ListUrlMain":"https://doi.org/10.1155/crh/4997232","RegionNum":0,"RegionCategory":null,"ArticlePicture":[],"TitleCN":null,"AbstractTextCN":null,"PMCID":null,"EPubDate":"2025/1/1 0:00:00","PubModel":"eCollection","JCR":"Q4","JCRName":"HEMATOLOGY","Score":null,"Total":0}
引用次数: 0

Abstract

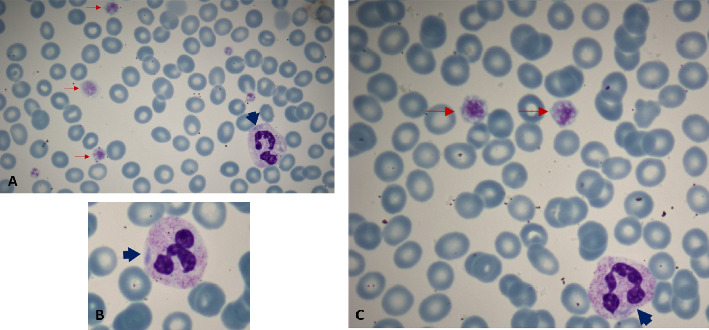
Introduction: May-Hegglin anomaly (MHA) is a rare autosomal dominant genetic disorder caused by mutations in the MYH9 gene, leading to the presence of Döhle-like inclusions in neutrophils, macrothrombocytes, and thrombocytopenia. This report presents a unique case of a 33-year-old pregnant woman diagnosed with MHA and discusses the diagnostic challenges and management strategies. Case Presentation: A 33-year-old pregnant woman, 17 weeks into her pregnancy, presented with a history of persistent thrombocytopenia. She had previously been diagnosed with immune thrombocytopenia (ITP) and treated with steroids, intravenous immunoglobulin (IVIG), and thrombopoietin receptor agonists (TPO-RA). Her platelet counts had been between 35,000 and 50,000/μL. Upon referral to the hematology clinic, her platelet count was critically low at 15,000/μL, but the mean platelet volume (MPV) remained within normal limits. Despite her low platelet count, her coagulation profile was normal, and physical examination showed no pathological findings. Diagnostic Assessment: The patient's blood smear revealed giant platelets and Döhle-like inclusions in the granulocytes. Genetic testing confirmed a heterozygous mutation in the MYH9 gene, leading to the diagnosis of MHA. Therapeutic Intervention: Due to the risks associated with thrombocytopenia in pregnancy, her prenatal care included routine platelet monitoring and a normal bleeding time assessment. The patient underwent a cesarean delivery under general anesthesia, which resulted in the birth of a healthy baby boy. Conclusion: The case highlights the importance of accurate diagnosis and careful monitoring in managing pregnancy in patients with MHA. A multidisciplinary approach involving obstetricians and hematologists is crucial for optimizing maternal and neonatal outcomes.

Abstract Image

妊娠在May-Hegglin异常:诊断挑战和管理考虑。
May-Hegglin异常(MHA)是一种罕见的常染色体显性遗传疾病,由MYH9基因突变引起,导致中性粒细胞、大血小板和血小板减少症中存在Döhle-like包涵体。本报告提出了一个33岁的孕妇诊断为MHA的独特案例,并讨论了诊断挑战和管理策略。病例介绍:一名33岁孕妇,妊娠17周,呈现持续性血小板减少史。她之前被诊断为免疫性血小板减少症(ITP),并接受类固醇、静脉注射免疫球蛋白(IVIG)和血小板生成素受体激动剂(TPO-RA)治疗。她的血小板计数在35,000 - 50,000/μL之间。转诊至血液科诊所时,患者血小板计数低至15000 /μL,但平均血小板体积(MPV)仍在正常范围内。尽管她的血小板计数较低,但她的凝血情况正常,体检未见病理发现。诊断评估:患者的血液涂片显示巨大的血小板和Döhle-like包涵体在粒细胞。基因检测证实了MYH9基因的杂合突变,从而诊断为MHA。治疗干预:由于妊娠期血小板减少的相关风险,她的产前护理包括常规血小板监测和正常出血时间评估。病人在全身麻醉下接受了剖宫产,生下了一个健康的男婴。结论:该病例强调了准确诊断和仔细监测在MHA患者妊娠管理中的重要性。涉及产科医生和血液学家的多学科方法对于优化孕产妇和新生儿结局至关重要。
本文章由计算机程序翻译,如有差异,请以英文原文为准。
求助全文
约1分钟内获得全文 求助全文
来源期刊
自引率
0.00%
发文量
51
审稿时长
13 weeks
×
引用
GB/T 7714-2015
复制
MLA
复制
APA
复制
导出至
BibTeX EndNote RefMan NoteFirst NoteExpress
×
提示
您的信息不完整,为了账户安全,请先补充。
现在去补充
×
提示
您因"违规操作"
具体请查看互助需知
我知道了
×
提示
确定
请完成安全验证×
copy
已复制链接
快去分享给好友吧!
我知道了
右上角分享
点击右上角分享
0
联系我们:info@booksci.cn Book学术提供免费学术资源搜索服务,方便国内外学者检索中英文文献。致力于提供最便捷和优质的服务体验。 Copyright © 2023 布克学术 All rights reserved.
京ICP备2023020795号-1
ghs 京公网安备 11010802042870号
Book学术文献互助
Book学术文献互助群
群 号:604180095
Book学术官方微信