Ultrasound assessment of abdominal wall muscle thickness in liver transplant recipients and healthy donors: a comparative study for the assessment of sarcopenia.

IF 1.5 Q3 RADIOLOGY, NUCLEAR MEDICINE & MEDICAL IMAGING
Journal of Ultrasonography Pub Date : 2025-06-30 eCollection Date: 2025-04-01 DOI:10.15557/jou.2025.0020
Shweta Aghi, Udit Dhingra, Gaurav Sindwani, Anil Yadav, Jaya Benjamin, Kanika Bansal, Viniyendra Pamecha, Deepak K Tempe
{"title":"Ultrasound assessment of abdominal wall muscle thickness in liver transplant recipients and healthy donors: a comparative study for the assessment of sarcopenia.","authors":"Shweta Aghi, Udit Dhingra, Gaurav Sindwani, Anil Yadav, Jaya Benjamin, Kanika Bansal, Viniyendra Pamecha, Deepak K Tempe","doi":"10.15557/jou.2025.0020","DOIUrl":null,"url":null,"abstract":"<p><strong>Aim: </strong>Sarcopenia is a significant predictor of postoperative morbidity and mortality in liver transplant recipients. Traditional assessment tools such as computed tomography (CT) and bioelectrical impedance analysis have limitations in clinical use. This study aimed to evaluate the utility of ultrasonography (USG) in assessing abdominal muscle thickness as a marker of sarcopenia.</p><p><strong>Material and methods: </strong>This prospective observational study was conducted at a tertiary liver transplant center between September 2023 and May 2024. USG was used to measure the thickness of the external oblique (EO), internal oblique, and transversus abdominis (TA) muscles in 41 liver transplant recipients and 41 healthy donors. Sarcopenia was also assessed using CT-based L3 skeletal muscle index (L3-SMI) and hand grip strength. Correlations with disease severity (Model for End-Stage Liver Disease, Child-Turcotte-Pugh (CTP)), postoperative outcomes, and ascitic fluid volume were analyzed.</p><p><strong>Results: </strong>Abdominal muscle thickness was significantly lower in recipients compared to donors (EO: 2.9 ± 1.0 mm vs. 4.5 ± 1.8 mm; TA: 2.2 ± 0.7 mm vs. 3.2 ± 1.0 mm; <i>p</i> <0.001). Sarcopenia prevalence was 78% by L3-SMI and 82.9% by hand grip strength. ROC analysis demonstrated that EO <3.6 mm and TA <2.55 mm predicted sarcopenia in males with high sensitivity and specificity. Muscle thinning correlated with higher CTP scores, greater ascitic fluid volume, and prolonged intensive care unit stay.</p><p><strong>Conclusions: </strong>USG-derived abdominal muscle thickness, especially EO <3.6 mm and TA <2.55 mm in males, is a reliable, non-invasive marker for sarcopenia in liver transplant candidates. It correlates with disease severity and postoperative morbidity, supporting its utility in pre-transplant risk stratification.</p>","PeriodicalId":45612,"journal":{"name":"Journal of Ultrasonography","volume":"25 101","pages":"20250020"},"PeriodicalIF":1.5000,"publicationDate":"2025-06-30","publicationTypes":"Journal Article","fieldsOfStudy":null,"isOpenAccess":false,"openAccessPdf":"https://www.ncbi.nlm.nih.gov/pmc/articles/PMC12276042/pdf/","citationCount":"0","resultStr":null,"platform":"Semanticscholar","paperid":null,"PeriodicalName":"Journal of Ultrasonography","FirstCategoryId":"1085","ListUrlMain":"https://doi.org/10.15557/jou.2025.0020","RegionNum":0,"RegionCategory":null,"ArticlePicture":[],"TitleCN":null,"AbstractTextCN":null,"PMCID":null,"EPubDate":"2025/4/1 0:00:00","PubModel":"eCollection","JCR":"Q3","JCRName":"RADIOLOGY, NUCLEAR MEDICINE & MEDICAL IMAGING","Score":null,"Total":0}
引用次数: 0

Abstract

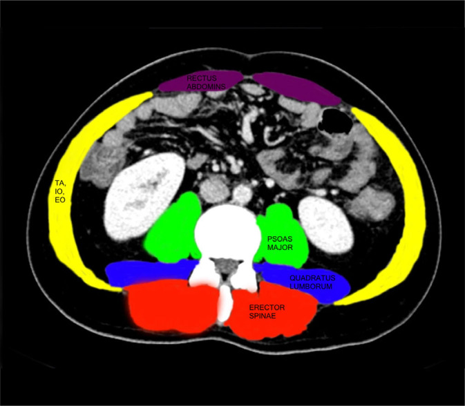
Aim: Sarcopenia is a significant predictor of postoperative morbidity and mortality in liver transplant recipients. Traditional assessment tools such as computed tomography (CT) and bioelectrical impedance analysis have limitations in clinical use. This study aimed to evaluate the utility of ultrasonography (USG) in assessing abdominal muscle thickness as a marker of sarcopenia.

Material and methods: This prospective observational study was conducted at a tertiary liver transplant center between September 2023 and May 2024. USG was used to measure the thickness of the external oblique (EO), internal oblique, and transversus abdominis (TA) muscles in 41 liver transplant recipients and 41 healthy donors. Sarcopenia was also assessed using CT-based L3 skeletal muscle index (L3-SMI) and hand grip strength. Correlations with disease severity (Model for End-Stage Liver Disease, Child-Turcotte-Pugh (CTP)), postoperative outcomes, and ascitic fluid volume were analyzed.

Results: Abdominal muscle thickness was significantly lower in recipients compared to donors (EO: 2.9 ± 1.0 mm vs. 4.5 ± 1.8 mm; TA: 2.2 ± 0.7 mm vs. 3.2 ± 1.0 mm; p <0.001). Sarcopenia prevalence was 78% by L3-SMI and 82.9% by hand grip strength. ROC analysis demonstrated that EO <3.6 mm and TA <2.55 mm predicted sarcopenia in males with high sensitivity and specificity. Muscle thinning correlated with higher CTP scores, greater ascitic fluid volume, and prolonged intensive care unit stay.

Conclusions: USG-derived abdominal muscle thickness, especially EO <3.6 mm and TA <2.55 mm in males, is a reliable, non-invasive marker for sarcopenia in liver transplant candidates. It correlates with disease severity and postoperative morbidity, supporting its utility in pre-transplant risk stratification.

Abstract Image

Abstract Image

Abstract Image

肝移植受者与健康供者腹壁肌肉厚度的超声评估:肌肉减少症评估的比较研究。
目的:肌肉减少症是肝移植受者术后发病率和死亡率的重要预测指标。传统的评估工具如计算机断层扫描(CT)和生物电阻抗分析在临床应用中存在局限性。本研究旨在评估超声(USG)在评估腹肌厚度作为肌肉减少症的标志的效用。材料和方法:本前瞻性观察性研究于2023年9月至2024年5月在三级肝移植中心进行。应用USG测量41例肝移植受者和41例健康供者的外斜肌(EO)、内斜肌和腹横肌(TA)的厚度。骨骼肌减少症也通过基于ct的L3骨骼肌指数(L3- smi)和手握力进行评估。分析疾病严重程度(终末期肝病模型,child - turcote - pugh (CTP))、术后结局和腹水容量的相关性。结果:与供体相比,受体腹肌厚度明显降低(EO: 2.9±1.0 mm vs 4.5±1.8 mm;TA: 2.2±0.7 mm vs. 3.2±1.0 mm;结论:usg引起的腹肌厚度,尤其是EO
本文章由计算机程序翻译,如有差异,请以英文原文为准。
求助全文
约1分钟内获得全文 求助全文
来源期刊
Journal of Ultrasonography
Journal of Ultrasonography RADIOLOGY, NUCLEAR MEDICINE & MEDICAL IMAGING-
CiteScore
2.30
自引率
0.00%
发文量
58
审稿时长
20 weeks
×
引用
GB/T 7714-2015
复制
MLA
复制
APA
复制
导出至
BibTeX EndNote RefMan NoteFirst NoteExpress
×
提示
您的信息不完整,为了账户安全,请先补充。
现在去补充
×
提示
您因"违规操作"
具体请查看互助需知
我知道了
×
提示
确定
请完成安全验证×
copy
已复制链接
快去分享给好友吧!
我知道了
右上角分享
点击右上角分享
0
联系我们:info@booksci.cn Book学术提供免费学术资源搜索服务,方便国内外学者检索中英文文献。致力于提供最便捷和优质的服务体验。 Copyright © 2023 布克学术 All rights reserved.
京ICP备2023020795号-1
ghs 京公网安备 11010802042870号
Book学术文献互助
Book学术文献互助群
群 号:604180095
Book学术官方微信