Molecular characterization and phylogenetic diversity of fowl aviadenovirus serotype 8b associated with inclusion body hepatitis in Thai chickens.

IF 2 Q2 AGRICULTURE, DAIRY & ANIMAL SCIENCE
Veterinary World Pub Date : 2025-06-01 Epub Date: 2025-06-26 DOI:10.14202/vetworld.2025.1685-1693
Tawatchai Pohuang, Kanlaya Worawong, Kingkarn Sarachu, Duangdaow Khunbutsri, Sucheeva Junnu
{"title":"Molecular characterization and phylogenetic diversity of fowl aviadenovirus serotype 8b associated with inclusion body hepatitis in Thai chickens.","authors":"Tawatchai Pohuang, Kanlaya Worawong, Kingkarn Sarachu, Duangdaow Khunbutsri, Sucheeva Junnu","doi":"10.14202/vetworld.2025.1685-1693","DOIUrl":null,"url":null,"abstract":"<p><strong>Background and aim: </strong>Inclusion body hepatitis (IBH) is an acute and economically significant disease in poultry, caused by fowl aviadenovirus (FAdV), particularly serotypes belonging to species D and E. In Thailand, outbreaks of IBH associated with FAdV have been sporadically reported since 2007, yet comprehensive molecular surveillance remains limited. This study aimed to detect, molecularly characterize, and phylogenetically analyze FAdV strains associated with IBH in commercial broiler and breeder chicken farms across four provinces in Thailand.</p><p><strong>Materials and methods: </strong>A total of 28 liver samples were collected from chickens exhibiting clinical signs of IBH in Kanchanaburi, Chonburi, Lopburi, and Songkhla Provinces between June and December 2024. Gross and histopathological examinations were conducted, followed by a polymerase chain reaction targeting the hexon gene. Six representative positive samples were subjected to DNA sequencing and phylogenetic analysis using MEGA 11 software. Comparative amino acid sequence analysis was also performed to evaluate potential strain divergence.</p><p><strong>Results: </strong>All 28 samples tested positive for FAdV, with gross pathology revealing pale, friable, and hemorrhagic livers. Histopathological analysis confirmed multifocal hepatic necrosis with characteristic basophilic intranuclear inclusion bodies. Sequencing and phylogenetic analysis identified all isolates as FAdV species E, serotype 8b. The isolates shared 94.73%-100% nucleotide similarity with reference strains from China, Indonesia, and Turkey. Phylogenetic clustering revealed two distinct groups among the Thai isolates, associated with specific amino acid substitutions at positions 17, 19, 20, 22, and 37 of the hexon gene.</p><p><strong>Conclusion: </strong>This study represents the first report of FAdV-E serotype 8b as the causative agent of IBH outbreaks in multiple commercial broiler and breeder chicken farms in Thailand. The detection of two phylogenetically distinct groups suggests the concurrent circulation of genetically diverse strains, potentially linked to vertical transmission routes. These findings underscore the urgent need for molecular surveillance, vaccination strategies utilizing local strains, and enhanced biosecurity measures to mitigate the spread of FAdV in the Thai poultry industry.</p>","PeriodicalId":23587,"journal":{"name":"Veterinary World","volume":"18 6","pages":"1685-1693"},"PeriodicalIF":2.0000,"publicationDate":"2025-06-01","publicationTypes":"Journal Article","fieldsOfStudy":null,"isOpenAccess":false,"openAccessPdf":"https://www.ncbi.nlm.nih.gov/pmc/articles/PMC12269957/pdf/","citationCount":"0","resultStr":null,"platform":"Semanticscholar","paperid":null,"PeriodicalName":"Veterinary World","FirstCategoryId":"1085","ListUrlMain":"https://doi.org/10.14202/vetworld.2025.1685-1693","RegionNum":0,"RegionCategory":null,"ArticlePicture":[],"TitleCN":null,"AbstractTextCN":null,"PMCID":null,"EPubDate":"2025/6/26 0:00:00","PubModel":"Epub","JCR":"Q2","JCRName":"AGRICULTURE, DAIRY & ANIMAL SCIENCE","Score":null,"Total":0}
引用次数: 0

Abstract

Background and aim: Inclusion body hepatitis (IBH) is an acute and economically significant disease in poultry, caused by fowl aviadenovirus (FAdV), particularly serotypes belonging to species D and E. In Thailand, outbreaks of IBH associated with FAdV have been sporadically reported since 2007, yet comprehensive molecular surveillance remains limited. This study aimed to detect, molecularly characterize, and phylogenetically analyze FAdV strains associated with IBH in commercial broiler and breeder chicken farms across four provinces in Thailand.

Materials and methods: A total of 28 liver samples were collected from chickens exhibiting clinical signs of IBH in Kanchanaburi, Chonburi, Lopburi, and Songkhla Provinces between June and December 2024. Gross and histopathological examinations were conducted, followed by a polymerase chain reaction targeting the hexon gene. Six representative positive samples were subjected to DNA sequencing and phylogenetic analysis using MEGA 11 software. Comparative amino acid sequence analysis was also performed to evaluate potential strain divergence.

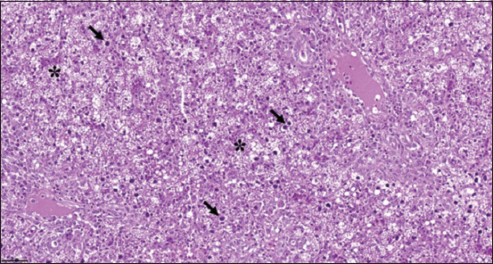
Results: All 28 samples tested positive for FAdV, with gross pathology revealing pale, friable, and hemorrhagic livers. Histopathological analysis confirmed multifocal hepatic necrosis with characteristic basophilic intranuclear inclusion bodies. Sequencing and phylogenetic analysis identified all isolates as FAdV species E, serotype 8b. The isolates shared 94.73%-100% nucleotide similarity with reference strains from China, Indonesia, and Turkey. Phylogenetic clustering revealed two distinct groups among the Thai isolates, associated with specific amino acid substitutions at positions 17, 19, 20, 22, and 37 of the hexon gene.

Conclusion: This study represents the first report of FAdV-E serotype 8b as the causative agent of IBH outbreaks in multiple commercial broiler and breeder chicken farms in Thailand. The detection of two phylogenetically distinct groups suggests the concurrent circulation of genetically diverse strains, potentially linked to vertical transmission routes. These findings underscore the urgent need for molecular surveillance, vaccination strategies utilizing local strains, and enhanced biosecurity measures to mitigate the spread of FAdV in the Thai poultry industry.

Abstract Image

Abstract Image

Abstract Image

与泰国鸡包涵体肝炎相关的8b型禽腺病毒的分子特征和系统发育多样性
背景和目的:包涵体肝炎(IBH)是由禽鸟腺病毒(FAdV)引起的家禽急性和经济上重要的疾病,特别是属于D和e种的血清型。在泰国,自2007年以来,与FAdV相关的IBH暴发时有报道,但全面的分子监测仍然有限。本研究旨在检测、分子表征和系统发育分析泰国四个省的商业肉鸡和种鸡场中与IBH相关的FAdV菌株。材料和方法:于2024年6月至12月在北碧府、春武里、华武里和宋卡省共采集了28只有IBH临床症状的鸡的肝脏样本。进行肉眼和组织病理学检查,随后进行针对六邻体基因的聚合酶链反应。采用MEGA 11软件对6份有代表性的阳性样本进行DNA测序和系统发育分析。比较氨基酸序列分析也用于评估潜在的菌株分化。结果:所有28例FAdV检测呈阳性,大体病理显示肝脏苍白、易碎和出血。组织病理学分析证实多灶性肝坏死伴特征性嗜碱性核内包涵体。测序和系统发育分析鉴定所有分离株均为FAdV E种,血清型8b。分离株与来自中国、印度尼西亚和土耳其的参考株核苷酸相似性为94.73% ~ 100%。系统发育聚类显示,泰国分离株中存在两个不同的类群,它们与六邻体基因的17、19、20、22和37个位置的特定氨基酸替换有关。结论:本研究首次报道了FAdV-E血清型8b是泰国多个商业肉鸡和种鸡养殖场IBH暴发的病原体。两个系统发育上不同的群体的检测表明,遗传多样性菌株同时传播,可能与垂直传播途径有关。这些发现强调迫切需要分子监测、利用当地菌株的疫苗接种策略和加强生物安全措施,以减轻FAdV在泰国家禽业的传播。
本文章由计算机程序翻译,如有差异,请以英文原文为准。
求助全文
约1分钟内获得全文 求助全文
来源期刊
Veterinary World
Veterinary World Multiple-
CiteScore
3.60
自引率
12.50%
发文量
317
审稿时长
16 weeks
期刊介绍: Veterinary World publishes high quality papers focusing on Veterinary and Animal Science. The fields of study are bacteriology, parasitology, pathology, virology, immunology, mycology, public health, biotechnology, meat science, fish diseases, nutrition, gynecology, genetics, wildlife, laboratory animals, animal models of human infections, prion diseases and epidemiology. Studies on zoonotic and emerging infections are highly appreciated. Review articles are highly appreciated. All articles published by Veterinary World are made freely and permanently accessible online. All articles to Veterinary World are posted online immediately as they are ready for publication.
×
引用
GB/T 7714-2015
复制
MLA
复制
APA
复制
导出至
BibTeX EndNote RefMan NoteFirst NoteExpress
×
提示
您的信息不完整,为了账户安全,请先补充。
现在去补充
×
提示
您因"违规操作"
具体请查看互助需知
我知道了
×
提示
确定
请完成安全验证×
copy
已复制链接
快去分享给好友吧!
我知道了
右上角分享
点击右上角分享
0
联系我们:info@booksci.cn Book学术提供免费学术资源搜索服务,方便国内外学者检索中英文文献。致力于提供最便捷和优质的服务体验。 Copyright © 2023 布克学术 All rights reserved.
京ICP备2023020795号-1
ghs 京公网安备 11010802042870号
Book学术文献互助
Book学术文献互助群
群 号:604180095
Book学术官方微信