A Fatal Case of Infection-Induced Neurofibromatosis Type 1 in an Adult.

IF 0.7 Q4 ONCOLOGY
Case Reports in Oncology Pub Date : 2025-06-17 eCollection Date: 2025-01-01 DOI:10.1159/000546973
Lingyun Cui, Yi Guo
{"title":"A Fatal Case of Infection-Induced Neurofibromatosis Type 1 in an Adult.","authors":"Lingyun Cui, Yi Guo","doi":"10.1159/000546973","DOIUrl":null,"url":null,"abstract":"<p><strong>Background: </strong>Neurofibromatosis type 1 (NF1) is an autosomal dominant hereditary tumor disorder caused by mutations in the <i>NF1</i> gene. It typically manifests in childhood with diverse clinical features, while adult-onset cases are relatively uncommon. In most instances, untreated neurofibromas pose minimal life-threatening risks even in the late stages of disease progression. However, severe multisystem complications may arise, leading to fatal outcomes.</p><p><strong>Case description: </strong>A 61-year-old male presented with a 2-month history of fever, abdominal pain, and bloating, which worsened over 4 days, accompanied by erythematous skin lesions and blisters. Despite multiple medical consultations and symptomatic treatment, his condition deteriorated, with recurrent fever and diarrhea. Upon admission to the emergency department, rapidly progressing skin lesions were noted. A preliminary diagnosis of intestinal obstruction, sepsis, and fixed drug eruption was considered, and the patient was transferred to the intensive care unit for further management. Comprehensive assessments, including thoracoabdominal CT imaging, microbiological testing, and skin lesion biopsy, were performed. Empirical antimicrobial therapy and supportive care were initiated, but microbiological tests remained negative. Histopathological examination of multiple skin biopsies confirmed neurofibromas. The patient experienced progressive enlargement of skin lesions, persistently elevated inflammatory markers, and rapid clinical deterioration, ultimately resulting in death.</p><p><strong>Conclusion: </strong>This case illustrates a rare presentation of adult-onset NF1 with an aggressive disease course and a severe systemic inflammatory response. The rapid progression underscores the underestimated risk of critical complications and mortality in adult patients with NF1.</p>","PeriodicalId":9625,"journal":{"name":"Case Reports in Oncology","volume":"18 1","pages":"979-987"},"PeriodicalIF":0.7000,"publicationDate":"2025-06-17","publicationTypes":"Journal Article","fieldsOfStudy":null,"isOpenAccess":false,"openAccessPdf":"https://www.ncbi.nlm.nih.gov/pmc/articles/PMC12274060/pdf/","citationCount":"0","resultStr":null,"platform":"Semanticscholar","paperid":null,"PeriodicalName":"Case Reports in Oncology","FirstCategoryId":"1085","ListUrlMain":"https://doi.org/10.1159/000546973","RegionNum":0,"RegionCategory":null,"ArticlePicture":[],"TitleCN":null,"AbstractTextCN":null,"PMCID":null,"EPubDate":"2025/1/1 0:00:00","PubModel":"eCollection","JCR":"Q4","JCRName":"ONCOLOGY","Score":null,"Total":0}
引用次数: 0

Abstract

Background: Neurofibromatosis type 1 (NF1) is an autosomal dominant hereditary tumor disorder caused by mutations in the NF1 gene. It typically manifests in childhood with diverse clinical features, while adult-onset cases are relatively uncommon. In most instances, untreated neurofibromas pose minimal life-threatening risks even in the late stages of disease progression. However, severe multisystem complications may arise, leading to fatal outcomes.

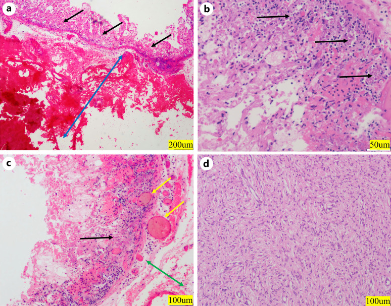
Case description: A 61-year-old male presented with a 2-month history of fever, abdominal pain, and bloating, which worsened over 4 days, accompanied by erythematous skin lesions and blisters. Despite multiple medical consultations and symptomatic treatment, his condition deteriorated, with recurrent fever and diarrhea. Upon admission to the emergency department, rapidly progressing skin lesions were noted. A preliminary diagnosis of intestinal obstruction, sepsis, and fixed drug eruption was considered, and the patient was transferred to the intensive care unit for further management. Comprehensive assessments, including thoracoabdominal CT imaging, microbiological testing, and skin lesion biopsy, were performed. Empirical antimicrobial therapy and supportive care were initiated, but microbiological tests remained negative. Histopathological examination of multiple skin biopsies confirmed neurofibromas. The patient experienced progressive enlargement of skin lesions, persistently elevated inflammatory markers, and rapid clinical deterioration, ultimately resulting in death.

Conclusion: This case illustrates a rare presentation of adult-onset NF1 with an aggressive disease course and a severe systemic inflammatory response. The rapid progression underscores the underestimated risk of critical complications and mortality in adult patients with NF1.

Abstract Image

Abstract Image

Abstract Image

1例成人感染致1型神经纤维瘤病的死亡病例。
背景:1型神经纤维瘤病(NF1)是由NF1基因突变引起的常染色体显性遗传性肿瘤疾病。它通常表现在儿童时期,具有多种临床特征,而成人发病病例相对罕见。在大多数情况下,即使在疾病进展的晚期,未经治疗的神经纤维瘤也会造成最小的危及生命的风险。然而,严重的多系统并发症可能出现,导致致命的后果。病例描述:一名61岁男性,有2个月的发热、腹痛和腹胀史,病情在4天内恶化,并伴有皮肤红斑和水疱。尽管多次求诊和对症治疗,他的病情恶化,反复发烧和腹泻。在进入急诊科时,注意到快速进展的皮肤病变。初步诊断为肠梗阻、败血症、固定药疹,转重症监护病房进一步治疗。进行综合评估,包括胸腹CT成像、微生物检测和皮肤病变活检。开始了经验性抗菌治疗和支持性护理,但微生物检测仍呈阴性。多次皮肤活检的组织病理学检查证实神经纤维瘤。患者皮肤病变进行性扩大,炎症标志物持续升高,临床迅速恶化,最终导致死亡。结论:本病例为罕见的成人发病NF1,病程具有侵袭性,并伴有严重的全身炎症反应。快速进展强调了NF1成人患者严重并发症和死亡率被低估的风险。
本文章由计算机程序翻译,如有差异,请以英文原文为准。
求助全文
约1分钟内获得全文 求助全文
来源期刊
CiteScore
1.40
自引率
12.50%
发文量
151
审稿时长
7 weeks
×
引用
GB/T 7714-2015
复制
MLA
复制
APA
复制
导出至
BibTeX EndNote RefMan NoteFirst NoteExpress
×
提示
您的信息不完整,为了账户安全,请先补充。
现在去补充
×
提示
您因"违规操作"
具体请查看互助需知
我知道了
×
提示
确定
请完成安全验证×
copy
已复制链接
快去分享给好友吧!
我知道了
右上角分享
点击右上角分享
0
联系我们:info@booksci.cn Book学术提供免费学术资源搜索服务,方便国内外学者检索中英文文献。致力于提供最便捷和优质的服务体验。 Copyright © 2023 布克学术 All rights reserved.
京ICP备2023020795号-1
ghs 京公网安备 11010802042870号
Book学术文献互助
Book学术文献互助群
群 号:604180095
Book学术官方微信