Treatment of Ovarian Clear Cell Carcinoma: A Case of Successful Management With Targeted Therapies.

IF 0.8 Q4 OBSTETRICS & GYNECOLOGY
Case Reports in Obstetrics and Gynecology Pub Date : 2025-07-12 eCollection Date: 2025-01-01 DOI:10.1155/crog/1319978
Sydney Pence, Kellie Rath, Aine Clements
{"title":"Treatment of Ovarian Clear Cell Carcinoma: A Case of Successful Management With Targeted Therapies.","authors":"Sydney Pence, Kellie Rath, Aine Clements","doi":"10.1155/crog/1319978","DOIUrl":null,"url":null,"abstract":"<p><p><b>Background:</b> Advanced stages of ovarian clear cell carcinoma have poorer prognoses than many other ovarian cancers. When standard treatments are ineffective, alternative options are needed. <b>Case:</b> A 56-year-old woman was diagnosed with ovarian clear cell carcinoma and treated with surgical management as well as carboplatin and paclitaxel. At recurrence, her disease progressed despite multiple chemotherapy regimens. A durable response was achieved first with alpelisib, chosen based on genomic testing. When progression occurred on this agent, a partial disease response was achieved with the combination of nivolumab and ipilimumab. <b>Conclusion:</b> The use of targeted therapies as well as the combination of nivolumab and ipilimumab is a promising option in advanced and recurrent cases of ovarian clear cell carcinoma.</p>","PeriodicalId":9610,"journal":{"name":"Case Reports in Obstetrics and Gynecology","volume":"2025 ","pages":"1319978"},"PeriodicalIF":0.8000,"publicationDate":"2025-07-12","publicationTypes":"Journal Article","fieldsOfStudy":null,"isOpenAccess":false,"openAccessPdf":"https://www.ncbi.nlm.nih.gov/pmc/articles/PMC12276056/pdf/","citationCount":"0","resultStr":null,"platform":"Semanticscholar","paperid":null,"PeriodicalName":"Case Reports in Obstetrics and Gynecology","FirstCategoryId":"1085","ListUrlMain":"https://doi.org/10.1155/crog/1319978","RegionNum":0,"RegionCategory":null,"ArticlePicture":[],"TitleCN":null,"AbstractTextCN":null,"PMCID":null,"EPubDate":"2025/1/1 0:00:00","PubModel":"eCollection","JCR":"Q4","JCRName":"OBSTETRICS & GYNECOLOGY","Score":null,"Total":0}
引用次数: 0

Abstract

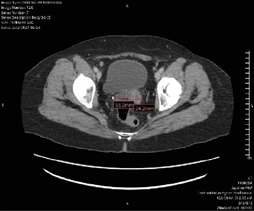
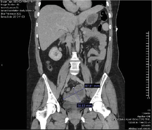
Background: Advanced stages of ovarian clear cell carcinoma have poorer prognoses than many other ovarian cancers. When standard treatments are ineffective, alternative options are needed. Case: A 56-year-old woman was diagnosed with ovarian clear cell carcinoma and treated with surgical management as well as carboplatin and paclitaxel. At recurrence, her disease progressed despite multiple chemotherapy regimens. A durable response was achieved first with alpelisib, chosen based on genomic testing. When progression occurred on this agent, a partial disease response was achieved with the combination of nivolumab and ipilimumab. Conclusion: The use of targeted therapies as well as the combination of nivolumab and ipilimumab is a promising option in advanced and recurrent cases of ovarian clear cell carcinoma.

Abstract Image

Abstract Image

Abstract Image

卵巢透明细胞癌的治疗:1例成功的靶向治疗。
背景:晚期卵巢透明细胞癌的预后比其他卵巢癌差。当标准治疗无效时,需要替代方案。病例:一名56岁的女性被诊断为卵巢透明细胞癌,并接受手术治疗以及卡铂和紫杉醇。复发时,尽管多次化疗,她的病情仍在恶化。根据基因组测试选择的alpelisib首先获得了持久的反应。当该药物出现进展时,纳武单抗和伊匹单抗联合使用可实现部分疾病缓解。结论:靶向治疗以及纳武单抗和伊匹单抗联合治疗是晚期和复发性卵巢透明细胞癌的一个有希望的选择。
本文章由计算机程序翻译,如有差异,请以英文原文为准。
求助全文
约1分钟内获得全文 求助全文
来源期刊
Case Reports in Obstetrics and Gynecology
Case Reports in Obstetrics and Gynecology Medicine-Obstetrics and Gynecology
CiteScore
1.30
自引率
0.00%
发文量
64
审稿时长
12 weeks
×
引用
GB/T 7714-2015
复制
MLA
复制
APA
复制
导出至
BibTeX EndNote RefMan NoteFirst NoteExpress
×
提示
您的信息不完整,为了账户安全,请先补充。
现在去补充
×
提示
您因"违规操作"
具体请查看互助需知
我知道了
×
提示
确定
请完成安全验证×
copy
已复制链接
快去分享给好友吧!
我知道了
右上角分享
点击右上角分享
0
联系我们:info@booksci.cn Book学术提供免费学术资源搜索服务,方便国内外学者检索中英文文献。致力于提供最便捷和优质的服务体验。 Copyright © 2023 布克学术 All rights reserved.
京ICP备2023020795号-1
ghs 京公网安备 11010802042870号
Book学术文献互助
Book学术文献互助群
群 号:604180095
Book学术官方微信