Raltitrexed as a substitute for 5-fluorouracil in combination with pembrolizumab and platinum in a patient with metastatic esophageal squamous cell carcinoma and coronary artery disease: a case report.

4区 医学
Annals of translational medicine Pub Date : 2025-06-27 Epub Date: 2025-06-24 DOI:10.21037/atm-25-38
Matthew Van Oirschot, Saurav Verma, Daniel Breadner, Andrea Vucetic
{"title":"Raltitrexed as a substitute for 5-fluorouracil in combination with pembrolizumab and platinum in a patient with metastatic esophageal squamous cell carcinoma and coronary artery disease: a case report.","authors":"Matthew Van Oirschot, Saurav Verma, Daniel Breadner, Andrea Vucetic","doi":"10.21037/atm-25-38","DOIUrl":null,"url":null,"abstract":"<p><strong>Background: </strong>Chemoimmunotherapy is the standard treatment for patients with metastatic esophageal squamous cell carcinoma (ESCC), for which 5-fluorouracil (5-FU) is commonly part of the chemotherapy regimen. Given that 5-FU has a mean cardiotoxicity risk of approximately 5%, raltitrexed has often been used as an alternative in patients with a history of fluoropyrimidine-associated cardiotoxicity or significant coronary artery disease (CAD). We report the first case, to our knowledge, of the use of raltitrexed in place of 5-FU in combination with pembrolizumab and platinum-based chemotherapy for the treatment of metastatic esophageal cancer in a patient with CAD.</p><p><strong>Case description: </strong>A 75-year-old gentleman with preexisting multivessel CAD was diagnosed with metastatic gastroesophageal junction (GEJ) squamous cell carcinoma (SCC) after presenting to medical attention with a 2-month history of worsening chest pain in addition to progressive dysphagia associated with weight loss. Following initial treatment with palliative locoregional radiotherapy to the lower mediastinum, GEJ, and upper abdomen, the decision was made to proceed with palliative systemic therapy. Considering his significant cardiac history, 5-FU was replaced with raltitrexed and combined with carboplatin and pembrolizumab. After a total of 10 months of treatment, the patient presented to hospital with recurrent chest pain and was diagnosed with a non-ST-elevation myocardial infarction (NSTEMI). Despite radiographic evidence of stability of his malignancy on systemic therapy, he was not considered to be a candidate for cardiac intervention. He was thus transitioned to a comfort-focused care approach and passed away shortly thereafter, with the cause of death being acute coronary syndrome.</p><p><strong>Conclusions: </strong>Although the patient unfortunately passed away prematurely due to preexisting CAD, there was no evidence of disease progression in the 10 months that he received treatment. In addition to an encouraging progression-free survival (PFS), the patient reported an overall improvement in quality of life while on therapy with no signals of toxicity from raltitrexed or immunotherapy. Overall, the present case demonstrates that chemotherapy in combination with immunotherapy for the treatment of advanced esophageal cancer appears to be safe and effective when raltitrexed is substituted for 5-FU, which is of particular relevance due to the many overlapping characteristics of patients with cardiac pathology and esophageal cancer.</p>","PeriodicalId":8216,"journal":{"name":"Annals of translational medicine","volume":"13 3","pages":"32"},"PeriodicalIF":0.0000,"publicationDate":"2025-06-27","publicationTypes":"Journal Article","fieldsOfStudy":null,"isOpenAccess":false,"openAccessPdf":"https://www.ncbi.nlm.nih.gov/pmc/articles/PMC12272798/pdf/","citationCount":"0","resultStr":null,"platform":"Semanticscholar","paperid":null,"PeriodicalName":"Annals of translational medicine","FirstCategoryId":"3","ListUrlMain":"https://doi.org/10.21037/atm-25-38","RegionNum":4,"RegionCategory":"医学","ArticlePicture":[],"TitleCN":null,"AbstractTextCN":null,"PMCID":null,"EPubDate":"2025/6/24 0:00:00","PubModel":"Epub","JCR":"","JCRName":"","Score":null,"Total":0}
引用次数: 0

Abstract

Background: Chemoimmunotherapy is the standard treatment for patients with metastatic esophageal squamous cell carcinoma (ESCC), for which 5-fluorouracil (5-FU) is commonly part of the chemotherapy regimen. Given that 5-FU has a mean cardiotoxicity risk of approximately 5%, raltitrexed has often been used as an alternative in patients with a history of fluoropyrimidine-associated cardiotoxicity or significant coronary artery disease (CAD). We report the first case, to our knowledge, of the use of raltitrexed in place of 5-FU in combination with pembrolizumab and platinum-based chemotherapy for the treatment of metastatic esophageal cancer in a patient with CAD.

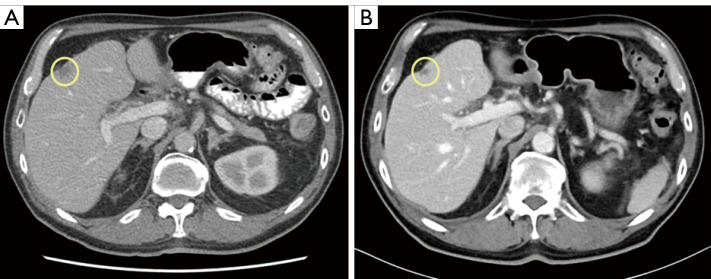
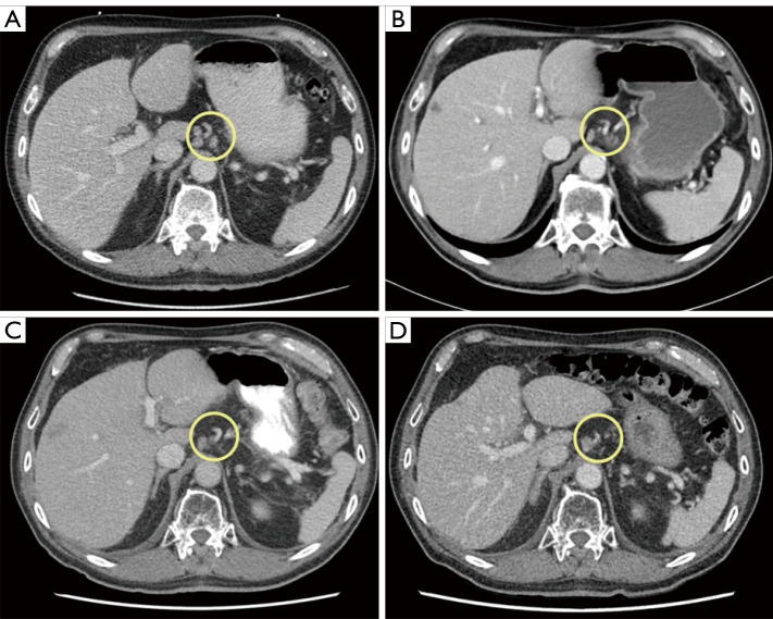
Case description: A 75-year-old gentleman with preexisting multivessel CAD was diagnosed with metastatic gastroesophageal junction (GEJ) squamous cell carcinoma (SCC) after presenting to medical attention with a 2-month history of worsening chest pain in addition to progressive dysphagia associated with weight loss. Following initial treatment with palliative locoregional radiotherapy to the lower mediastinum, GEJ, and upper abdomen, the decision was made to proceed with palliative systemic therapy. Considering his significant cardiac history, 5-FU was replaced with raltitrexed and combined with carboplatin and pembrolizumab. After a total of 10 months of treatment, the patient presented to hospital with recurrent chest pain and was diagnosed with a non-ST-elevation myocardial infarction (NSTEMI). Despite radiographic evidence of stability of his malignancy on systemic therapy, he was not considered to be a candidate for cardiac intervention. He was thus transitioned to a comfort-focused care approach and passed away shortly thereafter, with the cause of death being acute coronary syndrome.

Conclusions: Although the patient unfortunately passed away prematurely due to preexisting CAD, there was no evidence of disease progression in the 10 months that he received treatment. In addition to an encouraging progression-free survival (PFS), the patient reported an overall improvement in quality of life while on therapy with no signals of toxicity from raltitrexed or immunotherapy. Overall, the present case demonstrates that chemotherapy in combination with immunotherapy for the treatment of advanced esophageal cancer appears to be safe and effective when raltitrexed is substituted for 5-FU, which is of particular relevance due to the many overlapping characteristics of patients with cardiac pathology and esophageal cancer.

Abstract Image

Abstract Image

Abstract Image

雷替曲塞替代5-氟尿嘧啶联合派姆单抗和铂治疗转移性食管鳞状细胞癌合并冠状动脉疾病1例
背景:化疗免疫治疗是转移性食管鳞状细胞癌(ESCC)患者的标准治疗,5-氟尿嘧啶(5-FU)通常是化疗方案的一部分。鉴于5-FU的平均心脏毒性风险约为5%,雷曲塞常被用作有氟嘧啶相关心脏毒性史或严重冠状动脉疾病(CAD)的患者的替代药物。据我们所知,我们报告了第一例使用雷曲塞代替5-FU联合派姆单抗和铂基化疗治疗冠心病患者转移性食管癌的病例。病例描述:一位75岁的男性,既往患有多血管CAD,在就诊2个月胸痛加重,并伴有进行性吞咽困难和体重减轻后,被诊断为转移性胃食管交界处(GEJ)鳞状细胞癌(SCC)。在最初对下纵隔、GEJ和上腹部进行姑息性局部放疗后,决定继续进行姑息性全身治疗。考虑到他严重的心脏病史,我们将5-FU替换为雷替曲塞,并联合卡铂和派姆单抗。在总共10个月的治疗后,患者因复发性胸痛就诊,并被诊断为非st段抬高型心肌梗死(NSTEMI)。尽管放射学证据表明他的恶性肿瘤在全身治疗下稳定,但他不被认为是心脏介入治疗的候选人。因此,他被转移到以舒适为重点的护理方法,此后不久就去世了,死因是急性冠状动脉综合征。结论:虽然该患者因先前存在的CAD不幸过早死亡,但在接受治疗的10个月里,没有疾病进展的证据。除了令人鼓舞的无进展生存期(PFS)外,患者报告在治疗期间总体生活质量得到改善,没有雷替曲塞或免疫治疗的毒性信号。总的来说,本病例表明,当雷替曲塞取代5-FU时,化疗联合免疫治疗治疗晚期食管癌似乎是安全有效的,这是特别相关的,因为心脏病理和食管癌患者有许多重叠的特征。
本文章由计算机程序翻译,如有差异,请以英文原文为准。
求助全文
约1分钟内获得全文 求助全文
来源期刊
自引率
0.00%
发文量
769
期刊介绍: The Annals of Translational Medicine (Ann Transl Med; ATM; Print ISSN 2305-5839; Online ISSN 2305-5847) is an international, peer-reviewed Open Access journal featuring original and observational investigations in the broad fields of laboratory, clinical, and public health research, aiming to provide practical up-to-date information in significant research from all subspecialties of medicine and to broaden the readers’ vision and horizon from bench to bed and bed to bench. It is published quarterly (April 2013- Dec. 2013), monthly (Jan. 2014 - Feb. 2015), biweekly (March 2015-) and openly distributed worldwide. Annals of Translational Medicine is indexed in PubMed in Sept 2014 and in SCIE in 2018. Specific areas of interest include, but not limited to, multimodality therapy, epidemiology, biomarkers, imaging, biology, pathology, and technical advances related to medicine. Submissions describing preclinical research with potential for application to human disease, and studies describing research obtained from preliminary human experimentation with potential to further the understanding of biological mechanism underlying disease are encouraged. Also warmly welcome are studies describing public health research pertinent to clinic, disease diagnosis and prevention, or healthcare policy.
 With a focus on interdisciplinary academic cooperation, ATM aims to expedite the translation of scientific discovery into new or improved standards of management and health outcomes practice.
×
引用
GB/T 7714-2015
复制
MLA
复制
APA
复制
导出至
BibTeX EndNote RefMan NoteFirst NoteExpress
×
提示
您的信息不完整,为了账户安全,请先补充。
现在去补充
×
提示
您因"违规操作"
具体请查看互助需知
我知道了
×
提示
确定
请完成安全验证×
copy
已复制链接
快去分享给好友吧!
我知道了
右上角分享
点击右上角分享
0
联系我们:info@booksci.cn Book学术提供免费学术资源搜索服务,方便国内外学者检索中英文文献。致力于提供最便捷和优质的服务体验。 Copyright © 2023 布克学术 All rights reserved.
京ICP备2023020795号-1
ghs 京公网安备 11010802042870号
Book学术文献互助
Book学术文献互助群
群 号:604180095
Book学术官方微信