An Elusive Case of Arterial Appendiceal Bleeding: Diagnostic and Therapeutic Insights.

IF 0.5 Q4 GASTROENTEROLOGY & HEPATOLOGY
ACG Case Reports Journal Pub Date : 2025-07-18 eCollection Date: 2025-07-01 DOI:10.14309/crj.0000000000001778
Seema Belani, Janki Luther, Surachai Amornsawadwattana, Judy Trieu
{"title":"An Elusive Case of Arterial Appendiceal Bleeding: Diagnostic and Therapeutic Insights.","authors":"Seema Belani, Janki Luther, Surachai Amornsawadwattana, Judy Trieu","doi":"10.14309/crj.0000000000001778","DOIUrl":null,"url":null,"abstract":"<p><p>We present a case of hematochezia because of a small arterial bleed endoscopically seen at the appendiceal orifice. The bleed was slowed with hemostatic clip placement, which allowed for preoperative imaging and appropriate resuscitation. The patient was taken for definitive laparoscopic appendectomy with complete resolution of gastrointestinal bleeding.</p>","PeriodicalId":7394,"journal":{"name":"ACG Case Reports Journal","volume":"12 7","pages":"e01778"},"PeriodicalIF":0.5000,"publicationDate":"2025-07-18","publicationTypes":"Journal Article","fieldsOfStudy":null,"isOpenAccess":false,"openAccessPdf":"https://www.ncbi.nlm.nih.gov/pmc/articles/PMC12273662/pdf/","citationCount":"0","resultStr":null,"platform":"Semanticscholar","paperid":null,"PeriodicalName":"ACG Case Reports Journal","FirstCategoryId":"1085","ListUrlMain":"https://doi.org/10.14309/crj.0000000000001778","RegionNum":0,"RegionCategory":null,"ArticlePicture":[],"TitleCN":null,"AbstractTextCN":null,"PMCID":null,"EPubDate":"2025/7/1 0:00:00","PubModel":"eCollection","JCR":"Q4","JCRName":"GASTROENTEROLOGY & HEPATOLOGY","Score":null,"Total":0}
引用次数: 0

Abstract

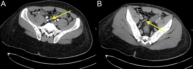
We present a case of hematochezia because of a small arterial bleed endoscopically seen at the appendiceal orifice. The bleed was slowed with hemostatic clip placement, which allowed for preoperative imaging and appropriate resuscitation. The patient was taken for definitive laparoscopic appendectomy with complete resolution of gastrointestinal bleeding.

Abstract Image

Abstract Image

阑尾动脉性出血一例:诊断和治疗见解。
我们提出一个病例的便血,因为一个小动脉出血内镜看到在阑尾口。止血夹的放置减缓了出血,这使得术前成像和适当的复苏成为可能。患者接受腹腔镜阑尾切除术,胃肠道出血完全解决。
本文章由计算机程序翻译,如有差异,请以英文原文为准。
求助全文
约1分钟内获得全文 求助全文
来源期刊
ACG Case Reports Journal
ACG Case Reports Journal GASTROENTEROLOGY & HEPATOLOGY-
自引率
14.30%
发文量
170
审稿时长
12 weeks
期刊介绍: ACG Case Reports Journal is a peer-reviewed, open-access publication that provides GI and hepatology fellows, private practice clinicians, and other healthcare providers an opportunity to share interesting case reports with their peers and with leaders in the field. ACG Case Reports Journal publishes case reports, images, videos and letters to the editor in all topics of gastroenterology and hepatology, including: Biliary Colon Endoscopy Esophagus Functional Bowel Disorders Inflammatory Bowel Disease Liver Nutrition and Obesity Pancreas Pathology Pediatric Small Bowel Stomach.
×
引用
GB/T 7714-2015
复制
MLA
复制
APA
复制
导出至
BibTeX EndNote RefMan NoteFirst NoteExpress
×
提示
您的信息不完整,为了账户安全,请先补充。
现在去补充
×
提示
您因"违规操作"
具体请查看互助需知
我知道了
×
提示
确定
请完成安全验证×
copy
已复制链接
快去分享给好友吧!
我知道了
右上角分享
点击右上角分享
0
联系我们:info@booksci.cn Book学术提供免费学术资源搜索服务,方便国内外学者检索中英文文献。致力于提供最便捷和优质的服务体验。 Copyright © 2023 布克学术 All rights reserved.
京ICP备2023020795号-1
ghs 京公网安备 11010802042870号
Book学术文献互助
Book学术文献互助群
群 号:604180095
Book学术官方微信