Acute Respiratory Failure in Allergic Bronchopulmonary Aspergillosis Characterized by Diffuse Lung Lesions: A Case Report and Literature Review

IF 2.3 4区 医学 Q3 RESPIRATORY SYSTEM
Hongmei Ren
{"title":"Acute Respiratory Failure in Allergic Bronchopulmonary Aspergillosis Characterized by Diffuse Lung Lesions: A Case Report and Literature Review","authors":"Hongmei Ren","doi":"10.1111/crj.70115","DOIUrl":null,"url":null,"abstract":"<p>Allergic bronchopulmonary aspergillosis (ABPA) is an allergic lung disease caused by sensitivity to <i>Aspergillus fumigatus</i>. Diffuse lung lesions as a radiological presentation of ABPA are exceedingly rare, with no documented case in the literature. We present a case with asthma. High-resolution computed tomography (HRCT) of the chest revealed diffuse lung lesions. Additionally, arterial blood gas analysis revealed life-threatening acute Type II respiratory failure. Initially, there was suspicion of a mycobacterial infection. However, a subsequent diagnosis revealed the atypical presentation of ABPA. Finally, the patient's symptoms improved, and lung shadows were absorbed after undergoing mechanical ventilation with tracheal intubation and receiving methylprednisolone treatment.</p>","PeriodicalId":55247,"journal":{"name":"Clinical Respiratory Journal","volume":"19 7","pages":""},"PeriodicalIF":2.3000,"publicationDate":"2025-07-22","publicationTypes":"Journal Article","fieldsOfStudy":null,"isOpenAccess":false,"openAccessPdf":"https://onlinelibrary.wiley.com/doi/epdf/10.1111/crj.70115","citationCount":"0","resultStr":null,"platform":"Semanticscholar","paperid":null,"PeriodicalName":"Clinical Respiratory Journal","FirstCategoryId":"3","ListUrlMain":"https://onlinelibrary.wiley.com/doi/10.1111/crj.70115","RegionNum":4,"RegionCategory":"医学","ArticlePicture":[],"TitleCN":null,"AbstractTextCN":null,"PMCID":null,"EPubDate":"","PubModel":"","JCR":"Q3","JCRName":"RESPIRATORY SYSTEM","Score":null,"Total":0}
引用次数: 0

Abstract

Allergic bronchopulmonary aspergillosis (ABPA) is an allergic lung disease caused by sensitivity to Aspergillus fumigatus. Diffuse lung lesions as a radiological presentation of ABPA are exceedingly rare, with no documented case in the literature. We present a case with asthma. High-resolution computed tomography (HRCT) of the chest revealed diffuse lung lesions. Additionally, arterial blood gas analysis revealed life-threatening acute Type II respiratory failure. Initially, there was suspicion of a mycobacterial infection. However, a subsequent diagnosis revealed the atypical presentation of ABPA. Finally, the patient's symptoms improved, and lung shadows were absorbed after undergoing mechanical ventilation with tracheal intubation and receiving methylprednisolone treatment.

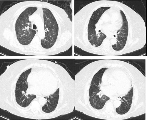
Abstract Image

以弥漫性肺病变为特征的过敏性支气管肺曲菌病急性呼吸衰竭1例报告并文献复习
过敏性支气管肺曲霉病(ABPA)是由对烟曲霉敏感引起的一种过敏性肺部疾病。弥漫性肺病变作为ABPA的影像学表现是非常罕见的,在文献中没有记录的病例。我们报告一例哮喘。胸部高分辨率计算机断层扫描(HRCT)显示弥漫性肺病变。此外,动脉血气分析显示危及生命的急性II型呼吸衰竭。最初,怀疑是分枝杆菌感染。然而,随后的诊断显示ABPA的不典型表现。经气管插管机械通气及甲强的松龙治疗后,患者症状改善,肺影吸收。
本文章由计算机程序翻译,如有差异,请以英文原文为准。
求助全文
约1分钟内获得全文 求助全文
来源期刊
Clinical Respiratory Journal
Clinical Respiratory Journal 医学-呼吸系统
CiteScore
3.70
自引率
0.00%
发文量
104
审稿时长
>12 weeks
期刊介绍: Overview Effective with the 2016 volume, this journal will be published in an online-only format. Aims and Scope The Clinical Respiratory Journal (CRJ) provides a forum for clinical research in all areas of respiratory medicine from clinical lung disease to basic research relevant to the clinic. We publish original research, review articles, case studies, editorials and book reviews in all areas of clinical lung disease including: Asthma Allergy COPD Non-invasive ventilation Sleep related breathing disorders Interstitial lung diseases Lung cancer Clinical genetics Rhinitis Airway and lung infection Epidemiology Pediatrics CRJ provides a fast-track service for selected Phase II and Phase III trial studies. Keywords Clinical Respiratory Journal, respiratory, pulmonary, medicine, clinical, lung disease, Abstracting and Indexing Information Academic Search (EBSCO Publishing) Academic Search Alumni Edition (EBSCO Publishing) Embase (Elsevier) Health & Medical Collection (ProQuest) Health Research Premium Collection (ProQuest) HEED: Health Economic Evaluations Database (Wiley-Blackwell) Hospital Premium Collection (ProQuest) Journal Citation Reports/Science Edition (Clarivate Analytics) MEDLINE/PubMed (NLM) ProQuest Central (ProQuest) Science Citation Index Expanded (Clarivate Analytics) SCOPUS (Elsevier)
×
引用
GB/T 7714-2015
复制
MLA
复制
APA
复制
导出至
BibTeX EndNote RefMan NoteFirst NoteExpress
×
提示
您的信息不完整,为了账户安全,请先补充。
现在去补充
×
提示
您因"违规操作"
具体请查看互助需知
我知道了
×
提示
确定
请完成安全验证×
copy
已复制链接
快去分享给好友吧!
我知道了
右上角分享
点击右上角分享
0
联系我们:info@booksci.cn Book学术提供免费学术资源搜索服务,方便国内外学者检索中英文文献。致力于提供最便捷和优质的服务体验。 Copyright © 2023 布克学术 All rights reserved.
京ICP备2023020795号-1
ghs 京公网安备 11010802042870号
Book学术文献互助
Book学术文献互助群
群 号:604180095
Book学术官方微信