Differential expression of haematopoietic prostaglandin D synthase by POU2F3‑positive tuft cells in conventional bilayered oncocytic and metaplastic epithelia of Warthin tumours.

IF 3.5 3区 医学 Q2 MEDICINE, RESEARCH & EXPERIMENTAL
Molecular medicine reports Pub Date : 2025-10-01 Epub Date: 2025-07-19 DOI:10.3892/mmr.2025.13624
Kenta Hosomi, Akira Sato, Mitsuaki Ishida, Kensuke Nakanishi, Tetsuya Terada, Shin-Ichi Haginomori, Yoshinobu Hirose, Ko Fujimori
{"title":"Differential expression of haematopoietic prostaglandin D synthase by POU2F3‑positive tuft cells in conventional bilayered oncocytic and metaplastic epithelia of Warthin tumours.","authors":"Kenta Hosomi, Akira Sato, Mitsuaki Ishida, Kensuke Nakanishi, Tetsuya Terada, Shin-Ichi Haginomori, Yoshinobu Hirose, Ko Fujimori","doi":"10.3892/mmr.2025.13624","DOIUrl":null,"url":null,"abstract":"<p><p>Warthin tumours (WT), the second most common benign salivary gland tumour, are histopathologically composed of bilayered oncocytic epithelial cells with occasional metaplastic epithelium. Tuft cells, which are chemosensory epithelial cells, are present in WT. Tuft cells serve various roles by producing physiologically active substances, such as prostaglandins (PGs). PGD2 released from tuft cells is crucial for tissue repair and inhibiting pancreatic carcinogenesis. However, whether or not tuft cells in WT produce PGD2 has not yet been elucidated. The present study aimed to investigate the production of PGD<sub>2</sub> in POU class 2 homeobox 3 (POU2F3; a specific tuft cell marker)‑positive cells of WT and normal salivary glands. Consecutive patients with WT who underwent surgical resection were selected. Dual immunohistochemical staining for POU2F3 and haematopoietic PGD synthase (H‑PGDS) was performed. The present study included 28 patients with WT of the parotid gland (all male patients; median age, 68 years). The conventional bilayered oncocytic epithelium was present in all tumours; squamous metaplastic epithelium and conventional bilayered oncocytic epithelium were observed in 16 patients. Dual immunohistochemical analysis revealed that POU2F3+/H‑PGDS‑ cells were exclusively present in the striated duct of the normal salivary gland, and abundant POU2F3‑positive tuft cells were observed in both the conventional bilayered oncocytic and metaplastic squamous epithelia of WT. The median ratio of POU2F3‑positive cells expressing H‑PGDS was significantly higher in the conventional oncocytic epithelium (89.9%) than in the metaplastic squamous epithelium (10.6%) of WT (P=0.00044). The present results suggest a link between tissue injury to the striated duct and the pathogenesis of WT, and that PGD<sub>2</sub> released from POU2F3‑positive cells in the conventional bilayered oncocytic epithelium is associated with ongoing tissue injury. Further studies are warranted to clarify the function of tuft cells in WT and gain deeper insights into the pathogenesis of WT.</p>","PeriodicalId":18818,"journal":{"name":"Molecular medicine reports","volume":"32 4","pages":""},"PeriodicalIF":3.5000,"publicationDate":"2025-10-01","publicationTypes":"Journal Article","fieldsOfStudy":null,"isOpenAccess":false,"openAccessPdf":"https://www.ncbi.nlm.nih.gov/pmc/articles/PMC12308854/pdf/","citationCount":"0","resultStr":null,"platform":"Semanticscholar","paperid":null,"PeriodicalName":"Molecular medicine reports","FirstCategoryId":"3","ListUrlMain":"https://doi.org/10.3892/mmr.2025.13624","RegionNum":3,"RegionCategory":"医学","ArticlePicture":[],"TitleCN":null,"AbstractTextCN":null,"PMCID":null,"EPubDate":"2025/7/19 0:00:00","PubModel":"Epub","JCR":"Q2","JCRName":"MEDICINE, RESEARCH & EXPERIMENTAL","Score":null,"Total":0}
引用次数: 0

Abstract

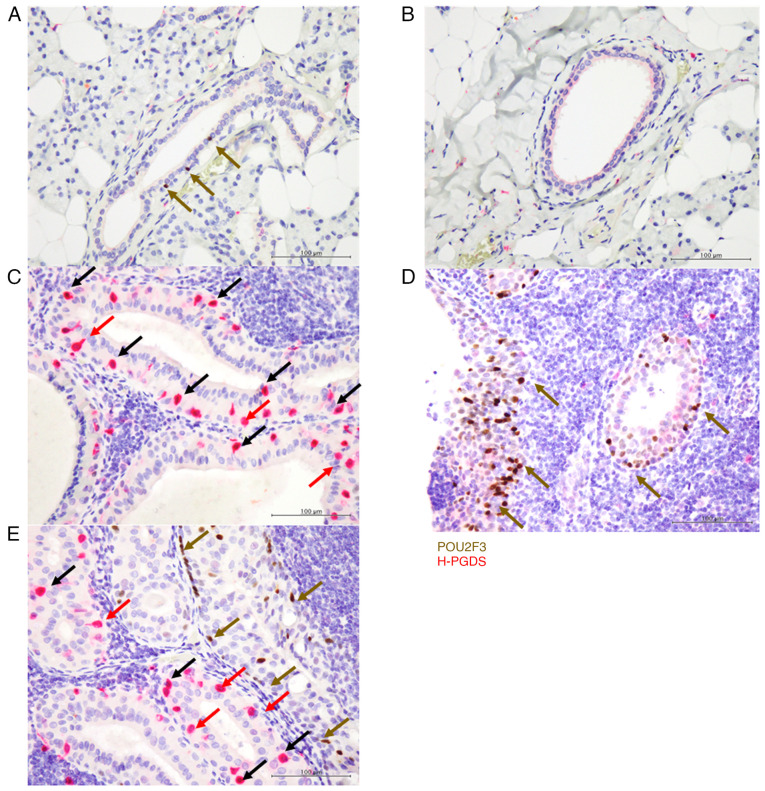
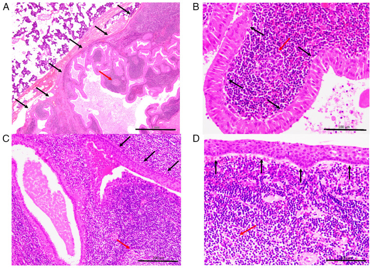
Warthin tumours (WT), the second most common benign salivary gland tumour, are histopathologically composed of bilayered oncocytic epithelial cells with occasional metaplastic epithelium. Tuft cells, which are chemosensory epithelial cells, are present in WT. Tuft cells serve various roles by producing physiologically active substances, such as prostaglandins (PGs). PGD2 released from tuft cells is crucial for tissue repair and inhibiting pancreatic carcinogenesis. However, whether or not tuft cells in WT produce PGD2 has not yet been elucidated. The present study aimed to investigate the production of PGD2 in POU class 2 homeobox 3 (POU2F3; a specific tuft cell marker)‑positive cells of WT and normal salivary glands. Consecutive patients with WT who underwent surgical resection were selected. Dual immunohistochemical staining for POU2F3 and haematopoietic PGD synthase (H‑PGDS) was performed. The present study included 28 patients with WT of the parotid gland (all male patients; median age, 68 years). The conventional bilayered oncocytic epithelium was present in all tumours; squamous metaplastic epithelium and conventional bilayered oncocytic epithelium were observed in 16 patients. Dual immunohistochemical analysis revealed that POU2F3+/H‑PGDS‑ cells were exclusively present in the striated duct of the normal salivary gland, and abundant POU2F3‑positive tuft cells were observed in both the conventional bilayered oncocytic and metaplastic squamous epithelia of WT. The median ratio of POU2F3‑positive cells expressing H‑PGDS was significantly higher in the conventional oncocytic epithelium (89.9%) than in the metaplastic squamous epithelium (10.6%) of WT (P=0.00044). The present results suggest a link between tissue injury to the striated duct and the pathogenesis of WT, and that PGD2 released from POU2F3‑positive cells in the conventional bilayered oncocytic epithelium is associated with ongoing tissue injury. Further studies are warranted to clarify the function of tuft cells in WT and gain deeper insights into the pathogenesis of WT.

Abstract Image

Abstract Image

Abstract Image

POU2F3阳性簇状细胞在Warthin肿瘤常规双层嗜瘤细胞和化生上皮中造血前列腺素D合成酶的差异表达
沃氏瘤(WT)是第二常见的良性唾液腺肿瘤,在组织病理学上由双层嗜瘤细胞上皮细胞组成,偶有上皮化生。簇毛细胞是一种化学感觉上皮细胞,存在于WT中。簇毛细胞通过产生生理活性物质,如前列腺素(pg),发挥多种作用。簇状细胞释放的PGD2对组织修复和抑制胰腺癌发生至关重要。然而,WT中的簇状细胞是否产生PGD2尚不清楚。本研究旨在研究POU2类同源盒3 (POU2F3)中PGD2的产生;(一种特定的簇状细胞标记物)WT阳性细胞和正常唾液腺。选择连续接受手术切除的WT患者。对POU2F3和造血PGD合成酶(H - PGDS)进行双重免疫组化染色。本研究纳入28例腮腺WT患者(均为男性患者;中位年龄,68岁)。所有肿瘤均可见常规双层嗜瘤细胞上皮;16例观察到鳞状化生上皮和常规双层嗜瘤细胞上皮。双免疫组化分析显示,正常唾液腺横纹管中仅存在POU2F3+/H - PGDS细胞,在WT的常规双层癌细胞和化生鳞状上皮中均可见丰富的POU2F3阳性簇状细胞,常规癌细胞上皮中表达H - PGDS的阳性细胞比例(89.9%)显著高于WT的化生鳞状上皮中表达H - PGDS的阳性细胞比例(10.6%)(P=0.00044)。目前的研究结果表明,横纹管的组织损伤与WT的发病机制之间存在联系,而常规双层嗜瘤细胞上皮中POU2F3阳性细胞释放的PGD2与持续的组织损伤有关。需要进一步的研究来阐明簇状细胞在WT中的功能,并对WT的发病机制有更深入的了解。
本文章由计算机程序翻译,如有差异,请以英文原文为准。
求助全文
约1分钟内获得全文 求助全文
来源期刊
Molecular medicine reports
Molecular medicine reports 医学-病理学
CiteScore
7.60
自引率
0.00%
发文量
321
审稿时长
1.5 months
期刊介绍: Molecular Medicine Reports is a monthly, peer-reviewed journal available in print and online, that includes studies devoted to molecular medicine, underscoring aspects including pharmacology, pathology, genetics, neurosciences, infectious diseases, molecular cardiology and molecular surgery. In vitro and in vivo studies of experimental model systems pertaining to the mechanisms of a variety of diseases offer researchers the necessary tools and knowledge with which to aid the diagnosis and treatment of human diseases.
×
引用
GB/T 7714-2015
复制
MLA
复制
APA
复制
导出至
BibTeX EndNote RefMan NoteFirst NoteExpress
×
提示
您的信息不完整,为了账户安全,请先补充。
现在去补充
×
提示
您因"违规操作"
具体请查看互助需知
我知道了
×
提示
确定
请完成安全验证×
copy
已复制链接
快去分享给好友吧!
我知道了
右上角分享
点击右上角分享
0
联系我们:info@booksci.cn Book学术提供免费学术资源搜索服务,方便国内外学者检索中英文文献。致力于提供最便捷和优质的服务体验。 Copyright © 2023 布克学术 All rights reserved.
京ICP备2023020795号-1
ghs 京公网安备 11010802042870号
Book学术文献互助
Book学术文献互助群
群 号:604180095
Book学术官方微信