Acute splenic torsion in an adolescent with polysplenia syndrome: case report.

IF 3.1 3区 医学 Q1 PEDIATRICS
Flora Vassallo, Fabio Panzuto, Gregorio Serra, Anna Maria Caruso, Laura Putignano, Denisia Bommarito, Giovanni Corsello, Sergio Salerno
{"title":"Acute splenic torsion in an adolescent with polysplenia syndrome: case report.","authors":"Flora Vassallo, Fabio Panzuto, Gregorio Serra, Anna Maria Caruso, Laura Putignano, Denisia Bommarito, Giovanni Corsello, Sergio Salerno","doi":"10.1186/s13052-025-02059-8","DOIUrl":null,"url":null,"abstract":"<p><strong>Background: </strong>Splenic torsion is a rare but potentially serious event. It can occur in association with various anatomical anomalies, such as polysplenia. The presence of multiple small spleens is often associated with other abdominal and chest abnormalities, defining a condition known as Polysplenia Syndrome (PSS).</p><p><strong>Case presentation: </strong>We report on a 14-year-old girl who presented with a 3-day history of left lower abdominal pain and vomiting, with a known history of congenital heart disease associated with Situs Viscerum Inversus and polysplenia. She was found to have normal vital signs but elevated C-reactive protein, and leukocytosis with neutrophilia. In light of the clinical and laboratory data, in addition to the suggestive imaging findings revealed on US and contrast-enhanced abdominal CT, a splenic torsion was suspected. The patient underwent a laparotomy, which confirmed a pedunculated mass in the left flank and iliac fossa, consistent with torsion of one of the spleens, and allowing complete resection of the lesion. The postoperative course was uneventful, and she was discharged after 10 days.</p><p><strong>Conclusions: </strong>Splenic torsion in PSS is an extremely rare condition that may present in a time-critical manner, with nonspecific clinical manifestations and abnormal laboratory results, representing a real diagnostic challenge.</p>","PeriodicalId":14511,"journal":{"name":"Italian Journal of Pediatrics","volume":"51 1","pages":"238"},"PeriodicalIF":3.1000,"publicationDate":"2025-07-18","publicationTypes":"Journal Article","fieldsOfStudy":null,"isOpenAccess":false,"openAccessPdf":"https://www.ncbi.nlm.nih.gov/pmc/articles/PMC12275450/pdf/","citationCount":"0","resultStr":null,"platform":"Semanticscholar","paperid":null,"PeriodicalName":"Italian Journal of Pediatrics","FirstCategoryId":"3","ListUrlMain":"https://doi.org/10.1186/s13052-025-02059-8","RegionNum":3,"RegionCategory":"医学","ArticlePicture":[],"TitleCN":null,"AbstractTextCN":null,"PMCID":null,"EPubDate":"","PubModel":"","JCR":"Q1","JCRName":"PEDIATRICS","Score":null,"Total":0}
引用次数: 0

Abstract

Background: Splenic torsion is a rare but potentially serious event. It can occur in association with various anatomical anomalies, such as polysplenia. The presence of multiple small spleens is often associated with other abdominal and chest abnormalities, defining a condition known as Polysplenia Syndrome (PSS).

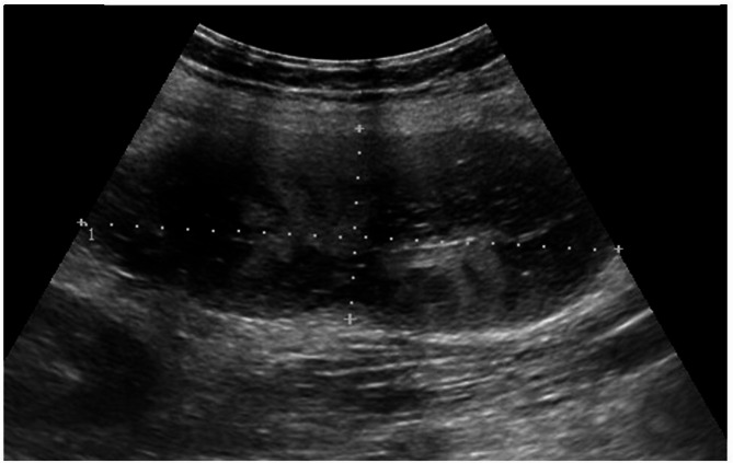
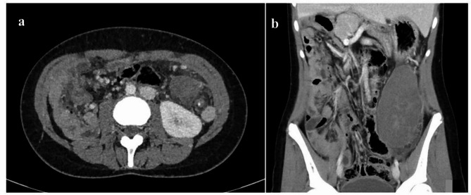
Case presentation: We report on a 14-year-old girl who presented with a 3-day history of left lower abdominal pain and vomiting, with a known history of congenital heart disease associated with Situs Viscerum Inversus and polysplenia. She was found to have normal vital signs but elevated C-reactive protein, and leukocytosis with neutrophilia. In light of the clinical and laboratory data, in addition to the suggestive imaging findings revealed on US and contrast-enhanced abdominal CT, a splenic torsion was suspected. The patient underwent a laparotomy, which confirmed a pedunculated mass in the left flank and iliac fossa, consistent with torsion of one of the spleens, and allowing complete resection of the lesion. The postoperative course was uneventful, and she was discharged after 10 days.

Conclusions: Splenic torsion in PSS is an extremely rare condition that may present in a time-critical manner, with nonspecific clinical manifestations and abnormal laboratory results, representing a real diagnostic challenge.

Abstract Image

Abstract Image

Abstract Image

青少年多脾综合征急性脾扭转1例。
背景:脾扭转是一种罕见但潜在的严重事件。它可以发生与各种解剖异常,如多脾。多个小脾脏的存在通常与其他腹部和胸部异常相关,定义为多脾综合征(PSS)。病例介绍:我们报告了一名14岁的女孩,她出现了3天的左下腹痛和呕吐史,并有先天性心脏病的病史,并伴有内脏逆位和多脾。患者生命体征正常,但c反应蛋白升高,白细胞增多伴中性粒细胞增多。根据临床和实验室资料,除了超声和腹部增强CT显示的暗暗性影像学发现外,怀疑脾扭转。患者行剖腹手术,证实左侧和髂窝有带蒂肿块,符合其中一个脾脏扭转,并允许完全切除病变。术后过程顺利,10天后出院。结论:PSS的脾扭转是一种非常罕见的疾病,可能以时间关键的方式出现,具有非特异性的临床表现和异常的实验室结果,代表了真正的诊断挑战。
本文章由计算机程序翻译,如有差异,请以英文原文为准。
求助全文
约1分钟内获得全文 求助全文
来源期刊
CiteScore
6.10
自引率
13.90%
发文量
192
审稿时长
6-12 weeks
期刊介绍: Italian Journal of Pediatrics is an open access peer-reviewed journal that includes all aspects of pediatric medicine. The journal also covers health service and public health research that addresses primary care issues. The journal provides a high-quality forum for pediatricians and other healthcare professionals to report and discuss up-to-the-minute research and expert reviews in the field of pediatric medicine. The journal will continue to develop the range of articles published to enable this invaluable resource to stay at the forefront of the field. Italian Journal of Pediatrics, which commenced in 1975 as Rivista Italiana di Pediatria, provides a high-quality forum for pediatricians and other healthcare professionals to report and discuss up-to-the-minute research and expert reviews in the field of pediatric medicine. The journal will continue to develop the range of articles published to enable this invaluable resource to stay at the forefront of the field.
×
引用
GB/T 7714-2015
复制
MLA
复制
APA
复制
导出至
BibTeX EndNote RefMan NoteFirst NoteExpress
×
提示
您的信息不完整,为了账户安全,请先补充。
现在去补充
×
提示
您因"违规操作"
具体请查看互助需知
我知道了
×
提示
确定
请完成安全验证×
copy
已复制链接
快去分享给好友吧!
我知道了
右上角分享
点击右上角分享
0
联系我们:info@booksci.cn Book学术提供免费学术资源搜索服务,方便国内外学者检索中英文文献。致力于提供最便捷和优质的服务体验。 Copyright © 2023 布克学术 All rights reserved.
京ICP备2023020795号-1
ghs 京公网安备 11010802042870号
Book学术文献互助
Book学术文献互助群
群 号:604180095
Book学术官方微信