Review of research on pulmonary cysts in sjögren's syndrome.

IF 1.5 4区 医学 Q3 CARDIAC & CARDIOVASCULAR SYSTEMS
Cai-Hong Pan, Xu-Fei Zhang, Chen Chen, Xiao-Bei An
{"title":"Review of research on pulmonary cysts in sjögren's syndrome.","authors":"Cai-Hong Pan, Xu-Fei Zhang, Chen Chen, Xiao-Bei An","doi":"10.1186/s13019-025-03540-5","DOIUrl":null,"url":null,"abstract":"<p><p>Sjögren's syndrome (SS) is a chronic systemic autoimmune disease mainly involving exocrine glands and particularly affecting the salivary glands and lacrimal glands, thus inducing a dry mouth and dry eyes. Extraglandular organs are also involved in SS, and this results in damage to multiple systems. Among these, lung damage is more common, with high morbidity and mortality rates, and the lack of typical symptoms in the early stages makes it challenging to identify it. The main pulmonary manifestations of SS are bronchitis, pulmonary hypertension, pulmonary cysts, pulmonary amyloidosis, interstitial pneumonia, and pulmonary fibrosis. Cystic lung disease affects about 4-46.2% of patients with SS. The imaging characteristics of pulmonary cysts in SS, including the size, number, morphology, and distribution, as well as differential diagnosis, mechanisms underlying the formation of pulmonary cysts, and current treatment strategies, are presented in this review.</p>","PeriodicalId":15201,"journal":{"name":"Journal of Cardiothoracic Surgery","volume":"20 1","pages":"306"},"PeriodicalIF":1.5000,"publicationDate":"2025-07-18","publicationTypes":"Journal Article","fieldsOfStudy":null,"isOpenAccess":false,"openAccessPdf":"https://www.ncbi.nlm.nih.gov/pmc/articles/PMC12273288/pdf/","citationCount":"0","resultStr":null,"platform":"Semanticscholar","paperid":null,"PeriodicalName":"Journal of Cardiothoracic Surgery","FirstCategoryId":"3","ListUrlMain":"https://doi.org/10.1186/s13019-025-03540-5","RegionNum":4,"RegionCategory":"医学","ArticlePicture":[],"TitleCN":null,"AbstractTextCN":null,"PMCID":null,"EPubDate":"","PubModel":"","JCR":"Q3","JCRName":"CARDIAC & CARDIOVASCULAR SYSTEMS","Score":null,"Total":0}
引用次数: 0

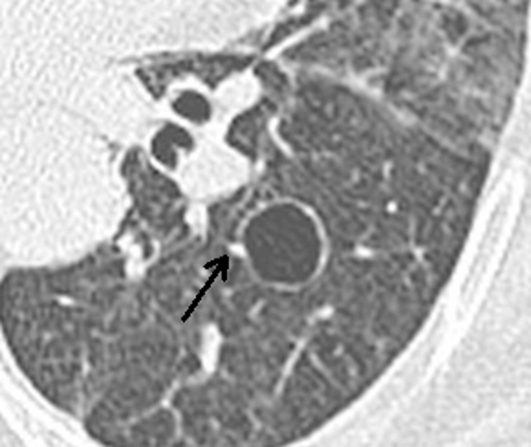
Abstract

Sjögren's syndrome (SS) is a chronic systemic autoimmune disease mainly involving exocrine glands and particularly affecting the salivary glands and lacrimal glands, thus inducing a dry mouth and dry eyes. Extraglandular organs are also involved in SS, and this results in damage to multiple systems. Among these, lung damage is more common, with high morbidity and mortality rates, and the lack of typical symptoms in the early stages makes it challenging to identify it. The main pulmonary manifestations of SS are bronchitis, pulmonary hypertension, pulmonary cysts, pulmonary amyloidosis, interstitial pneumonia, and pulmonary fibrosis. Cystic lung disease affects about 4-46.2% of patients with SS. The imaging characteristics of pulmonary cysts in SS, including the size, number, morphology, and distribution, as well as differential diagnosis, mechanisms underlying the formation of pulmonary cysts, and current treatment strategies, are presented in this review.

Abstract Image

Abstract Image

Abstract Image

sjögren综合征肺囊肿的研究进展。
Sjögren综合征(SS)是一种慢性系统性自身免疫性疾病,主要累及外分泌腺,特别累及唾液腺和泪腺,引起口干和眼干。腺外器官也参与SS,这导致多个系统的损害。其中,肺损伤更为常见,发病率和死亡率高,早期缺乏典型症状,难以识别。主要表现为支气管炎、肺动脉高压、肺囊肿、肺淀粉样变性、间质性肺炎、肺纤维化。囊性肺疾病约占SS患者的4-46.2%。本文综述了SS肺囊肿的影像学特征,包括肺囊肿的大小、数量、形态、分布、鉴别诊断、肺囊肿形成的机制以及目前的治疗策略。
本文章由计算机程序翻译,如有差异,请以英文原文为准。
求助全文
约1分钟内获得全文 求助全文
来源期刊
Journal of Cardiothoracic Surgery
Journal of Cardiothoracic Surgery 医学-心血管系统
CiteScore
2.50
自引率
6.20%
发文量
286
审稿时长
4-8 weeks
期刊介绍: Journal of Cardiothoracic Surgery is an open access journal that encompasses all aspects of research in the field of Cardiology, and Cardiothoracic and Vascular Surgery. The journal publishes original scientific research documenting clinical and experimental advances in cardiac, vascular and thoracic surgery, and related fields. Topics of interest include surgical techniques, survival rates, surgical complications and their outcomes; along with basic sciences, pediatric conditions, transplantations and clinical trials. Journal of Cardiothoracic Surgery is of interest to cardiothoracic and vascular surgeons, cardiothoracic anaesthesiologists, cardiologists, chest physicians, and allied health professionals.
×
引用
GB/T 7714-2015
复制
MLA
复制
APA
复制
导出至
BibTeX EndNote RefMan NoteFirst NoteExpress
×
提示
您的信息不完整,为了账户安全,请先补充。
现在去补充
×
提示
您因"违规操作"
具体请查看互助需知
我知道了
×
提示
确定
请完成安全验证×
copy
已复制链接
快去分享给好友吧!
我知道了
右上角分享
点击右上角分享
0
联系我们:info@booksci.cn Book学术提供免费学术资源搜索服务,方便国内外学者检索中英文文献。致力于提供最便捷和优质的服务体验。 Copyright © 2023 布克学术 All rights reserved.
京ICP备2023020795号-1
ghs 京公网安备 11010802042870号
Book学术文献互助
Book学术文献互助群
群 号:604180095
Book学术官方微信