[Corrigendum] Dual targeting of glioblastoma multiforme with a proteasome inhibitor (Velcade) and a phosphatidylinositol 3‑kinase inhibitor (ZSTK474).

IF 4.9 3区 医学 Q1 ONCOLOGY
International journal of oncology Pub Date : 2025-09-01 Epub Date: 2025-07-19 DOI:10.3892/ijo.2025.5777
Lehang Lin, Daria Gaut, Kaishun Hu, Haiyan Yan, Dong Yin, Phillip H Koeffler
{"title":"[Corrigendum] Dual targeting of glioblastoma multiforme with a proteasome inhibitor (Velcade) and a phosphatidylinositol 3‑kinase inhibitor (ZSTK474).","authors":"Lehang Lin, Daria Gaut, Kaishun Hu, Haiyan Yan, Dong Yin, Phillip H Koeffler","doi":"10.3892/ijo.2025.5777","DOIUrl":null,"url":null,"abstract":"<p><p>Following the publication of the above article, an interested reader drew to the attention of the Editorial Office that GAPDH bands featured for the U87 cell line (left‑hand panels) in Fig. 5 on p. 561 were strikingly similar to the GAPDH bands for the U118 cell line (right‑hand panels) shown in Fig. 1 on p. 559, even though the experiments shown in these figures were performed under different experimental conditions. Upon examining their data, the authors have realized that Fig. 5 was presented incorrectly; specifically, the cell lines ('U87' and 'U118') in Fig. 5 were mistakenly labeled in reverse, and the GAPDH bands from the right‑hand panels of Fig. 1 were inadvertently re‑used in the left‑hand panels of Fig. 5. The authors have now corrected the cell line labels and replaced the GAPDH bands in the left‑hand panels of Fig. 5 with alternative data from a repeated experiment. The revised version of Fig. 5 is shown below. It is important to note that this error did not affect the overall conclusions reported in the study. The authors are grateful to the Editor of <i>International Journal of Oncology</i> for allowing them this opportunity to publish a Corrigendum, and all the authors agree with its publication. Furthermore, the authors deeply apologize to the readership for any inconvenience caused. [International Journal of Oncology 44: 557‑562, 2014; DOI: 10.3892/ijo.2013.2205].</p>","PeriodicalId":14175,"journal":{"name":"International journal of oncology","volume":"67 3","pages":""},"PeriodicalIF":4.9000,"publicationDate":"2025-09-01","publicationTypes":"Journal Article","fieldsOfStudy":null,"isOpenAccess":false,"openAccessPdf":"https://www.ncbi.nlm.nih.gov/pmc/articles/PMC12331310/pdf/","citationCount":"0","resultStr":null,"platform":"Semanticscholar","paperid":null,"PeriodicalName":"International journal of oncology","FirstCategoryId":"3","ListUrlMain":"https://doi.org/10.3892/ijo.2025.5777","RegionNum":3,"RegionCategory":"医学","ArticlePicture":[],"TitleCN":null,"AbstractTextCN":null,"PMCID":null,"EPubDate":"2025/7/19 0:00:00","PubModel":"Epub","JCR":"Q1","JCRName":"ONCOLOGY","Score":null,"Total":0}
引用次数: 0

Abstract

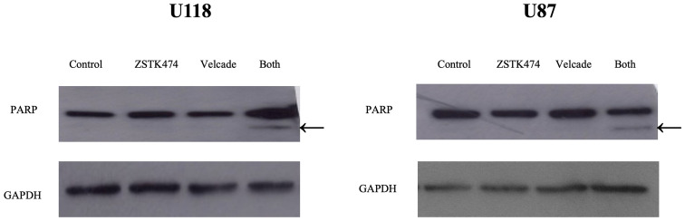
Following the publication of the above article, an interested reader drew to the attention of the Editorial Office that GAPDH bands featured for the U87 cell line (left‑hand panels) in Fig. 5 on p. 561 were strikingly similar to the GAPDH bands for the U118 cell line (right‑hand panels) shown in Fig. 1 on p. 559, even though the experiments shown in these figures were performed under different experimental conditions. Upon examining their data, the authors have realized that Fig. 5 was presented incorrectly; specifically, the cell lines ('U87' and 'U118') in Fig. 5 were mistakenly labeled in reverse, and the GAPDH bands from the right‑hand panels of Fig. 1 were inadvertently re‑used in the left‑hand panels of Fig. 5. The authors have now corrected the cell line labels and replaced the GAPDH bands in the left‑hand panels of Fig. 5 with alternative data from a repeated experiment. The revised version of Fig. 5 is shown below. It is important to note that this error did not affect the overall conclusions reported in the study. The authors are grateful to the Editor of International Journal of Oncology for allowing them this opportunity to publish a Corrigendum, and all the authors agree with its publication. Furthermore, the authors deeply apologize to the readership for any inconvenience caused. [International Journal of Oncology 44: 557‑562, 2014; DOI: 10.3892/ijo.2013.2205].

Abstract Image

[勘误]用蛋白酶体抑制剂(Velcade)和磷脂酰肌醇3激酶抑制剂(ZSTK474)双重靶向多形性胶质母细胞瘤。
在上述文章发表后,一位感兴趣的读者提请编辑部注意,图5第561页中U87细胞系(左图)的GAPDH带与图1第559页中U118细胞系(右图)的GAPDH带惊人地相似,尽管这些图中显示的实验是在不同的实验条件下进行的。在检查他们的数据后,作者意识到图5的呈现是错误的;具体来说,图5中的细胞系(“U87”和“U118”)被错误地反向标记,图1右侧面板的GAPDH带无意中被重复用于图5左侧面板。作者现在已经纠正了细胞系标签,并用重复实验的替代数据替换了图5左侧面板中的GAPDH带。修改后的图5如下图所示。值得注意的是,这个错误并没有影响研究报告的总体结论。作者感谢《国际肿瘤学杂志》的编辑允许他们有机会发表一份勘误表,所有作者都同意发表勘误表。对于由此给读者带来的不便,作者深表歉意。国际肿瘤学杂志44:557 - 562,2014;DOI: 10.3892 / ijo.2013.2205]。
本文章由计算机程序翻译,如有差异,请以英文原文为准。
求助全文
约1分钟内获得全文 求助全文
来源期刊
CiteScore
9.60
自引率
0.00%
发文量
157
审稿时长
2.1 months
期刊介绍: The main aim of Spandidos Publications is to facilitate scientific communication in a clear, concise and objective manner, while striving to provide prompt publication of original works of high quality. The journals largely concentrate on molecular and experimental medicine, oncology, clinical and experimental cancer treatment and biomedical research. All journals published by Spandidos Publications Ltd. maintain the highest standards of quality, and the members of their Editorial Boards are world-renowned scientists.
×
引用
GB/T 7714-2015
复制
MLA
复制
APA
复制
导出至
BibTeX EndNote RefMan NoteFirst NoteExpress
×
提示
您的信息不完整,为了账户安全,请先补充。
现在去补充
×
提示
您因"违规操作"
具体请查看互助需知
我知道了
×
提示
确定
请完成安全验证×
copy
已复制链接
快去分享给好友吧!
我知道了
右上角分享
点击右上角分享
0
联系我们:info@booksci.cn Book学术提供免费学术资源搜索服务,方便国内外学者检索中英文文献。致力于提供最便捷和优质的服务体验。 Copyright © 2023 布克学术 All rights reserved.
京ICP备2023020795号-1
ghs 京公网安备 11010802042870号
Book学术文献互助
Book学术文献互助群
群 号:604180095
Book学术官方微信