Pineal Cyst Associated with Apoplexy and Hydrocephalus: A Case Report.

Current health sciences journal Pub Date : 2025-01-01 Epub Date: 2025-03-31 DOI:10.12865/CHSJ.51.01.19
Daniel Marchi Kieling, Amanda Hedel Koerich, Romildo Antonio Dos Santos Júnior, Paulo Moacir Mesquita Filho
{"title":"Pineal Cyst Associated with Apoplexy and Hydrocephalus: A Case Report.","authors":"Daniel Marchi Kieling, Amanda Hedel Koerich, Romildo Antonio Dos Santos Júnior, Paulo Moacir Mesquita Filho","doi":"10.12865/CHSJ.51.01.19","DOIUrl":null,"url":null,"abstract":"<p><p>Pineal cysts (PCs) are common findings on (Magnetic resonance Imaging) MRI, often incidental in females and asymptomatic throughout life. Rare complications, like pineal apoplexy with acute hydrocephalus, require differential diagnosis and urgent intervention. We report a 19-year-old male with a progressive headache and visual decline. MRI showed a 2.3 cm pineal cyst with hemorrhagic features (apoplexy) causing hydrocephalus. He underwent endoscopic third ventriculostomy and microsurgical resection, both successful. Postoperatively, symptoms resolved completely. Though often benign, complicated PCs can be life-threatening. This case highlights their management, aiding understanding of etiologies, differential diagnoses, and treatments, enhancing medical knowledge.</p>","PeriodicalId":93963,"journal":{"name":"Current health sciences journal","volume":"51 1","pages":"164-169"},"PeriodicalIF":0.0000,"publicationDate":"2025-01-01","publicationTypes":"Journal Article","fieldsOfStudy":null,"isOpenAccess":false,"openAccessPdf":"https://www.ncbi.nlm.nih.gov/pmc/articles/PMC12264991/pdf/","citationCount":"0","resultStr":null,"platform":"Semanticscholar","paperid":null,"PeriodicalName":"Current health sciences journal","FirstCategoryId":"1085","ListUrlMain":"https://doi.org/10.12865/CHSJ.51.01.19","RegionNum":0,"RegionCategory":null,"ArticlePicture":[],"TitleCN":null,"AbstractTextCN":null,"PMCID":null,"EPubDate":"2025/3/31 0:00:00","PubModel":"Epub","JCR":"","JCRName":"","Score":null,"Total":0}
引用次数: 0

Abstract

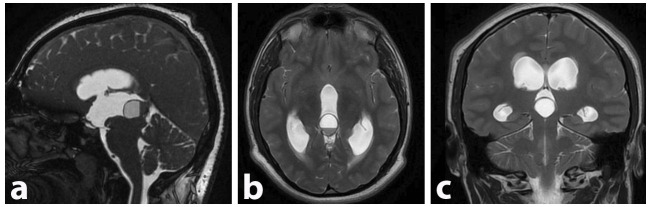
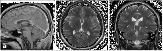
Pineal cysts (PCs) are common findings on (Magnetic resonance Imaging) MRI, often incidental in females and asymptomatic throughout life. Rare complications, like pineal apoplexy with acute hydrocephalus, require differential diagnosis and urgent intervention. We report a 19-year-old male with a progressive headache and visual decline. MRI showed a 2.3 cm pineal cyst with hemorrhagic features (apoplexy) causing hydrocephalus. He underwent endoscopic third ventriculostomy and microsurgical resection, both successful. Postoperatively, symptoms resolved completely. Though often benign, complicated PCs can be life-threatening. This case highlights their management, aiding understanding of etiologies, differential diagnoses, and treatments, enhancing medical knowledge.

Abstract Image

Abstract Image

Abstract Image

松果体囊肿合并中风和脑积水1例报告。
松果体囊肿(PCs)是磁共振成像(MRI)上常见的发现,通常是女性偶然发生的,并且终生无症状。罕见的并发症,如松果体中风合并急性脑积水,需要鉴别诊断和紧急干预。我们报告一位19岁的男性患有进行性头痛和视力下降。MRI显示一个2.3厘米的松果体囊肿,伴有出血性特征(中风),导致脑积水。他接受了内镜下第三脑室造口术和显微手术切除,均成功。术后症状完全消失。虽然通常是良性的,但复杂的个人电脑可能会危及生命。本病例强调其管理,有助于了解病因,鉴别诊断和治疗,提高医学知识。
本文章由计算机程序翻译,如有差异,请以英文原文为准。
求助全文
约1分钟内获得全文 求助全文
来源期刊
自引率
0.00%
发文量
0
×
引用
GB/T 7714-2015
复制
MLA
复制
APA
复制
导出至
BibTeX EndNote RefMan NoteFirst NoteExpress
×
提示
您的信息不完整,为了账户安全,请先补充。
现在去补充
×
提示
您因"违规操作"
具体请查看互助需知
我知道了
×
提示
确定
请完成安全验证×
copy
已复制链接
快去分享给好友吧!
我知道了
右上角分享
点击右上角分享
0
联系我们:info@booksci.cn Book学术提供免费学术资源搜索服务,方便国内外学者检索中英文文献。致力于提供最便捷和优质的服务体验。 Copyright © 2023 布克学术 All rights reserved.
京ICP备2023020795号-1
ghs 京公网安备 11010802042870号
Book学术文献互助
Book学术文献互助群
群 号:604180095
Book学术官方微信