Histopathological Assessment of Non-Small Cell Lung Carcinomas.

Current health sciences journal Pub Date : 2025-01-01 Epub Date: 2025-03-31 DOI:10.12865/CHSJ.51.01.11
Daniela Florentina Grecu, Marian Valentin Zorilă, Liliana Stanca, Alexandru Florian Grecu, Oana Iulia Crețu, Marie Badiu, Bianca Cătălina Andreiana, Mirela Marinela Florescu, Alex Emilian Stepan
{"title":"Histopathological Assessment of Non-Small Cell Lung Carcinomas.","authors":"Daniela Florentina Grecu, Marian Valentin Zorilă, Liliana Stanca, Alexandru Florian Grecu, Oana Iulia Crețu, Marie Badiu, Bianca Cătălina Andreiana, Mirela Marinela Florescu, Alex Emilian Stepan","doi":"10.12865/CHSJ.51.01.11","DOIUrl":null,"url":null,"abstract":"<p><p>Non-small cell lung carcinomas (NSCLC) are common lung tumors with numerous growth patterns associated with lesion types, which are frequently diagnosed late and are associated with a reserved prognosis. In this study, we analyzed histopathologically and statistically 52 cases of NSCLC, for which the growth types/patterns were described and compared with tumor grade, the presence of vessels invasion and stage of tumor. We observed the predominance of adenocarcinomas (ADK) and acinar, cribriform, solid and papillary growth patterns, frequent mixed transitional areas, while for squamous cell carcinomas (SCC) the non-keratinized aspect was dominant. Vascular invasion was identified in 38.5% of cases, most NSCLC being in advanced stages, respectively 57.7%. ADK with cribriform, solid, and micropapillary patterns, as well as nonkeratinized SCC (NKSCC) and large cell carcinoma (LCC) were significantly associated with high grade, vessels invasion, and advanced stage of tumos. Transitional areas of ADK and focal keratinizations in SCC suggest the presence of specific lung tumor histological lesions, which in evolution acquire aggressive patterns.</p>","PeriodicalId":93963,"journal":{"name":"Current health sciences journal","volume":"51 1","pages":"105-111"},"PeriodicalIF":0.0000,"publicationDate":"2025-01-01","publicationTypes":"Journal Article","fieldsOfStudy":null,"isOpenAccess":false,"openAccessPdf":"https://www.ncbi.nlm.nih.gov/pmc/articles/PMC12264988/pdf/","citationCount":"0","resultStr":null,"platform":"Semanticscholar","paperid":null,"PeriodicalName":"Current health sciences journal","FirstCategoryId":"1085","ListUrlMain":"https://doi.org/10.12865/CHSJ.51.01.11","RegionNum":0,"RegionCategory":null,"ArticlePicture":[],"TitleCN":null,"AbstractTextCN":null,"PMCID":null,"EPubDate":"2025/3/31 0:00:00","PubModel":"Epub","JCR":"","JCRName":"","Score":null,"Total":0}
引用次数: 0

Abstract

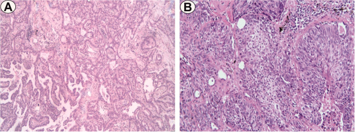
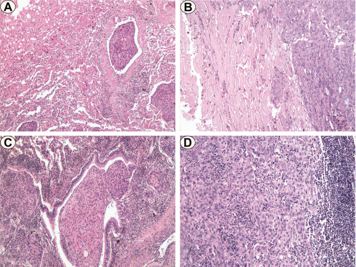
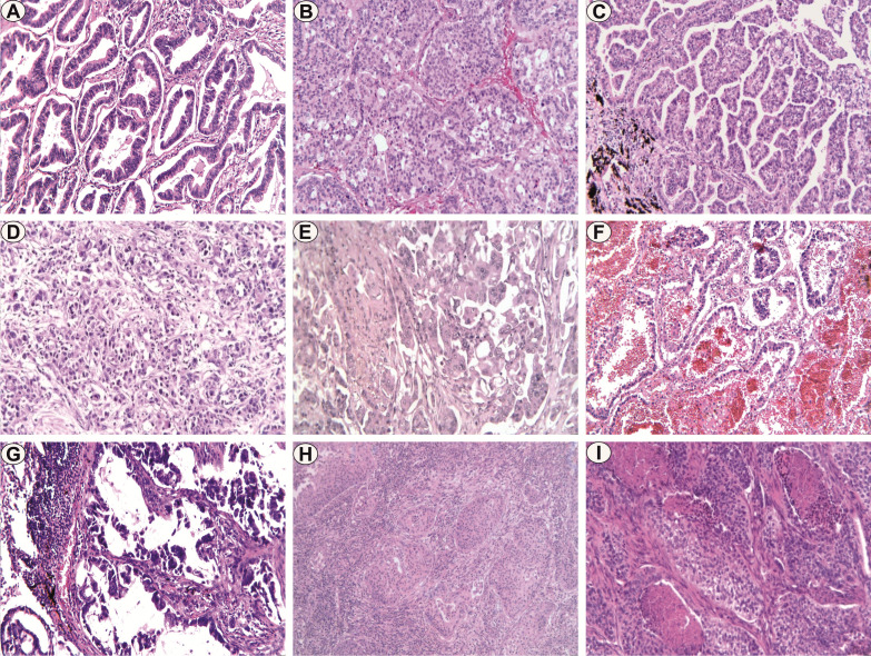
Non-small cell lung carcinomas (NSCLC) are common lung tumors with numerous growth patterns associated with lesion types, which are frequently diagnosed late and are associated with a reserved prognosis. In this study, we analyzed histopathologically and statistically 52 cases of NSCLC, for which the growth types/patterns were described and compared with tumor grade, the presence of vessels invasion and stage of tumor. We observed the predominance of adenocarcinomas (ADK) and acinar, cribriform, solid and papillary growth patterns, frequent mixed transitional areas, while for squamous cell carcinomas (SCC) the non-keratinized aspect was dominant. Vascular invasion was identified in 38.5% of cases, most NSCLC being in advanced stages, respectively 57.7%. ADK with cribriform, solid, and micropapillary patterns, as well as nonkeratinized SCC (NKSCC) and large cell carcinoma (LCC) were significantly associated with high grade, vessels invasion, and advanced stage of tumos. Transitional areas of ADK and focal keratinizations in SCC suggest the presence of specific lung tumor histological lesions, which in evolution acquire aggressive patterns.

Abstract Image

Abstract Image

Abstract Image

非小细胞肺癌的组织病理学评价。
非小细胞肺癌(NSCLC)是一种常见的肺部肿瘤,具有多种与病变类型相关的生长模式,通常诊断较晚,预后不佳。在本研究中,我们对52例非小细胞肺癌进行了组织病理学和统计学分析,描述了其生长类型/模式,并与肿瘤分级、是否存在血管侵犯和肿瘤分期进行了比较。我们观察到腺癌(ADK)和腺泡、筛状、实体和乳头状生长模式的优势,频繁的混合过渡区,而鳞状细胞癌(SCC)的非角化方面占主导地位。38.5%的病例发现血管侵犯,大多数NSCLC处于晚期,分别为57.7%。具有筛状、实状和微乳头状形态的ADK,以及非角化SCC (NKSCC)和大细胞癌(LCC)与肿瘤的高分级、血管侵犯和晚期显著相关。SCC中ADK的过渡区和局灶性角化提示存在特定的肺肿瘤组织学病变,其在进化过程中获得侵袭性模式。
本文章由计算机程序翻译,如有差异,请以英文原文为准。
求助全文
约1分钟内获得全文 求助全文
来源期刊
自引率
0.00%
发文量
0
×
引用
GB/T 7714-2015
复制
MLA
复制
APA
复制
导出至
BibTeX EndNote RefMan NoteFirst NoteExpress
×
提示
您的信息不完整,为了账户安全,请先补充。
现在去补充
×
提示
您因"违规操作"
具体请查看互助需知
我知道了
×
提示
确定
请完成安全验证×
copy
已复制链接
快去分享给好友吧!
我知道了
右上角分享
点击右上角分享
0
联系我们:info@booksci.cn Book学术提供免费学术资源搜索服务,方便国内外学者检索中英文文献。致力于提供最便捷和优质的服务体验。 Copyright © 2023 布克学术 All rights reserved.
京ICP备2023020795号-1
ghs 京公网安备 11010802042870号
Book学术文献互助
Book学术文献互助群
群 号:604180095
Book学术官方微信