Acute Pancreatitis after Major Spine Surgery: A Case Study.

Current health sciences journal Pub Date : 2025-01-01 Epub Date: 2025-03-31 DOI:10.12865/CHSJ.51.01.17
Konstantinos Zygogiannis, Petros Christoforos Christakakis, Ioannis Chatzikomninos, Dimitrios Koulalis, Anastasios Kalampokis
{"title":"Acute Pancreatitis after Major Spine Surgery: A Case Study.","authors":"Konstantinos Zygogiannis, Petros Christoforos Christakakis, Ioannis Chatzikomninos, Dimitrios Koulalis, Anastasios Kalampokis","doi":"10.12865/CHSJ.51.01.17","DOIUrl":null,"url":null,"abstract":"<p><p>Postoperative acute pancreatitis can be a relatively common complication regarding abdominal surgery, especially for general surgeons who have a high suspicion and expertise in the specific field. After spine surgery, on the other hand, it is considered rare, and when it settles, it is non-negligible as it may progress to a life-threatening condition. Although there is a plethora of reports regarding postoperative acute pancreatitis after spine surgery, especially scoliosis correction surgery or extended fusion surgery, many spine surgeons do not acknowledge this rare complication. Factors that may favor the apparition of acute pancreatitis include intraoperative hypoperfusion, hemodynamic instability, correction techniques in spinal deformity conditions, and mechanical abdominal pressure due to the patient's position. We report a case of acute pancreatitis after posterior lumbar fixation and decompression for spinal canal stenosis.</p>","PeriodicalId":93963,"journal":{"name":"Current health sciences journal","volume":"51 1","pages":"155-160"},"PeriodicalIF":0.0000,"publicationDate":"2025-01-01","publicationTypes":"Journal Article","fieldsOfStudy":null,"isOpenAccess":false,"openAccessPdf":"https://www.ncbi.nlm.nih.gov/pmc/articles/PMC12264993/pdf/","citationCount":"0","resultStr":null,"platform":"Semanticscholar","paperid":null,"PeriodicalName":"Current health sciences journal","FirstCategoryId":"1085","ListUrlMain":"https://doi.org/10.12865/CHSJ.51.01.17","RegionNum":0,"RegionCategory":null,"ArticlePicture":[],"TitleCN":null,"AbstractTextCN":null,"PMCID":null,"EPubDate":"2025/3/31 0:00:00","PubModel":"Epub","JCR":"","JCRName":"","Score":null,"Total":0}
引用次数: 0

Abstract

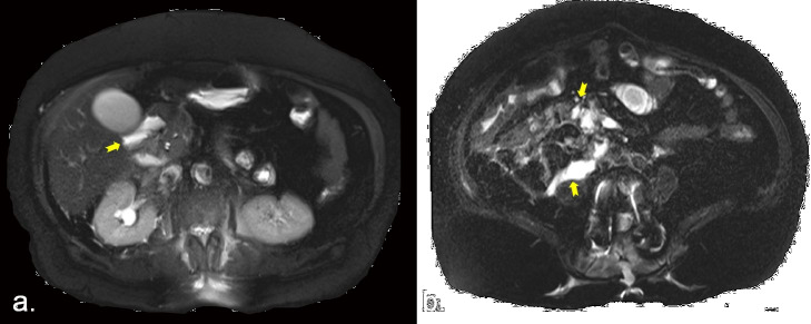
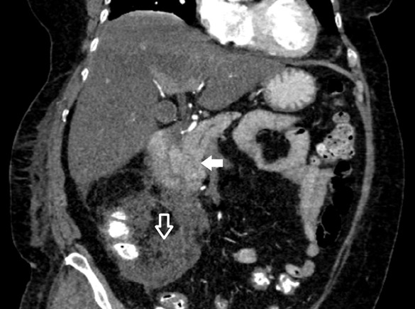
Postoperative acute pancreatitis can be a relatively common complication regarding abdominal surgery, especially for general surgeons who have a high suspicion and expertise in the specific field. After spine surgery, on the other hand, it is considered rare, and when it settles, it is non-negligible as it may progress to a life-threatening condition. Although there is a plethora of reports regarding postoperative acute pancreatitis after spine surgery, especially scoliosis correction surgery or extended fusion surgery, many spine surgeons do not acknowledge this rare complication. Factors that may favor the apparition of acute pancreatitis include intraoperative hypoperfusion, hemodynamic instability, correction techniques in spinal deformity conditions, and mechanical abdominal pressure due to the patient's position. We report a case of acute pancreatitis after posterior lumbar fixation and decompression for spinal canal stenosis.

Abstract Image

Abstract Image

Abstract Image

大脊柱手术后急性胰腺炎:一个案例研究。
术后急性胰腺炎是腹部外科手术中比较常见的并发症,特别是对于在特定领域具有高度怀疑和专业知识的普通外科医生。另一方面,在脊柱手术后,它被认为是罕见的,当它稳定下来时,它是不可忽视的,因为它可能会发展到危及生命的状况。尽管有大量关于脊柱手术后急性胰腺炎的报道,特别是脊柱侧凸矫正手术或扩展融合手术,但许多脊柱外科医生并没有认识到这种罕见的并发症。可能导致急性胰腺炎出现的因素包括术中灌注不足、血流动力学不稳定、脊柱畸形情况下的矫正技术以及由于患者体位造成的机械腹压。我们报告一例后路腰椎固定减压治疗椎管狭窄后急性胰腺炎。
本文章由计算机程序翻译,如有差异,请以英文原文为准。
求助全文
约1分钟内获得全文 求助全文
来源期刊
自引率
0.00%
发文量
0
×
引用
GB/T 7714-2015
复制
MLA
复制
APA
复制
导出至
BibTeX EndNote RefMan NoteFirst NoteExpress
×
提示
您的信息不完整,为了账户安全,请先补充。
现在去补充
×
提示
您因"违规操作"
具体请查看互助需知
我知道了
×
提示
确定
请完成安全验证×
copy
已复制链接
快去分享给好友吧!
我知道了
右上角分享
点击右上角分享
0
联系我们:info@booksci.cn Book学术提供免费学术资源搜索服务,方便国内外学者检索中英文文献。致力于提供最便捷和优质的服务体验。 Copyright © 2023 布克学术 All rights reserved.
京ICP备2023020795号-1
ghs 京公网安备 11010802042870号
Book学术文献互助
Book学术文献互助群
群 号:604180095
Book学术官方微信