Tertiary Dentin Barrier Formation: A Comparison Between the Effects of Two Calcium Silicate Based Materials.

Current health sciences journal Pub Date : 2025-01-01 Epub Date: 2025-03-31 DOI:10.12865/CHSJ.51.01.10
Antoanela Magdalena Covaci, Mihai Andrei, Ioana Dinca, Lucian Toma Ciocan, Madalina Nicoleta Matei, Andreea Cristiana Didilescu
{"title":"Tertiary Dentin Barrier Formation: A Comparison Between the Effects of Two Calcium Silicate Based Materials.","authors":"Antoanela Magdalena Covaci, Mihai Andrei, Ioana Dinca, Lucian Toma Ciocan, Madalina Nicoleta Matei, Andreea Cristiana Didilescu","doi":"10.12865/CHSJ.51.01.10","DOIUrl":null,"url":null,"abstract":"<p><p>Pulp capping is a vital pulp therapy that aims to prolong the life of a tooth by protecting it after pulp exposure occurred. Pulp capping biomaterials are intended to induce odontoblasts to deposit a natural tertiary dentin barrier to protect the pulp-dentin complex. Two pulp capping agents with calcium silicates in their composition, but with different mechanisms of the setting reaction were tested in vivo with the main objective of comparing their effect on the pulp-dentin complex. The specific aim was to evaluate the preservation of pulp vitality following in vivo direct and indirect pulp capping on eight human third molars. TheraCal LC, a light-cured calcium silicate-based material, was tested both by direct and indirect pulp capping, while the mineral trioxide aggregate (MTA) cement was tested by direct pulp capping. The molars were assessed by micro-computed tomography (micro-CT) and by light microscopy and stereo-microscopy following histological processing of the teeth. Dental pulp vitality testing was performed before tooth extraction. Inflammatory pulp status was performed on light microscopy images and it was investigated the presence of inflammatory infiltrate, edema, vascular congestion and pulp necrosis. Following pulp capping, the MTA cement showed more favorable results, generating the formation of complete or incomplete dentin bridges in all treated teeth, while TheraCal LC induced the formation of dentin bridges in only two teeth. Tooth vitality was preserved in all tested teeth. In conclusion, both materials stimulated neodentinogenesis, with the MTA cement being more effective and presenting a much more favorable biological pulpal response.</p>","PeriodicalId":93963,"journal":{"name":"Current health sciences journal","volume":"51 1","pages":"96-104"},"PeriodicalIF":0.0000,"publicationDate":"2025-01-01","publicationTypes":"Journal Article","fieldsOfStudy":null,"isOpenAccess":false,"openAccessPdf":"https://www.ncbi.nlm.nih.gov/pmc/articles/PMC12264994/pdf/","citationCount":"0","resultStr":null,"platform":"Semanticscholar","paperid":null,"PeriodicalName":"Current health sciences journal","FirstCategoryId":"1085","ListUrlMain":"https://doi.org/10.12865/CHSJ.51.01.10","RegionNum":0,"RegionCategory":null,"ArticlePicture":[],"TitleCN":null,"AbstractTextCN":null,"PMCID":null,"EPubDate":"2025/3/31 0:00:00","PubModel":"Epub","JCR":"","JCRName":"","Score":null,"Total":0}
引用次数: 0

Abstract

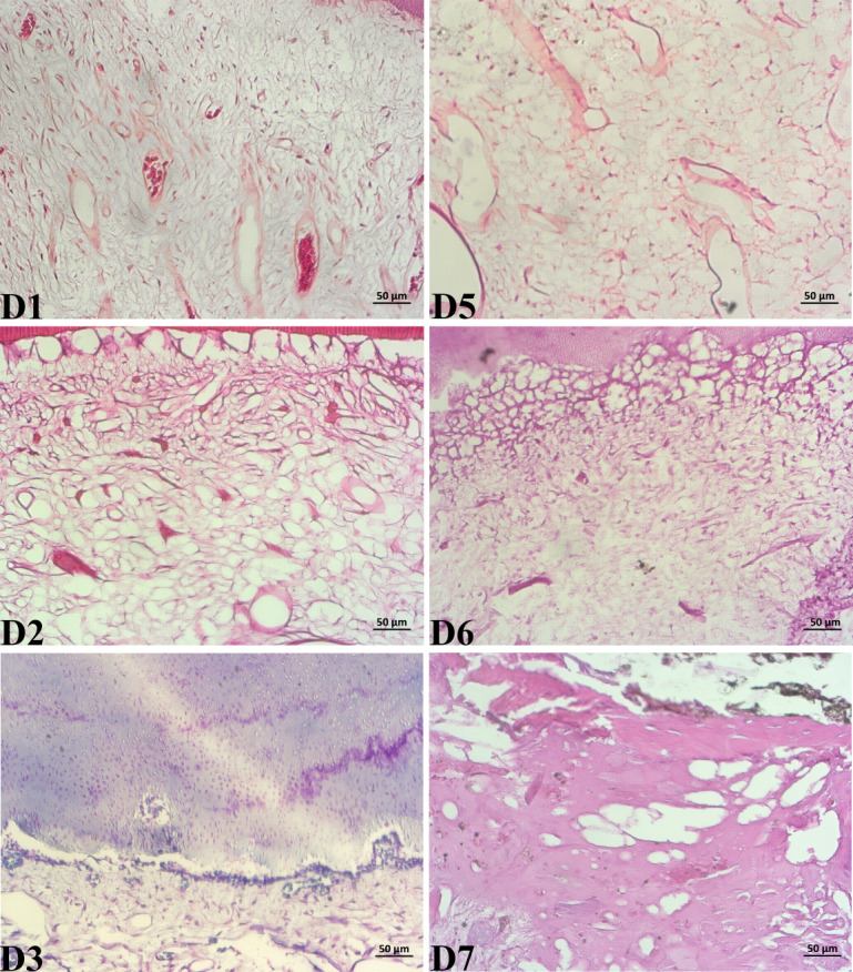
Pulp capping is a vital pulp therapy that aims to prolong the life of a tooth by protecting it after pulp exposure occurred. Pulp capping biomaterials are intended to induce odontoblasts to deposit a natural tertiary dentin barrier to protect the pulp-dentin complex. Two pulp capping agents with calcium silicates in their composition, but with different mechanisms of the setting reaction were tested in vivo with the main objective of comparing their effect on the pulp-dentin complex. The specific aim was to evaluate the preservation of pulp vitality following in vivo direct and indirect pulp capping on eight human third molars. TheraCal LC, a light-cured calcium silicate-based material, was tested both by direct and indirect pulp capping, while the mineral trioxide aggregate (MTA) cement was tested by direct pulp capping. The molars were assessed by micro-computed tomography (micro-CT) and by light microscopy and stereo-microscopy following histological processing of the teeth. Dental pulp vitality testing was performed before tooth extraction. Inflammatory pulp status was performed on light microscopy images and it was investigated the presence of inflammatory infiltrate, edema, vascular congestion and pulp necrosis. Following pulp capping, the MTA cement showed more favorable results, generating the formation of complete or incomplete dentin bridges in all treated teeth, while TheraCal LC induced the formation of dentin bridges in only two teeth. Tooth vitality was preserved in all tested teeth. In conclusion, both materials stimulated neodentinogenesis, with the MTA cement being more effective and presenting a much more favorable biological pulpal response.

Abstract Image

Abstract Image

Abstract Image

三级牙本质屏障形成:两种硅酸钙基材料效果的比较。
牙髓盖盖是一种重要的牙髓治疗方法,目的是在牙髓暴露后通过保护牙齿来延长牙齿的寿命。牙髓封盖生物材料旨在诱导成牙细胞沉积天然的三级牙本质屏障,以保护牙髓-牙本质复合物。本文对两种以硅酸钙为主要成分但具有不同固位机制的牙髓封盖剂进行了体内试验,主要目的是比较它们对牙髓-牙本质复合物的影响。本研究的目的是评估直接盖髓和间接盖髓对8颗人类第三磨牙牙髓活力的保护。TheraCal LC是一种光固化硅酸钙基材料,通过直接和间接盖髓测试,而矿物三氧化物骨料(MTA)水泥则通过直接盖髓测试。在对牙齿进行组织学处理后,通过显微计算机断层扫描(micro-CT)、光学显微镜和立体显微镜对磨牙进行评估。拔牙前进行牙髓活力测试。在光镜下观察牙髓炎症状态,观察有无炎症浸润、水肿、血管充血和牙髓坏死。髓盖后,MTA粘固剂效果较好,所有治疗牙均可形成完整或不完整的牙本质桥,而TheraCal LC仅在两颗牙中形成牙本质桥。所有测试牙齿均保持活力。总之,这两种材料都刺激了新牙体的形成,其中MTA水泥更有效,并呈现出更有利的生物牙髓反应。
本文章由计算机程序翻译,如有差异,请以英文原文为准。
求助全文
约1分钟内获得全文 求助全文
来源期刊
自引率
0.00%
发文量
0
×
引用
GB/T 7714-2015
复制
MLA
复制
APA
复制
导出至
BibTeX EndNote RefMan NoteFirst NoteExpress
×
提示
您的信息不完整,为了账户安全,请先补充。
现在去补充
×
提示
您因"违规操作"
具体请查看互助需知
我知道了
×
提示
确定
请完成安全验证×
copy
已复制链接
快去分享给好友吧!
我知道了
右上角分享
点击右上角分享
0
联系我们:info@booksci.cn Book学术提供免费学术资源搜索服务,方便国内外学者检索中英文文献。致力于提供最便捷和优质的服务体验。 Copyright © 2023 布克学术 All rights reserved.
京ICP备2023020795号-1
ghs 京公网安备 11010802042870号
Book学术文献互助
Book学术文献互助群
群 号:604180095
Book学术官方微信