Diagnostic Odyssey: Primary CNS Lymphoma (Lymphoma Cerebri) Presenting as Rapidly Progressive Dementia.

IF 0.7 Q4 HEMATOLOGY
Case Reports in Hematology Pub Date : 2025-07-09 eCollection Date: 2025-01-01 DOI:10.1155/crh/8819799
Yuanli Lei, Aqsa Asharf, Jessica Amos, Mohamad Khawandanah, Anand Annan, James Battiste, Michel Torbey, Taha Al-Juhaishi, Nidhiben Anadani
{"title":"Diagnostic Odyssey: Primary CNS Lymphoma (Lymphoma Cerebri) Presenting as Rapidly Progressive Dementia.","authors":"Yuanli Lei, Aqsa Asharf, Jessica Amos, Mohamad Khawandanah, Anand Annan, James Battiste, Michel Torbey, Taha Al-Juhaishi, Nidhiben Anadani","doi":"10.1155/crh/8819799","DOIUrl":null,"url":null,"abstract":"<p><p>Primary central nervous system lymphoma (PCNSL) is a rare brain cancer that sometimes presented as rapidly progressive dementia. Diagnosing PCNSL presenting with rapidly progressive neurocognitive symptoms can be challenging, especially when the patient was previously treated with immunosuppressants for suspected autoimmune processes. We present a case where PCNLS was eventually and successfully treated 18 months after neurological symptoms started.</p>","PeriodicalId":46307,"journal":{"name":"Case Reports in Hematology","volume":"2025 ","pages":"8819799"},"PeriodicalIF":0.7000,"publicationDate":"2025-07-09","publicationTypes":"Journal Article","fieldsOfStudy":null,"isOpenAccess":false,"openAccessPdf":"https://www.ncbi.nlm.nih.gov/pmc/articles/PMC12267979/pdf/","citationCount":"0","resultStr":null,"platform":"Semanticscholar","paperid":null,"PeriodicalName":"Case Reports in Hematology","FirstCategoryId":"1085","ListUrlMain":"https://doi.org/10.1155/crh/8819799","RegionNum":0,"RegionCategory":null,"ArticlePicture":[],"TitleCN":null,"AbstractTextCN":null,"PMCID":null,"EPubDate":"2025/1/1 0:00:00","PubModel":"eCollection","JCR":"Q4","JCRName":"HEMATOLOGY","Score":null,"Total":0}
引用次数: 0

Abstract

Primary central nervous system lymphoma (PCNSL) is a rare brain cancer that sometimes presented as rapidly progressive dementia. Diagnosing PCNSL presenting with rapidly progressive neurocognitive symptoms can be challenging, especially when the patient was previously treated with immunosuppressants for suspected autoimmune processes. We present a case where PCNLS was eventually and successfully treated 18 months after neurological symptoms started.

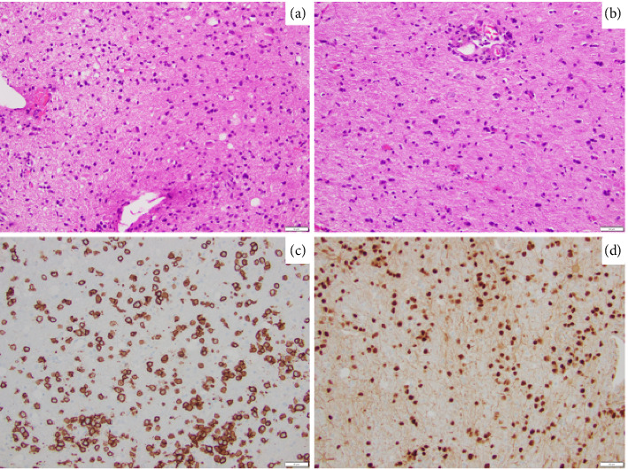
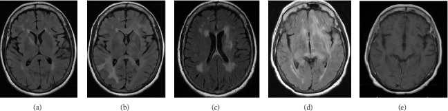
Abstract Image

Abstract Image

诊断过程:原发性中枢神经系统淋巴瘤(脑淋巴瘤)表现为快速进行性痴呆。
原发性中枢神经系统淋巴瘤(PCNSL)是一种罕见的脑癌,有时表现为快速进展性痴呆。诊断出现快速进展的神经认知症状的PCNSL可能具有挑战性,特别是当患者先前因怀疑自身免疫过程而接受免疫抑制剂治疗时。我们提出一个病例,PCNLS最终成功治疗18个月后,神经症状开始。
本文章由计算机程序翻译,如有差异,请以英文原文为准。
求助全文
约1分钟内获得全文 求助全文
来源期刊
自引率
0.00%
发文量
51
审稿时长
13 weeks
×
引用
GB/T 7714-2015
复制
MLA
复制
APA
复制
导出至
BibTeX EndNote RefMan NoteFirst NoteExpress
×
提示
您的信息不完整,为了账户安全,请先补充。
现在去补充
×
提示
您因"违规操作"
具体请查看互助需知
我知道了
×
提示
确定
请完成安全验证×
copy
已复制链接
快去分享给好友吧!
我知道了
右上角分享
点击右上角分享
0
联系我们:info@booksci.cn Book学术提供免费学术资源搜索服务,方便国内外学者检索中英文文献。致力于提供最便捷和优质的服务体验。 Copyright © 2023 布克学术 All rights reserved.
京ICP备2023020795号-1
ghs 京公网安备 11010802042870号
Book学术文献互助
Book学术文献互助群
群 号:604180095
Book学术官方微信