Tract Metastasis of Squamous Cell Carcinoma of the Lung.

IF 0.8 Q4 RESPIRATORY SYSTEM
Respirology Case Reports Pub Date : 2025-07-16 eCollection Date: 2025-07-01 DOI:10.1002/rcr2.70279
Hai Quan Lee, Aaron Tay How Tan, Cheryl Hui Ling Khoong, Glenn Khai Wern Yong
{"title":"Tract Metastasis of Squamous Cell Carcinoma of the Lung.","authors":"Hai Quan Lee, Aaron Tay How Tan, Cheryl Hui Ling Khoong, Glenn Khai Wern Yong","doi":"10.1002/rcr2.70279","DOIUrl":null,"url":null,"abstract":"<p><p>A 78-year-old man with a history of haemothorax developed a chest wall mass at the site of a previous chest drain 2 months ago. Imaging revealed a right lung mass with pleural involvement and a soft tissue tract to the chest wall. Histology confirmed squamous cell carcinoma. This case highlights a rare instance of metastasis via a chest drain tract.</p>","PeriodicalId":45846,"journal":{"name":"Respirology Case Reports","volume":"13 7","pages":"e70279"},"PeriodicalIF":0.8000,"publicationDate":"2025-07-16","publicationTypes":"Journal Article","fieldsOfStudy":null,"isOpenAccess":false,"openAccessPdf":"https://www.ncbi.nlm.nih.gov/pmc/articles/PMC12266984/pdf/","citationCount":"0","resultStr":null,"platform":"Semanticscholar","paperid":null,"PeriodicalName":"Respirology Case Reports","FirstCategoryId":"1085","ListUrlMain":"https://doi.org/10.1002/rcr2.70279","RegionNum":0,"RegionCategory":null,"ArticlePicture":[],"TitleCN":null,"AbstractTextCN":null,"PMCID":null,"EPubDate":"2025/7/1 0:00:00","PubModel":"eCollection","JCR":"Q4","JCRName":"RESPIRATORY SYSTEM","Score":null,"Total":0}
引用次数: 0

Abstract

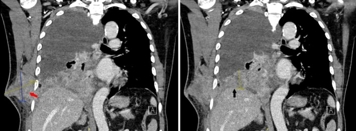
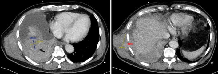
A 78-year-old man with a history of haemothorax developed a chest wall mass at the site of a previous chest drain 2 months ago. Imaging revealed a right lung mass with pleural involvement and a soft tissue tract to the chest wall. Histology confirmed squamous cell carcinoma. This case highlights a rare instance of metastasis via a chest drain tract.

Abstract Image

Abstract Image

Abstract Image

肺鳞状细胞癌的尿道转移。
78岁男性,有血胸病史,2个月前胸引流处出现胸壁肿块。影像显示右肺肿块累及胸膜及胸壁软组织束。组织学证实为鳞状细胞癌。本病例是一个罕见的经胸引流道转移的病例。
本文章由计算机程序翻译,如有差异,请以英文原文为准。
求助全文
约1分钟内获得全文 求助全文
来源期刊
Respirology Case Reports
Respirology Case Reports RESPIRATORY SYSTEM-
CiteScore
1.40
自引率
0.00%
发文量
178
审稿时长
8 weeks
期刊介绍: Respirology Case Reports is an open-access online journal dedicated to the publication of original clinical case reports, case series, clinical images and clinical videos in all fields of respiratory medicine. The Journal encourages the international exchange between clinicians and researchers of experiences in diagnosing and treating uncommon diseases or diseases with unusual presentations. All manuscripts are peer-reviewed through a streamlined process that aims at providing a rapid turnaround time from submission to publication.
×
引用
GB/T 7714-2015
复制
MLA
复制
APA
复制
导出至
BibTeX EndNote RefMan NoteFirst NoteExpress
×
提示
您的信息不完整,为了账户安全,请先补充。
现在去补充
×
提示
您因"违规操作"
具体请查看互助需知
我知道了
×
提示
确定
请完成安全验证×
copy
已复制链接
快去分享给好友吧!
我知道了
右上角分享
点击右上角分享
0
联系我们:info@booksci.cn Book学术提供免费学术资源搜索服务,方便国内外学者检索中英文文献。致力于提供最便捷和优质的服务体验。 Copyright © 2023 布克学术 All rights reserved.
京ICP备2023020795号-1
ghs 京公网安备 11010802042870号
Book学术文献互助
Book学术文献互助群
群 号:604180095
Book学术官方微信